Полный текст статьи:
Воспалительная миофибробластическая опухоль (IMT, inflammatory myofibroblastic tumor) — редкое пролиферативное заболевание неясной этиологии, характеризующееся пролиферацией веретенообразных или эпителиоидных миофибробластов, смешанных преимущественно с мононуклеарными воспалительными клетками. IMT обычно считается доброкачественным поражением, хотя в некоторых случаях агрессивно ведет себя с точки зрения местного рецидива и метастазирования.
Исследователями из Италии[1] описан случай лечения пациентки с IMT поперечной ободочной кишки и синхронной гастроинтестинальной стромальной опухолью (GIST) желудка.
59-летняя женщина с десятилетним язвенным колитом и эпизодом цитомегаловирусной инфекции в анамнезе, а также сопутствующими патологиями (артериальная гипертензия, мерцательная аритмия) была госпитализирована в клинику с симптомами острого рецидива язвенного колита — болью в животе, диареей, гематохезией и ректальными тенезмами. Выявлены микроцитарная гипохромная анемия и нейтрофильный лейкоцитоз.
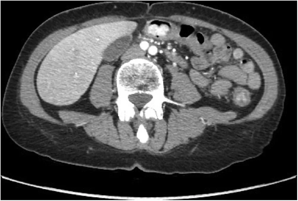
При эндоскопическом исследовании толстая кишка имела вид трубы с диффузной гиперемией, эрозиями слизистой и двухсантиметровым полипоидным поражением с нерегулярной формой на уровне поперечной ободочной кишки. Гистопатологическое исследование биоптатов выявило мезенхимальное новообразование с неопределенными признаками злокачественности. В ходе рентгенокомпьютерной томографии органов брюшной полости с болюсным усилением обнаружено неоднородное гиподенсированное образование 2,5 × 1,6 см в диаметре с интенсивным усилением в артериальной фазе, локализованное в поперечной ободочной кишке (рис. 1).

Рисунок 1 [1].
Из-за тяжести воспалительных заболеваний кишечника, устойчивых к иммуносупрессивному и стероидному медикаментозному лечению, пациентка оперирована. Было решено выполнить тотальную колэктомию с терминальной илеостомией. При ревизии органов брюшной полости выявлено новообразование на передней стенке желудка, оно было удалено. Послеоперационных осложнений не отмечалось. Пациентка выписана через 7 дней после операции. Через некоторое время выполнена проктэктомия и формирование J-резервуара. Илеостома ликвидирована через месяц после последней операции.
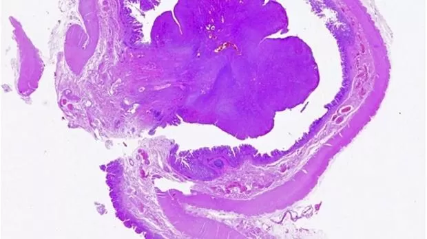
При патоморфологическом исследовании обнаружено язвенное полипоидное поражение 2 × 2,8 см в диаметре в окружении слизистой оболочки с бархатистостью (рис. 2).

Рисунок 2 [1].
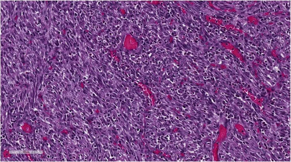
Микроскопическое исследование новообразования показало мезенхимальную пролиферацию, состоящую из веретенообразных клеток — мономорфных и без значительной атипии, организованных в пучки, ассоциированных с диффузной лимфоцитарной инфильтрацией, плазматическими клетками и эозинофилами, распространяющимися на слизистую оболочку и инфильтрирующими подслизистую оболочку (рис. 3, 4).

Рисунок 3 [1].

Рисунок 4 [1].
При иммуногистохимическом исследовании: положительно для SMA, отрицательно для цитокератина, десмин, S-100, Мелан-А, CD34, CD117, DOG-1, CD21, CD23, CD1a и ALK. На основании этих результатов диагноз IMT был подтвержден.
Патоморфология удаленного новообразования желудка показала GIST. При КТ-исследовании через 6 месяцев после операции признаков рецидива заболевания не выявлено.
Комментарии