Просмотренные публикации

QR-код этой страницы

Для продолжения изучения на мобильном устройстве ПРОСКАНИРУЙТЕ QR-код с помощью спец. программы или фотокамеры мобильного устройства

Случайный выбор

данная функция, случайным образом выбирает информацию для Вашего изучения,
запустите выбор нажав кнопку ниже

Обратная связь
Напишите нам

Поделитесь своими идеями по улучшению нашей работы.
Прикрепить файл или скриншот удалить
Закрытая часть портала предназначена для только для работников здравоохранения. Оставив свой e-mail и специалищацию, Вы подтверждаете, что являетесь работником здравоохранения и что Вы ознакомились с текстом и поняли его.


Сообщение об ошибке
Что улучшить?

Поделитесь своими идеями по улучшению нашей работы.
Прикрепить файл или скриншот удалить
Закрытая часть портала предназначена для только для работников здравоохранения. Оставив свой e-mail и специалищацию, Вы подтверждаете, что являетесь работником здравоохранения и что Вы ознакомились с текстом и поняли его.


Главная Статьи Шкала эндоскопической активности послеоперационного рецидива болезни Крона по Rutgeerts

Статьи: Шкала эндоскопической активности послеоперационного рецидива болезни Крона по Rutgeerts

Анонс:

Спустя 6-12 месяцев всем оперированным пациентам с болезнью Крона показано проведение контрольного обследования, в первую очередь, эндоскопического. Область послеоперационного анастомоза должна быть тщательно осмотрена и оценена в соответствии со шкалой эндоскопической активности послеоперационного рецидива болезни Крона по Rutgeerts (при резекции терминального отдела подвздошной кишки или илеоцекальной резекции).

1 / 168
Оцените материал:

Полный текст статьи:

Шкала эндоскопической оценки активности послеоперационного рецидива Болезни Крона БК (Rutgeerts)

Оценка

Определение

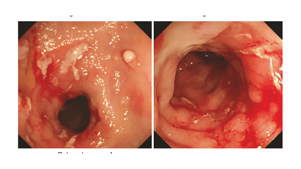
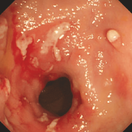
i0

Нет признаков воспаления

i1

≤5 афтозных язв

i2

>5 афтозных язв с нормальной слизистой оболочкой между ними ИЛИ протяженные участки здоровой слизистой оболочки между более выраженными изъязвлениями ИЛИ поражения, ограниченные подвздошно-толстокишечным анастомозом

i3

Диффузный афтозный илеит с диффузно-воспаленной слизистой оболочкой

i4

Диффузное воспаление с крупными язвами, «булыжной мостовой» И/ИЛИ сужением просвета



bolezn_krona.png
Rutgeerts i0
bolezn_krona.png
Rutgeerts i1
bolezn_krona.png
Rutgeerts i2 
bolezn_krona.png
Rutgeerts i3


bolezn_krona.png
Rutgeerts i4

Даже при полном удалении всех макроскопически измененных отделов кишечника, хирургическое вмешательство не приводит к полному исцелению: в течение 5 лет клинически значимый рецидив отмечается у 28-45% пациентов, а в течение 10 лет – у 36-61%, что диктует необходимость продолжения противорецидивной терапии после операции по поводу БК [83,84].

К факторам, достоверно повышающим риск послеоперационного рецидива, относятся:

  • · курение,
  • · две и более резекции кишки в анамнезе,
  • · протяженные резекции тонкой кишки в анамнезе (>50 см),
  • · перианальные поражения,
  • · пенетрирующий фенотип [85].

В зависимости от сочетания факторов риска, а также от эффективности, ранее проводившейся противорецидивной терапии, пациенты после операции должны быть стратифицированы на группы с различным риском послеоперационного рецидива.

