Просмотренные публикации

QR-код этой страницы

Для продолжения изучения на мобильном устройстве ПРОСКАНИРУЙТЕ QR-код с помощью спец. программы или фотокамеры мобильного устройства

Случайный выбор

данная функция, случайным образом выбирает информацию для Вашего изучения,
запустите выбор нажав кнопку ниже

Обратная связь
Напишите нам

Поделитесь своими идеями по улучшению нашей работы.
Прикрепить файл или скриншот удалить
Закрытая часть портала предназначена для только для работников здравоохранения. Оставив свой e-mail и специалищацию, Вы подтверждаете, что являетесь работником здравоохранения и что Вы ознакомились с текстом и поняли его.


Сообщение об ошибке
Что улучшить?

Поделитесь своими идеями по улучшению нашей работы.
Прикрепить файл или скриншот удалить
Закрытая часть портала предназначена для только для работников здравоохранения. Оставив свой e-mail и специалищацию, Вы подтверждаете, что являетесь работником здравоохранения и что Вы ознакомились с текстом и поняли его.



    
Главная.Endo Quiz

Endo Quiz

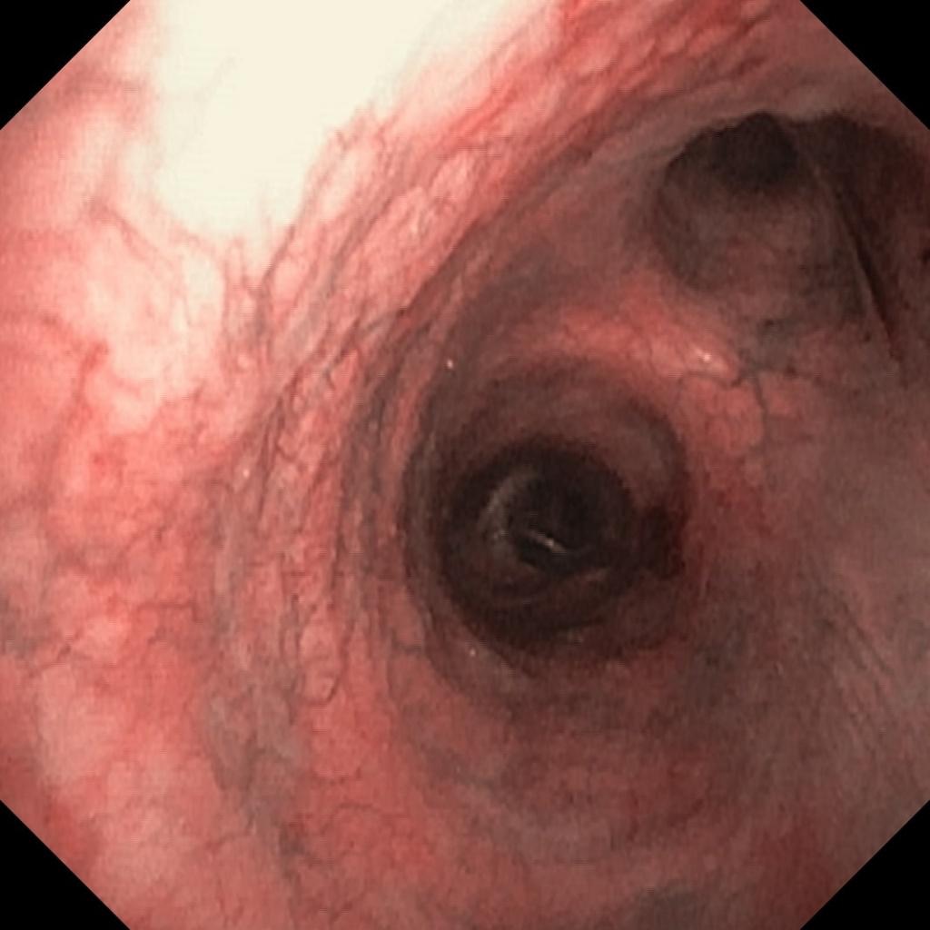
Предлагаем Вам проверить Ваши знания #EndoQuizTime!

Интерактивный Quiz!
У Вас будет самый честный и достоверный экзаменатор - Вы сами!

