Просмотренные публикации

QR-код этой страницы

Для продолжения изучения на мобильном устройстве ПРОСКАНИРУЙТЕ QR-код с помощью спец. программы или фотокамеры мобильного устройства

Случайный выбор

данная функция, случайным образом выбирает информацию для Вашего изучения,
запустите выбор нажав кнопку ниже

Обратная связь
Напишите нам

Поделитесь своими идеями по улучшению нашей работы.
Прикрепить файл или скриншот удалить
Закрытая часть портала предназначена для только для работников здравоохранения. Оставив свой e-mail и специалищацию, Вы подтверждаете, что являетесь работником здравоохранения и что Вы ознакомились с текстом и поняли его.


Сообщение об ошибке
Что улучшить?

Поделитесь своими идеями по улучшению нашей работы.
Прикрепить файл или скриншот удалить
Закрытая часть портала предназначена для только для работников здравоохранения. Оставив свой e-mail и специалищацию, Вы подтверждаете, что являетесь работником здравоохранения и что Вы ознакомились с текстом и поняли его.


ГлавнаяАтлас

Атлас


Коллеги, представляем Вам новый раздел на портале EndoExpert.ru – «Первый народный онлайн-атлас эндоскопии».

  • Атлас эндоскопических изображений, пополняемый Вами и Вашими коллегами!
  • Все просто: иллюстрация- название - описание - ссылки на материалы по теме
  • Есть возможность детально рассмотреть изображение кликнув по картинке
  • Есть возможность применить фильтрацию по анатомическим областям и\или поиск по нозологии
  • Стать соавтором Атласа легко: авторизоваться и через спец.форму в Атласе добавить иллюстрацию (а теперь и иллюстрации и видео), после модерации изображение будет добавлено.
Делитесь с коллегами Вашим опытом и знаниями, изучайте вместе с нами!

От лица Редакции портала EndoExpert.ru призываем Вас размещайте эндофото и информацию! 
Библиотека изображений пополняется ежедневно общими усилиями.

NEW!!! Теперь есть возможность множественной загрузки иллюстраций и видео (формируется "иллюстрация в атлас" и полноценный "клинический случай")  .

В Атласе на данный момент 311 иллюстрация от 38 авторов.

Эозинофильный эзофагит Варикозные вены пищевода гастропатия инородное тело желудочный баллон зубчатая аденома болезнь крона

                


                
Бронхология и ЛОР
Атрофический бронхит после трансплантации легких. Атлас эндоскопических изображений endoatlas
Атрофический бронхит после трансплантации легких
Трансплантация легких стала признанным методом лечения прогрессирующих заболеваний легких на терминальной стадии, не поддающихся максимальному медикаментозному лечению. Однако хроническая дисфункция аллотрансплантата в виде облитерирующего бронхиолита остается серьезным осложнением в отдаленном послеоперационном периоде, угрожающий как качеству жизни, так и долгосрочному выживанию реципиентов. Он затрагивает до 50–60% пациентов, которые выживают рубеж 5 лет. Макроскопическая картина при бронхоскопии представлена в виде атрофии слизистой бронхиального дерева. Основным методом диагностики является трансбронхиальная криобиопсия легочного трансплантата.

Читайте информацию по теме: https://endoexpert.ru/search/?q=Атрофический бронхит после трансплантации легких
Автор: Беков Максат Турдумаматович
Папилломатоз трахеи. Атлас эндоскопических изображений endoatlas
Папилломатоз трахеи
Жакыпов Т.К., д.м.н., профессор: Анкудинова С.А.

