Полный текст статьи:
Герминогенные опухоли встречаются либо в яичках, либо в яичниках (90–95%). В патогенезе отмечается неопластическая трансформация или в зрелых клеточных линиях, или в эмбриональных. В первом случае проявлением может быть кистозная тератома яичников. Герминогенные опухоли эмбрионального происхождения свойственны пациентам молодого возраста, агрессивны, часто сопровождаются метастазами.
При экстрагонадной локализации опухолей (в 1–5% случаев) первичная опухоль в гонадах отсутствует. В зрелом возрасте эти опухоли часто локализуются в переднем средостении, забрюшинном пространстве, эпифизе и гипофизе. У младенцев и детей младшего возраста чаще встречается крестцово-копчиковая и внутричерепная локализация опухолей [4]. Экстрагонадные формы у пациентов молодого возраста имеют различные локализации и различные гистологические подтипы. При этом экстрагонадные формы более агрессивны и хуже поддаются лечению. Этиология заболевания при экстрагонадной форме не ясна.
Авторами представлен случай[1] диагностики и лечения 24-летнего пациента с экстрагонадной формой герминогенной опухоли.
Ранее него была диагностирована болезнь Крона: в ходе колоноскопии обнаружены макроскопические признаки активного воспаления в толстой кишке, что было подтверждено данными патоморфологического исследования. В анамнезе — длительно существующие боли в животе, снижение веса и хроническая диарея. На фоне проводимого лечения состояние пациента улучшилось, что могло указывать на выздоровление. Во время последней скрининговой колоноскопии у него было обнаружено полиповидное распластанное рыхлое изъязвленное поражение в слепой кишке диаметром 25 мм (рис. 1).

Рисунок 1 [1].
Была выполнена биопсия опухоли для патоморфологического анализа. Других изменений обнаружено не было.
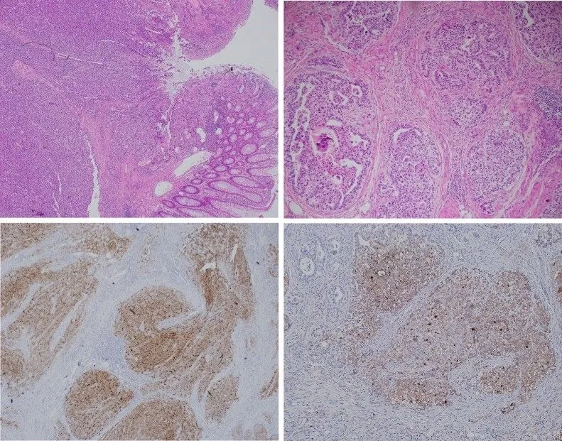
По данным патоморфологического исследования выявлены фрагменты изъязвленной опухоли, включающие скопления и плохо сформированные канальцы среди десмопластической стромы. В небольших кровеносных сосудах найдены внутрисосудистые опухолевые эмболы. Также были обнаружены фрагменты слизистой оболочки толстой кишки с акцентуацией ворсинок, гипермуцинозом и пятнистыми инфильтратами нейтрофилов, что могло соответствовать аденокарциноме. Однако последующее окрашивание было диффузно-положительным для глипикана-3 и альфа-фетопротеина (АФП). На основании вышеизложенного было сделано заключение о том, что данная опухоль является злокачественной (инвазивная аденокарцинома или герминогенная опухоль).
При дообследовании у пациента обнаружена высокая концентрация альфа-фетопротеина в сыворотке крови — 2145 МЕ/мл. Другие опухолевые маркеры, включая карциноэмбриональный антиген и хорионический гонадотропин человека, были отрицательными. С учетом нетипичной локализации опухоли проведено обследование с целью поиска других поражений. Изменений яичек, эпифиза обнаружено не было. При ПЭТ КТ отмечено повышенное поглощение фтордезоксиглюкозы в слепой кишке и поблизости от брыжейки и, возможно, двух небольших лимфатических узлов перед слепой кишкой (рис. 2).

Рисунок 2 [2].
После обсуждения на междисциплинарном консилиуме было сделано заключение о том, что это экстрагонадная герминогенная опухоль. Пациенту выполнена лапароскопическая правосторонняя гемиколэктомия с формированием илеоколоанастомоза.
При патоморфологическом исследовании удаленного фрагмента толстой кишки выявлена опухоль диаметром 28 мм, прорастающая сквозь слизистую оболочку, подслизистую и внутренний слой собственной мышечной пластинки слепой кишки. Опухолевые клетки были высокодифференцированными и крупными с атипичными гиперхромными ядрами и прозрачными для эозинофильной цитоплазмы. Иммуногистохимия была положительна для глипикана-3 и АФП (рис. 3), подтверждая тем самым герминогенную опухоль.

Рисунок 3 [1].
Комментарии