Как это работает:
  • Мы предлагаем Вам иллюстрацию 
  • Задаем единственный вопрос "Какое Ваше заключение?"
  • Вы мысленно готовите ответ
  • Верный ответ скрыт под стрелочкой
  • Там же указаны ссылки на материалы по теме, приглашаем к изучению!
  • Ниже в случайном порядке предложены еще 6 иллюстраций, кликните и Quiz продолжится.
  • Естли хотите сменить набор предложенных иллюстраций кликните по кнопке "обновить" справа 

Endo Quiz Time
Вопрос: Какое Ваше заключение?
Автор: Редакция ЕЕ
Смотреть правильный ответ
Выберите следующий Quiz:
Endo
Quiz
Time
Endo
Quiz
Time
Endo
Quiz
Time
Endo
Quiz
Time
Endo
Quiz
Time
Endo
Quiz
Time
Endo
Quiz
Time
Endo
Quiz
Time
Endo
Quiz
Time
Endo
Quiz
Time
Endo
Quiz
Time
Endo
Quiz
Time
Endo
Quiz
Time
Endo
Quiz
Time
Endo
Quiz
Time
Endo
Quiz
Time
Endo
Quiz
Time
Endo
Quiz
Time
Endo
Quiz
Time
Endo
Quiz
Time
Endo
Quiz
Time
Endo
Quiz
Time
Endo
Quiz
Time
Endo
Quiz
Time
Добавьте Вашу иллюстрацию в атлас
Перетащите файл сюда
Кликните и загрузите файл
X

Добавьте Ваши интересные иллюстрации для раздела "EndoQuizTime" и "EndoAtlas" на ЭндоЭксперт.ру используя форму выше. 

Присланные Вами иллюстрации после модерации попадают сразу в два раздела, указывается Ваше авторство.

Для Вас мы создали пополняемую коллекцию эндоскопических изображений "EndoAtlas". 
Посмотреть атлас Вы можете перейдя по ссылке https://endoexpert.ru/atlas/


Шкала Blatchford (Glasgow-Blatchford score или GBS)

Шкала Blatchford — Шкала позволяет выявить пациентов с высокими рисками развития рецидива кровотечения и летального исхода при кровотечении из верхних отделов ЖКТ.


MR3. ESGE рекомендует использовать шкалу Глазго-Блатчфорда (GBS) для предэндоскопической стратификации риска. 
Амбулаторные пациенты, относящиеся к группе очень низкого риска по шкале GBS от 0 до 1, не нуждаются в ранней эндоскопии или госпитализации. 
Выписанных пациентов следует проинформировать о риске повторного кровотечения и посоветовать поддерживать контакт с выписывающейся больницей (сильная рекомендация, доказательства среднего качества).
Endoscopy 2015; 47 (10): a1-a46 DOI: 10.1055 / s-0034-1393172

Мочевина крови, ммоль/л

Гемоглобин у мужчин (женщин), г/л

Систолическое артериальное давление (мм рт.ст.)

Другие признаки

 

Баллы: 0

 

Интерпретация:

  • Оценка 0 считается низким риском, тогда как все оценки выше 0 считаются высоким риском кровотечения из верхних отделов желудочно-кишечного тракта.
  • При сумме баллов 6 и более риск необходимости хирургического вмешательства возрастает более чем на 50%.

Отказ от ответственности: этот инструмент НЕ следует рассматривать как замену какой-либо профессиональной медицинской услуги или как замену клинического заключения. Результаты могут быть недостоверными (читайте дисклеймер ниже)

Шкала Blatchford позволяет стратифицировать пациентов с риском кровотечения в верхних отделах желудочно-кишечного тракта на основе следующих критериев:

  • Мочевина в крови (ммоль/л) – чем ниже показатель АМК , тем ниже риск кровотечения и вмешательства в верхних отделах ЖКТ.
  • Гемоглобин (г/дл) – Чем выше значение Hb, тем меньше риск кровотечения.
  • Систолическое артериальное давление (САД), мм рт. ст. – наряду с частотой сердечных сокращений – отслеживает общее состояние сердечно-сосудистой системы: чем выше значения, тем выше риск для пациента.
  •  Обморок – обморок является одним из первых признаков кровоизлияния, преходящей потери сознания, гипотонии.
  • Анамнез заболеваний сердца по данным эхокардиографии и любые признаки сердечной недостаточности в прошлом или настоящем.
  •  Заболевания печени в анамнезе с хроническими или острыми заболеваниями печени или любым видом фиброза , независимо от того, связаны они с циррозом или нет.
  • Манифестация мелены – признак диффузного кровотечения с известной или без известной причины в желудочно-кишечном тракте.