Читайте информацию по теме: https://endoexpert.ru/search/?q=Папилломатоз трахеи
Автор: Жакыпов Талантбек Курманбекович
Аспергиллез  верхнедолевого бронха слева. Атлас эндоскопических изображений endoatlas
Аспергиллез верхнедолевого бронха слева
Национальный Центр Онкологии и Гематологии МЗКР. Левое бронхиальное дерево: начиная от средней трети верхнедолевого бронха до устья сегментарных бронхов верхней зоны по медиальной поверхности визуализируется инородное тело желтого цвета, размером 1.0х3.0 см в d, обтурирующее на 2/3 просвет сегментарных бронхов S1,2,3 далее для аппарата не проходим, устья S4,5 проходима. При инструментальной пальпации ткань мягко-эластичная. Половина инородного тела удалена. Отправлена на гистологию, цитологию. Заключение: вероятнее всего грибковое поражение верхнедолевого бронха слева. Врач- эндоскопист: Жакыпов Талантбек Курманбекович

Читайте информацию по теме: https://endoexpert.ru/search/?q=Аспергиллез верхнедолевого бронха слева
Автор: Жакыпов Талантбек Курманбекович
Трахеопищеводный свищ. Атлас эндоскопических изображений endoatlas
Трахеопищеводный свищ
Министерство здравоохранения Кыргызской Республики Национальный центр Онкологии и Гематологии Голосовая щель смыкается симметрично, свободно проходима. При введении аппарата в трахею с/з по задне-левой стенке обнаружен свищевой ход размером 1.3х1.0 см в d, при входе устье видны просвет пищевода, проксимальный конец СРМС стента. Карина утолщенная из-за отека, долевые бронхи ярко-красная, отечная в просвете в большом количестве слизисто-гнойное отделяемое c резким зловонным запахом, вязкая при санации. На задней стенке с/3 трахеи отмечается свищевое отверстие размером около 1.0х1.1 см, на дне которого визуализируется СРМС. Стент полностью закрывает свищевое отверстие. Заключение: Трахео-пищеводный свищ. Гнойный эндобронхит. Состояние после стентирования пищевода. Эндоскопист: Жакыпов Т.К.

Читайте информацию по теме: https://endoexpert.ru/search/?q=Трахеопищеводный свищ
Автор: Жакыпов Талантбек Курманбекович
Нейроэндокринная опухоль левого главного бронха.. Атлас эндоскопических изображений endoatlas
Нейроэндокринная опухоль левого главного бронха.
Экзофтная опухоль полностью обтурирует просвет левого главного бронха.

Читайте информацию по теме: https://endoexpert.ru/search/?q=Нейроэндокринная опухоль левого главного бронха.
Автор: Унгиадзе Гурам
опухоль левой голосовой связки с изъязвлением . Атлас эндоскопических изображений endoatlas
опухоль левой голосовой связки с изъязвлением
опухоль левой голосовой связки с изъязвлением

Читайте информацию по теме: https://endoexpert.ru/search/?q=опухоль левой голосовой связки с изъязвлением
Автор: Клюева Зоя Яковлевна
Пищевод
Сидероз пищевода. Атлас эндоскопических изображений endoatlas
Сидероз пищевода
В среднегрудном и нижнегрудном отделах пищевода определялась проксимальная граница плоских неправильной формы поверхностных рубцов суммарной протяженностью до 8,0 см. На этом фоне в зонах поверхностных рубцов по задней полуокружности визуализировались участки гиперпигментации в темный цвет - поражении слизистой оболочки пищевода препаратами сульфата железа. Клинический случай (фото и видео) https://endoexpert.ru/siderozcase23

Читайте информацию по теме: https://endoexpert.ru/search/?q=Сидероз пищевода
Автор: С.С.Пирогов О.К.Юцевич
Саморасправляющийся металлический полностью покрытый стент в просвете пищевода. Атлас эндоскопических изображений endoatlas
Саморасправляющийся металлический полностью покрытый стент в просвете пищевода
Стентирование выполнено по поводу c-r пищевода с формированием опухолевого стеноза

Читайте информацию по теме: https://endoexpert.ru/search/?q=Саморасправляющийся металлический полностью покрытый стент в просвете пищевода
Автор: Гагай Сергей Петрович
Варикозное расширение вен пищевода III ст.. Атлас эндоскопических изображений endoatlas
Варикозное расширение вен пищевода III ст.
Пациент с циррозом печени и портальной гипертензией.