  • · В группе низкого риска рецидива БК целесообразно назначение месалазина (4 г) или сульфасалазина (4 г).
  • · Пациенты из группы промежуточного риска являются кандидатами на проведение терапии азатиоприном (2,0-2,5 мг/кг/сут) или 6-меркаптопурином (1,5 мг/кг/сут.) [86].
  • · Пациентам с высоким риском рецидива целесообразно еще до проведения контрольного эндоскопического исследования начать курс биологической терапии (инфликсимаб, адалимумаб, цертолизумаба пэгол, ведолизумаб) [87].

Противорецидивную терапию рекомендуется начинать через 2 недели после оперативного вмешательства.

Спустя 6-12 месяцев всем оперированным пациентам с БК показано проведение контрольного обследования, в первую очередь, эндоскопического. При невозможности визуализировать зону анастомоза следует констатировать наличие или отсутствие рецидива, основываясь на сочетании данных рентгенологического обследования (как правило, КТ) и неинвазивных маркеров воспаления – С-реактивного белка, фекального кальпротектина и др.

  • · При отсутствии признаков воспаления или обнаружении минимальных (i1 по шкале Rutgeerts) воспалительных изменений проводимая терапия должна быть продолжена.
  • · Наличие более выраженных воспалительных изменений (i2-i4) указывает на неэффективность проводимой терапии и должно служить показанием к усилению терапии: подключению иммуносупрессоров у пациентов, ранее их не получавших или к проведению биологической терапии (адалимумабом [89], инфликсимабом [90], цертолизумаба пэголом, ведолизумабом) у пациентов, находящихся на поддерживающей терапии азатиоприном/6-меркаптопурином.

В дальнейшем, вне зависимости от характера течения заболевания и клинической манифестации БК, следует не реже 1 раза в 1-3 года выполнять контрольное эндоскопическое исследование, следуя этому же алгоритму выбора противорецидивного средства [91].

MSbf-NOE1VM-min.jpgВам может быть интересно:







Открыт общий доступ к полному тексту статьи свернуть

Список литературы:

83. Rutgeerts P., Geboes K., Vantrappen G., Beyls J., Kerremans R., Hiele M. Predictability of the postoperative course of Crohn’s disease. Gastroenterology. – 1990; 99: 956-63. 84. Loftus Jr.E.V. Clinical epidemiology of inflammatory bowel disease: Incidence, prevalence, and environmental influences. Gastroenterology. – 2004; 126 (6): 1504-17. 85. Головенко А.О., Халиф И.Л., Головенко О.В. Профилактика послеоперационных рецидивов болезни Крона. Колопроктология. – 2012. – №4. – с. 40-48. 86. Peyrin-Biroulet L. et al. Azathioprine and 6-mercaptopurine for the prevention of postoperative recurrence in Crohn’s disease: a meta-analysis. Am. J. Gastroenterol. – 2009. 104 (8): p. 2089-96. 87. Regueiro M., Schraut W., Baidoo L., Kip K.E., Sepulveda A.R., Pesci M. et al. Infliximab prevents Crohn’s disease recurrence after ileal resection. Gastroenterology. – 2009; 136: 441-50. 88. Terdiman J.P. Prevention of postoperative recurrence in Crohn’s disease. Clin. Gastroenterol. Hepatol. – 2008. 6 (6): p. 616-20. 89. Papamichael K. et al., Adalimumab for the prevention and/or treatment of post-operative recurrence of Crohn’s disease: a prospective, two-year, single center, pilot study. J. Crohns Colitis. – 2012. 6 (9): p. 924-31. 90. Regueiro M. et al. Infliximab prevents Crohn’s disease recurrence after ileal resection. Gastroenterology. – 2009. 136 (2): p. 441-50 e1; quiz 716. 91. Loly C., Belaiche J., Louis E. Predictors of severe Crohn’s disease. Scand. J. Gastroenterol. – 2008; 43: 948-54.
29.04.20 ©
Оцените материал: Рейтинг: 7.5

Комментарии

Написать

При эндоскопическом исследовании в случае бронхоэктазов в стадии ремиссии выявляется

частично диффузный бронхит I степени воспаления

Работаем и учимся при поддержке

Партнеры