Просмотренные публикации

QR-код этой страницы

Для продолжения изучения на мобильном устройстве ПРОСКАНИРУЙТЕ QR-код с помощью спец. программы или фотокамеры мобильного устройства

Случайный выбор

данная функция, случайным образом выбирает информацию для Вашего изучения,
запустите выбор нажав кнопку ниже

Обратная связь
Напишите нам

Поделитесь своими идеями по улучшению нашей работы.
Прикрепить файл или скриншот удалить
Закрытая часть портала предназначена для только для работников здравоохранения. Оставив свой e-mail и специалищацию, Вы подтверждаете, что являетесь работником здравоохранения и что Вы ознакомились с текстом и поняли его.


Сообщение об ошибке
Что улучшить?

Поделитесь своими идеями по улучшению нашей работы.
Прикрепить файл или скриншот удалить
Закрытая часть портала предназначена для только для работников здравоохранения. Оставив свой e-mail и специалищацию, Вы подтверждаете, что являетесь работником здравоохранения и что Вы ознакомились с текстом и поняли его.


Главная Публикации из социальных сетей Геморроидальные вены Лучшие публикации из FB

Публикации из социальных сетей: Геморроидальные вены Лучшие публикации из FB

Авторы: Олег Деречин 2019г.
Иллюстрация №1: #RectalVarix#PortalHypertension#NationalResearchOncologyCenterПациент Ж,55 лет направлен на плановую скриниговую колоноскопию, при осмотре выявляются варикозно расширенные вены прямой кишки.После колоноскопии пациент направлен на консультацию к гепатологу
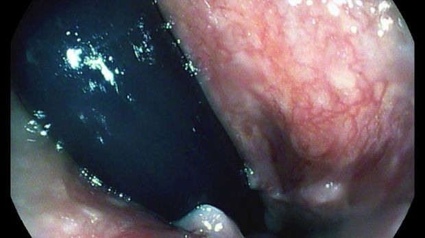
Иллюстрация №2: Застойные внутренние геморроидальные узлы, G-2.
Иллюстрация №3: Увеличенный внутренний узел, G-2 Незначительная гиперплазия анальной папилы - может быть проявлением хронического или имевшего место острого криптопапилита.
Иллюстрация №4: Выраженная застойность внутренних узлов, G-2. Режим i-scan-2.
Иллюстрация №5: G-2, выражены столбцы Морганьи, ангиоэктазы - признак хронических запоров с формированием плотной каловой пробки, трудная дефекация.
Иллюстрация №6: Та же картина, прицельно по ангиоэктазам.
Иллюстрация №7: Внутренний геморрой, G-2. Гиперплазия анальных папил. Гиперпластические диминуативные плоские полипы (на 3ч).
Иллюстрация №8: Та же картина у того же пациента. i-scan-2
Иллюстрация №9: Та же картина у того же пациента.
Иллюстрация №10: Гиперплазия анальных папил. У пациентки анальная трещина. На переднем плане, размыто, минорный плоский гиперпластический полип.
Иллюстрация №11: Увеличенный внутренний узел, G-2.
Иллюстрация №12: .
Иллюстрация №13: Фото пациента с болезнью Крона, над аппаратом на 12ч видна рубцовая деформация, однако проблем в анальном канале нет.
Иллюстрация №14: Гиперплазированная анальная папила, или, как часто пишут - полип анального канала (что в корне не верно), ответом бывает также фиброваскулярный или фибропластический полип. Частая спутница анальной трещины, также признак хронического криптопапилита. Засто
Иллюстрация №15: Та же картина у той же пациентки.
Иллюстрация №16: Слабость анального сфинктера, гиперплазия анальной папиллы, внутренний геморрой G-2.
Иллюстрация №17: Та же картина, i-scan-2
Иллюстрация №18: Комбинированный геморрой, G-3, гипотонус анального сфинктера.
Иллюстрация №19: Та же картина в белом свете.
Иллюстрация №20: Незначительное увеличение внутреннего узла.
Иллюстрация №21: G-2-3.
Иллюстрация №22: Та же картина.
Иллюстрация №23: Все-таки руки чесались прооперировать прямо на месте, не выводя из сна))) Обычно после операции спокойно покидают центр через 3-4ч своим ходом, неделя дома, дальше по самочувствию - кто-то на работу, кто-то потянет еще больничный. Контрольный визит через
Иллюстрация №24: Вот такой вариант отсутствия проблем в анальном канале.
Иллюстрация №25: Внутренний геморрой G-2, образование слизистой подозрительное на AIN (anal intraepitelial neoplasia). Окончательная верификация будет произведена после оперативного лечения геморроя.
Иллюстрация №26: При близком рассмотрении и ацетохромоскопии значимых показательных изменений, характерных для AIN не обнаружено, но... Изучим удаленные ткани после операции.
Иллюстрация №27: Ацетохромоскопия, белый свет.
Иллюстрация №28: Минорный гиперпластический полип нижнеампулярного отдела прямой кишки.
Иллюстрация №29: Та же картина, уксус, i-scan-2.
Иллюстрация №30: .
Иллюстрация №31: .
Иллюстрация №32: G2-3, гипотонус анального сфинктера.
1 / 168
Оцените материал:

Полный текст статьи:

Как Проктолог Эндоскопистам
И как Эндоскопист Проктологам...
Краткие замечания в описаниях к каждому снимку.

