Просмотренные публикации

QR-код этой страницы

Для продолжения изучения на мобильном устройстве ПРОСКАНИРУЙТЕ QR-код с помощью спец. программы или фотокамеры мобильного устройства

Случайный выбор

данная функция, случайным образом выбирает информацию для Вашего изучения,
запустите выбор нажав кнопку ниже

Обратная связь
Напишите нам

Поделитесь своими идеями по улучшению нашей работы.
Прикрепить файл или скриншот удалить
Закрытая часть портала предназначена для только для работников здравоохранения. Оставив свой e-mail и специалищацию, Вы подтверждаете, что являетесь работником здравоохранения и что Вы ознакомились с текстом и поняли его.


Сообщение об ошибке
Что улучшить?

Поделитесь своими идеями по улучшению нашей работы.
Прикрепить файл или скриншот удалить
Закрытая часть портала предназначена для только для работников здравоохранения. Оставив свой e-mail и специалищацию, Вы подтверждаете, что являетесь работником здравоохранения и что Вы ознакомились с текстом и поняли его.


Главная Статьи КОМБИНИРОВАННОЕ СТЕНТИРОВАНИЕ ТРАХЕИ И ПИЩЕВОДА

Статьи: КОМБИНИРОВАННОЕ СТЕНТИРОВАНИЕ ТРАХЕИ И ПИЩЕВОДА

Авторы: Дробязгин Е.А., Судовых И.Е., Чикинев Ю.В. 1 2019г.
Об авторах: 1. ГБУЗ НСО «Государственная Новосибирская областная клиническая больница», Новосибирск, Россия

Аннотация:

Цель исследования — оценка результатов комбинированного стентирования пищевода и трахеи. 


Материал и методы. За период с 2004 по 2017 г. 8 пациентам выполнено комбинированное стентирование трахеи и пищевода. 

Результаты. Во всех случаях проходимость трахеи и пищевода восстановлена. Осложнений не было. Заключение. Эндоскопические вмешательства у этой категории пациентов обладают высокой эффективностью.

1 / 168
Оцените материал:

Полный текст статьи:


Комбинированное стентирование трахеи и пищевода

д.м.н., проф. Е.А. Дробязгин1,2,3, к.м.н. И.Е. Судовых2, д.м.н., проф. Ю.В. Чикинев1,2

1 ФГБОУ ВО «Новосибирский государственный медицинский университет» Минздрава России, Новосибирск, Россия

2 ГБУЗ НСО «Государственная Новосибирская областная клиническая больница», Новосибирск, Россия

3 ФГБУ «Национальный медицинский исследовательский центр им. академика Е.Н. Мешалкина» Минздрава России

Введение. Причиной дисфагии у онкологических пациентов может быть опухоль пищевода, кардиального отдела желудка, опухоль средостения или его метастатическое поражение, что может потребовать стентирования пищевода [1-3]. В случаях прорастания опухоли в трахею и бронхи, развивается дыхательная недостаточность, возникают пищеводно-респираторные соустья, которые так же может быть разрешены путем стентирования трахеи или бронхов. Возникновение дыхательной недостаточности возможно вместе с дисфагией, раньше и позже ее [4-7]. Возникновение дыхательной недостаточности возможно вместе с дисфагией, раньше и позже ее. Для подобных ситуаций в современной литературе встречается понятие двойного, комбинированного или параллельного стентирования [2-4, 7-9]. Эти вмешательства являются сложными, но достаточно эффективными, позволяя обеспечить проходимость пищевода и дыхательных путей, улучшить уровень качества жизни пациентов, обеспечивая проведения лечения [2,5,8,10].

Материалы и методы. В клинике кафедры госпитальной и детской хирургии лечебного факультета НГМУ, в отделении торакальной хирургии ГБУЗ НСО «Государственная Новосибирская областная клиническая больница» находилось на лечении 202 пациентов, которым в период с января 2004 по май 2017 года было выполнено стентирование пищевода (149 мужчин и 53 женщин) в возрасте от 36 до 92 лет.