Читайте информацию по теме: https://endoexpert.ru/search/?q=Варикозное расширение вен пищевода III ст.
Автор: Беков Максат Турдумаматович
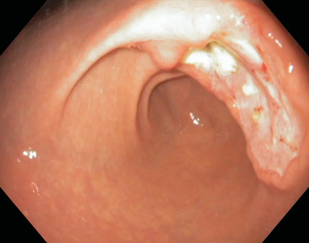
Гетеротопия (эктопия) желудочного эпителия в пищевод. Атлас эндоскопических изображений endoatlas
Гетеротопия (эктопия) желудочного эпителия в пищевод
дистальнее перстневидно-глоточного отдела определяется округлый участок гетеротопии. Реже встречаются участки гетеротопии в нижней трети пищевода.

Читайте информацию по теме: https://endoexpert.ru/search/?q=Гетеротопия (эктопия) желудочного эпителия в пищевод
Автор: Макаров Алексей Владимирович
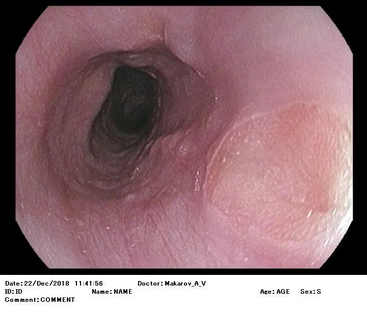
Рубцовая деформация просвета пищевода. Атлас эндоскопических изображений endoatlas
Рубцовая деформация просвета пищевода
Пациентке выполнялась резекция слизистой пищевода в нижней трети. При эндоскопическом исследовании обнаружена рубцовая деформация просвета пищевода, проходимая для среднекалиберного аппарата.

Читайте информацию по теме: https://endoexpert.ru/search/?q=Рубцовая деформация просвета пищевода
Автор: Дробязгин Евгений Александрович
Варикозно-расширенные вены пищевода 2-3 степени.. Атлас эндоскопических изображений endoatlas
Варикозно-расширенные вены пищевода 2-3 степени.
ВРВ пищевода после эпизода кровотечения. Тромбированная вена - тромб белого цвета..

Читайте информацию по теме: https://endoexpert.ru/search/?q=Варикозно-расширенные вены пищевода 2-3 степени.
Автор: Киосов Александр Михайлович
Желудок
Cаркома Капоши.. Атлас эндоскопических изображений endoatlas
Cаркома Капоши.
Cаркома Капоши множественных органов T1N0M1.(her, oss, pulm) IV ст. Диссеменированная форма (с поражением кожи, видимых слизистых, периферических лимфоузлов, ЖКТ, легких). ВИЧ инфекция стадия 4B, фаза прогресии на фоне начала АРТ

Читайте информацию по теме: https://endoexpert.ru/search/?q=Cаркома Капоши.
Автор: Корж Сергей Сергеевич
Аберрантная поджелудочная железа (pancreas accessorium). Атлас эндоскопических изображений endoatlas
Аберрантная поджелудочная железа (pancreas accessorium)
Аномалия развития поджелудочной железы, выводной проток располагается в антральном отделе желудка

Читайте информацию по теме: https://endoexpert.ru/search/?q=Аберрантная поджелудочная железа (pancreas accessorium)
Автор: Гагай Сергей Петрович
MALT-лимфомы  с трансформацией в диффузную крупноклеточную В-клеточную лимфому.  Актиномикоз желудка.. Атлас эндоскопических изображений endoatlas
MALT-лимфомы с трансформацией в диффузную крупноклеточную В-клеточную лимфому. Актиномикоз желудка.
Пациенка 42г.В анамнезе: эрадикация НР 18лет назад.Ухудшение в феврале 2021г.ЭГДС02.02.2021Язва угла желудка(снимок1) Гистологическое и иммуногистохимическое исследование:MALT-лимфома,НР-пол.Проведена эрадикационная терапия.ЭГДС 29.03-ухудшение(снимок2).Патогистологическое заключение: Прогрессирование MALT-лимфомы с трансформацией в диффузную крупноклеточную В-клеточную лимфому. Актиномикоз желудка.