Одним из критических замечаний к модели кровотечения Блатчфорда является то, что ее можно использовать только для пациентов с кровотечением из верхних отделов ЖКТ, а не для нижних отделов ЖКТ, где источник кровотечения может быть неясен.


Отказ от ответственности - Дисклеймер: результаты и выводы калькулятора\шкалы могут быть неточными, необходимо самостоятельно перепроверить вручную! До проверки считать недостоверными, подробнее (раскройте список) кликнув по галочке справа! 


Отказ от ответственности

В отношении использования любых калькуляторов, тестов, викторин, конвертеров или любых инструментов, доступных на веб-сайте EndoExpert.ru, пользователь должен принять следующие заявления об отказе от ответственности:


• Обратите внимание, что результаты, отображаемые этим инструментом\программным обеспечением (далее ПО) не могут быть на 100% точными, правильными и/или полными и что они предназначены исключительно для общих информационных целей, а именно иллюстрируют контент размещенный на страницах портала ЭндоЭксперт.ру т.е. размещены в качестве примера.

• Мы стараемся поддерживать эти инструменты в актуальном состоянии, однако НЕ гарантируется достоверная и точная работа данного ПО. Все полученные результаты и выводы должны быть актуализированы и перепроверены пользователем (врачом специалистом) самостоятельно на основе информации актуальных клинический рекомендаций РФ и приказов РФ, имеющим действующие подтверждающие документы РФ (аккредитация\сертификат) на момент использования ПО портала. До самостоятельной перепроверки пользователем, полученные результаты и выводы считать недостоверными!

• Медицинские калькуляторы и шкалы предназначены только для медицинских работников и размещены в соответствующих разделах, предназначенных для медицинских работников, при входе на эту страницу пользователь подтверждает - Акцептирует - что является медицинским работником, нажатием в специальном баннере соответствующее подтверждение, в противном случае переводится в раздел "для пациентов", не попадая на эту страницу.

• Вам не следует предпринимать какие-либо действия на основе информации, предоставленной в этом приложении\программном обеспечении, поскольку этот инструмент НЕ следует рассматривать в качестве замены какой-либо профессиональной медицинской\психологической услуги или консультации врача-специалиста\лечащего врача, и всякий раз, когда вы считаете это необходимым, вам следует обратиться к лечащему врачу/специалисту за соответствующей и персонализированной информацией по любым вопросам или проблемам со здоровьем, которые могут у вас возникнуть.

• Обратите внимание, что только лицензированный специалист имеет право официально диагностировать и оценивать человека в отношении любых психологических, психических или медицинских аспектов. Администрация портала\создатели ПО портала никоим образом не несут ответственности за любые действия, которые могут быть предприняты пользователями.

• Администрация портала EndoExpert.ru не несет ответственности в отношение вреда, нанесенного непрофессиональным использованием материалов и информации портала. У всех лекарственных препаратов, диагностических и интервенционных методик всегда есть показания и противопоказания, перед применением лекарственных препаратов и медицинских методик необходимо проконсультироваться с сертифицированным специалистом и лечащим Врачом. Все решения по лечению пациента (назначению препаратов, интервенционных методик и др.), оценке состояния здоровья принимает лечащий Врач самостоятельно на основе действующих документов, приказов и клинических рекомендаций РФ.

• Администрация портала не несет ответственности за любые убытки, ущерб и\или вред здоровью, включая, помимо прочего, косвенные или косвенные убытки или ущерб, а также любые убытки или ущерб, возникшие в результате или в связи с использованием веб-сайта и ПО.

Продолжение пользователем использования ПО и\или просмотр материалов Портала является принятием (акцептом) действующих правил пользования информационно-образовательного Портала EndoExpert.ru и принимаете изложенные выше заявления об отказе от ответственности, в противном случае не просматривайте материалы и не используйте ПО Портала EndoExpert.ru.

.





По теме: 

Работаем и учимся при поддержке

Партнеры