  • Застойные внутренние геморроидальные узлы, G-2.
  • Увеличенный внутренний узел, G-2
    Незначительная гиперплазия анальной папилы - может быть проявлением хронического или имевшего место острого криптопапилита.
  • Выраженная застойность внутренних узлов, G-2. Режим i-scan-2.
  • G-2, выражены столбцы Морганьи, ангиоэктазы - признак хронических запоров с формированием плотной каловой пробки, трудная дефекация.
  • Внутренний геморрой, G-2. Гиперплазия анальных папил. Гиперпластические диминуативные плоские полипы (на 3ч).
  • Гиперплазия анальных папил. У пациентки анальная трещина. На переднем плане, размыто, минорный плоский гиперпластический полип.
  • Увеличенный внутренний узел, G-2.
  • Фото пациента с болезнью Крона, над аппаратом на 12ч видна рубцовая деформация, однако проблем в анальном канале нет.
  • Гиперплазированная анальная папила, или, как часто пишут - полип анального канала (что в корне не верно), ответом бывает также фиброваскулярный или фибропластический полип.
    Частая спутница анальной трещины, также признак хронического криптопапилита. Застойный узел на 5ч (по снимку, при проктологическом осмотре - это узел на 7ч).
  • Слабость анального сфинктера, гиперплазия анальной папиллы, внутренний геморрой G-2.
  • Комбинированный геморрой, G-3, гипотонус анального сфинктера.
  • Незначительное увеличение внутреннего узла.
  • G-2-3. Все-таки руки чесались прооперировать прямо на месте, не выводя из сна))) Обычно после операции спокойно покидают центр через 3-4ч своим ходом, неделя дома, дальше по самочувствию - кто-то на работу, кто-то потянет еще больничный. Контрольный визит через 2 недели.
  • Вот такой вариант отсутствия проблем в анальном канале.
  • Внутренний геморрой G-2, образование слизистой подозрительное на AIN (anal intraepitelial neoplasia). Окончательная верификация будет произведена после оперативного лечения геморроя.
  • При близком рассмотрении и ацетохромоскопии значимых показательных изменений, характерных для AIN не обнаружено, но... Изучим удаленные ткани после операции.
  • Ацетохромоскопия, белый свет.
  • Минорный гиперпластический полип нижнеампулярного отдела прямой кишки.
  • G2-3, гипотонус анального сфинктера.

8.1.7. Классификация геморроя по Goligher (МСТ 3.0)
Стадия 1, кровоточащий геморрой  
Стадия 2, геморрой с кровотечением и протрузией, с самопроизвольным вправлением 
Стадия 3, геморрой с кровотечением и протрузией, которая требует мануального вправления 
Стадия 4, геморрой с пролапсом, который не поддается вправлению 

Однако, несмотря на указание в каждой из стадий на наличие кровотечения, надо понимать, что геморроидальная болезнь - болезнь хроническая, и кровотечение - это ее признак, который может отсутствовать на момент исследования, но возникать при определенных обстоятельствах (трудная дефекация, понос и другие производящие факторы). А вот изменения тканей, а именно разрушение связки Паркса, переполнение и гиперплазия сосудистых сплетений и, как проявление этого, увеличенные геморроидальные узлы - это то, что видим всегда.
Трактовка по Goligher при эндоскопическом осмотре затруднена, и в данной публикации я вношу комментарии исходя из опыта и данных осмотра и пальцевого ректального исследования пациента перед введением аппарата. Понятное дело, аноскопия добавила бы еще информации.
Прошу не путать геморроидальную болезнь - прогрессирующие изменения в системе внутреннего геморроидального сплетения, и такое явление, как тромбоз в системе наружного геморроидального сплетения (остро развивающееся состояние) и остаточные перианальные метки после перенесенного тромбоза в системе НГС ("наружные узлы", "анальные бархотки", "анальные бахромки" и пр.) - во многих случаях эти процессы не связаны между собой (первое явление со вторым и третьим).

Кроме всего прочего - на 7-8 см хирургического анального канала и в окружающих тканях встречается не менее 20 болезней, что и послужило выделению отдельного раздела хирургии - проктологии. И только потом, добавили еще 5-6 болезней на остальных полутора метрах толстой кишки, и стали называть это колопроктологией)))

Коллеги, я прошу обратить внимание, что многие снимки выполнены в режиме i-scan-2, что существенно изменяет цветоощущение.

Открыт общий доступ к полному тексту статьи свернуть
24.06.18 © Дмитриенко ..
Оцените материал: Рейтинг: 6

Комментарии

Написать

При эндоскопическом исследовании в случае бронхоэктазов в стадии ремиссии выявляется

частично диффузный бронхит I степени воспаления

Интернет магазин

Работаем и учимся при поддержке

Партнеры