Читайте информацию по теме: https://endoexpert.ru/search/?q=MALT-лимфомы с трансформацией в диффузную крупноклеточную В-клеточную лимфому. Актиномикоз желудка.
Автор:
Двойной привратник Double pylorus. Атлас эндоскопических изображений endoatlas
Двойной привратник Double pylorus
На фоне рубцовой деформации антрального отдела желудка имеется второе отверстие в луковицу ДПК

Читайте информацию по теме: https://endoexpert.ru/search/?q=Двойной привратник Double pylorus
Автор: Калиханова Евгения Алексеевна
Аденокарцинома (G2) в/3 тела желудка тип-1. Атлас эндоскопических изображений endoatlas
Аденокарцинома (G2) в/3 тела желудка тип-1
Пациент-1936г.р. госпитализирован с ЖКК. Писанка Владимир Валерьевич

Читайте информацию по теме: https://endoexpert.ru/search/?q=Аденокарцинома (G2) в/3 тела желудка тип-1
Автор: Писанка Владимир Валерьевич
Forrest 1А. Атлас эндоскопических изображений endoatlas
Forrest 1А
Продолжающееся кровотечение из язвы верхней 1/3 тела желудка.

Читайте информацию по теме: https://endoexpert.ru/search/?q=Forrest 1А
Автор: Говоровский Дмитрий Викторович
Тонкая кишка
Метастаз пигментной меланомы ДПК. Атлас эндоскопических изображений endoatlas
Метастаз пигментной меланомы ДПК
Двенадцатиперстная кишка Клинический случай https://endoexpert.ru/mtsmelanoma0124

Читайте информацию по теме: https://endoexpert.ru/search/?q=Метастаз пигментной меланомы ДПК
Автор: Грошев Никита Андреевич
Метастаз пигментной меланомы двенадцатиперстной кишки. Атлас эндоскопических изображений endoatlas
Метастаз пигментной меланомы двенадцатиперстной кишки
Двенадцатиперстная кишка Клинический случай https://endoexpert.ru/mtsmelanoma0124

Читайте информацию по теме: https://endoexpert.ru/search/?q=Метастаз пигментной меланомы двенадцатиперстной кишки
Автор: Грошев Никита Андреевич
Нейроэндокринная опухоль двенадцатиперстной кишки, grade 2. Атлас эндоскопических изображений endoatlas
Нейроэндокринная опухоль двенадцатиперстной кишки, grade 2
Нейроэндокринные опухоли — это новообразования, которые происходят из нейроэндокринных клеток эмбриональной кишки. Они обладают способностями и функциями своих предшественников, вследствие чего развивается синдром повышенной продукции регуляторных пептидов. Это вызывает появление характерной клинической картины. НЭО образуются во внутренних органах, в структуре которых есть нейроэндокринные клетки. Подробнее клинический случай: https://endoexpert.ru/caseNET2023

Читайте информацию по теме: https://endoexpert.ru/search/?q=Нейроэндокринная опухоль двенадцатиперстной кишки, grade 2
Автор: Праведников Павел Алексеевич
Меланома. Метастаз в ДПК.. Атлас эндоскопических изображений endoatlas
Меланома. Метастаз в ДПК.
Метастаз беспигментной меланомы кожи в ДПК.

Читайте информацию по теме: https://endoexpert.ru/search/?q=Меланома. Метастаз в ДПК.
Автор: Корж Сергей Сергеевич
Лимфангиоэктазии D2 (нисходящий отдел 12ПК).. Атлас эндоскопических изображений endoatlas
Лимфангиоэктазии D2 (нисходящий отдел 12ПК).
Тот самый "налёт манной крупы"

Читайте информацию по теме: https://endoexpert.ru/search/?q=Лимфангиоэктазии D2 (нисходящий отдел 12ПК).
Автор: Морозов Александр Сергеевич
Кавернозная гемангиома тощей кишки. Атлас эндоскопических изображений endoatlas
Кавернозная гемангиома тощей кишки
Гемангиома желудочно-кишечного тракта (ЖКТ) - доброкачественное сосудистое образование, локализующееся в различных отделах кишечной трубки. Клиническая значимость гемангиом ЖКТ, как правило, связана с развитием осложнений в виде желудочно-кишечного кровотечения, инвагинации, непроходимости кишечника или перфорации кишки. Статья+видео: https://endoexpert.ru/jejunumHemangioma11

Читайте информацию по теме: https://endoexpert.ru/search/?q=Кавернозная гемангиома тощей кишки
Автор: Харитонова Анастасия Юрьевна
Панкреато-билиарная система
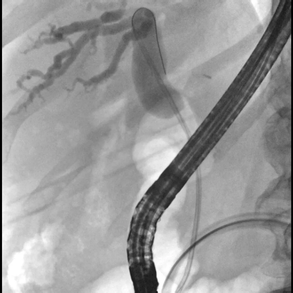
ЭРХПГ. Печеночная двуустка (fasciola hepatica). Атлас эндоскопических изображений endoatlas
ЭРХПГ. Печеночная двуустка (fasciola hepatica)
После папилотомии вышел из БДС плоский червь Клинический случай+видео: https://endoexpert.ru/klinicheskie-sluchai/erkhpg-pechenochnaya-dvuustka-fasciola-hepatica/

Читайте информацию по теме: https://endoexpert.ru/search/?q=ЭРХПГ. Печеночная двуустка (fasciola hepatica)
Автор: Джанет Квок
Муцинозная внутрипротоковая цистаденокарцинома поджелудочной железы. Атлас эндоскопических изображений endoatlas
Муцинозная внутрипротоковая цистаденокарцинома поджелудочной железы
Автор: Алиев Абдула Магомедханович
Околососочковый дивертикул двенадцатиперстной кишки. Атлас эндоскопических изображений endoatlas
Околососочковый дивертикул двенадцатиперстной кишки
Краткое описание. В постбульбарном отделе двенадцатиперстной кишки имеется дивертикул, с перистальтирующим входом, около 2 см, на губе которого расположен большой сосочек двенадцатиперстной кишки без признаков патологических изменений.

Читайте информацию по теме: https://endoexpert.ru/search/?q=Околососочковый дивертикул двенадцатиперстной кишки
Автор: Новиков Валерий Николаевич
Лимфоидный полип большого сосочка двенадцатиперстной кишки. Атлас эндоскопических изображений endoatlas
Лимфоидный полип большого сосочка двенадцатиперстной кишки
Патолого — гистологическое исследование № ***32 Дата 20.05.2022 Макроскопическое описание. 4 кусочка, серо — розовые, каждый размером 0,2 см. Микроскопическое описание. В присланном материале — полиповидные кусочки слизистой оболочки БСДК, покрытые железистым эпителием с обилием бокаловидных клеток. В каждом из них на фоне лимфоплазмоцитарной инфильтрации с примесью единичных лейкоцитов отмечается очаговая гиперплазия лимфоидной ткани с формированием крупных лимфоидных фолликулов со светлыми центрами, а также неравномерное распределение в строме собственной пластинки трубчатых желез тонкокишечного типа, эпителий которых типичного вида, без признаков дисплазии, количество желез не увеличено. Заключение. Морфологическая картина имеет больше данных за лимфоидный полип БСДК.

Читайте информацию по теме: https://endoexpert.ru/search/?q=Лимфоидный полип большого сосочка двенадцатиперстной кишки
Автор: Новиков Валерий Николаевич
Холангиокарцинома, Бисмут I. Атлас эндоскопических изображений endoatlas
Холангиокарцинома, Бисмут I
Cтентирование пластиковым стентом

Читайте информацию по теме: https://endoexpert.ru/search/?q=Холангиокарцинома, Бисмут I
Автор: Смирнов Иван Владимирович
Супрапапиллярный свищ. Атлас эндоскопических изображений endoatlas
Супрапапиллярный свищ
Состояние после вклинения камня и образования супрапапиллярного свища

Читайте информацию по теме: https://endoexpert.ru/search/?q=Супрапапиллярный свищ
Автор: Смирнов Иван Владимирович
Толстая кишка
Эпителиальное образование сигмовидной кишки, 0-Is. Атлас эндоскопических изображений endoatlas
Эпителиальное образование сигмовидной кишки, 0-Is
Стойка: OLYMPUS EVIS EXERA III, Эндоскоп - CF 190L. Режимы: NBI+NEAR FOCUS.

Читайте информацию по теме: https://endoexpert.ru/search/?q=Эпителиальное образование сигмовидной кишки, 0-Is
Автор: Беков Максат Турдумаматович
Эпителиальное образование сигмовидной кишки, 0-Ip. Атлас эндоскопических изображений endoatlas
Эпителиальное образование сигмовидной кишки, 0-Ip
Стойка - Fujinon ELUXEO 7000, Колоноскоп - Fujifilm EC-580RD L.

Читайте информацию по теме: https://endoexpert.ru/search/?q=Эпителиальное образование сигмовидной кишки, 0-Ip
Автор: Беков Максат Турдумаматович
Неэпителиальное образование прямой кишки. Атлас эндоскопических изображений endoatlas
Неэпителиальное образование прямой кишки
Нейроэндокринная опухоль G1

Читайте информацию по теме: https://endoexpert.ru/search/?q=Неэпителиальное образование прямой кишки
Автор: Яковлева Татьяна Сергеевна
Стенозирующая аденокарцинома сигмовидной кишки. Атлас эндоскопических изображений endoatlas
Стенозирующая аденокарцинома сигмовидной кишки
Краткое описание. В области ректо - сигмоидного отдела имеется циркулярное сужение за счет плотной бугристой ткани, просвет сужен более чем на 2/3, протяженность около 6 см. Рельеф поверхности неоднородный, местами не дифференцируется. Патолого - гистологическое исследование № ***52. 25.05.2022 г. В присланном материале обнаружены кусочки толстой кишки, часть из которых сохранного строения, представленные анаплазированными тубулярными, криброзными и солитарными структурами. Клетки эпителия толстокишечного типа с выраженным клеточно - ядерным полиморфизмом, высоким ядерно - плазматическим соотношением, умеренно выраженной митотической активностью. Строма скудная, с диффузной полипорфноклеточной инфильтрацией. Закл.: Низкодифференцированная G3 аденокарцинома толстой кишки.

Читайте информацию по теме: https://endoexpert.ru/search/?q=Стенозирующая аденокарцинома сигмовидной кишки
Автор: Новиков Валерий Николаевич
Болезнь Крона. . Атлас эндоскопических изображений endoatlas
Болезнь Крона.
Глубокие язвы в терминальном отделе подвздошной кишки у ребенка 17 лет

Читайте информацию по теме: https://endoexpert.ru/search/?q=Болезнь Крона.
Автор: Романчук Наталья Анатольевна
Пневматоз Толстой кишки. Атлас эндоскопических изображений endoatlas
Пневматоз Толстой кишки
На фото ректосигмоидный изгиб

Читайте информацию по теме: https://endoexpert.ru/search/?q=Пневматоз Толстой кишки
Автор: Лопатина Анастасия Викторовна

Постарайтесь загружать файлы с иллюстрациями в формате .jpeg без пробелов в названии загружаемого файла (пробелы в названии иллюстрации по нозологии и в комментарии разрешены). Без авторизации не работает загрузка. После удачной загрузки должно быть сообщение "Ваша иллюстрация успешно добавлена и отправлена на модерацию"



Подпишитесь на телеграмм-канал от EndoExpert.ru. 
Вы будете в курсе актуальной и интересной информации появляющейся на Портале ЭндоЭксперт.ру.
.


Работаем и учимся при поддержке

Партнеры