Показаниями к имплантации стента были: рак пищевода у 101 пациента, рак кардиального отдела желудка с переходом на пищевод у 57, сдавление пищевода извне у 15 (метастазы рака молочной железы у 2, рака матки у 1, рак легкого у 10, опухоль средостения у 2), рецидивы рака в области пищеводного анастомоза у 26 (после гастрэктомии у 14, после операции Льюиса у 7, после экстирпации пищевода и пластики толстой кишкой у 1, рецидив рака после его экстирпации и пластики желудочным стеблем у 4), рак желудка у 2, рак культи желудка у 1.

В 8 случаях пациентам выполнено стентирование пищевода и трахеи. Среди пациентов 7 мужчин и 1 женщина в возрасте от 49 до 82 лет. Данные по пациентам, представлены в таблице 1.

Таблица 1. Данные по пациентам, которым проведено комбинированное стентирование

У большинства пациентов (6) был плоскоклеточный рак средней пищевода. У 1 пациента причиной дисфагии и дыхательной недостаточность было сдавление пищевода и трахеи метастатическими лимфатическими узлами после ранее выполненной операции Льюиса. В другом случае дисфагия и дыхательная недостаточность возникли на фоне центрального рака правого легкого с прорастанием в средостение, сдавлением трахеи и пищевода. У последних двух пациентов при поступлении была дыхательная недостаточность и дисфагия. Стентирование пищевода металлическим саморасправляющимся стентом ранее было выполнено 6 пациентам. Применялись саморасправляющиеся металлические стенты диаметром 22 мм (у 5 пациентов) и 18 мм (1 пациент). Длина стента была как минимум на 4 см больше протяженности опухолевого поражения (от 10 до 14 см). Второе вмешательство проведено в сроки от 2 дней до 7 месяцев после первого.

Результаты и обсуждение. Для уточнения характера изменений в трахео-бронхиальном дереве выполнялась фибротрахеобронхоскопия и томография трахеи.

Всем пациентам проведены эндоскопические интервенционные вмешательства, целью которых являлось восстановление питания и дыхания.

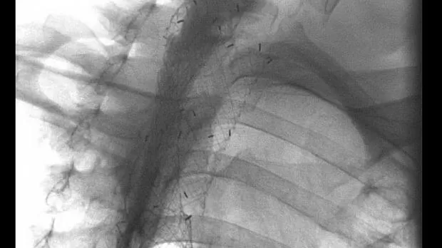
В двух случаях при наличии дисфагии и диспноэ первым этапом выполнена установка саморасправляющегося металлического стента в трахею под эндоскопическим контролем. Длина стента 6 см, диаметр 20 и 22 мм. Через 2 и 4 дня после этого была выполнена установка металлического саморасправляющегося стента в пищевод. Длина стентов по 12 см и диаметр 18 мм. Из-за «высокой» локализации верхнего края сужения по отношению к глоточно-пищеводному переходу применены асимметричный и шеечный стенты. Установка стентов осуществлена под рентгенологическим контролем. Осложнений в процессе выполнения вмешательств не было. Проходимость пищевода была восстановлена.

В остальных случаях (6) после ранее выполненного стентирования пищевода (от 2 до 9 месяцев после стентирования пищевода), проведено стентирование трахеи. Причиной появления дыхательной недостаточности было сдавление трахеи (у 4 пациентов) и прорастание опухоли в трахею (у 2, в том числе с возникновением трахеопищеводного свища. Все изменения подтверждены при Р-КТ органов грудной клетки и фибротрахеобронхскопии.

Длина участка сужения в 5 случаях составила 3,5 см и у одного пациента 4 см. При сдавлении трахеи (4 пациента) устанавливались саморасправляющиеся полностью покрытые металлические стенты длиной 6 см и диаметром 20 (1) и 22 мм (3 пациента). При прорастании опухоли в просвет трахеи с сужением ее просвета в одном случае выполнено стентирование металлическим саморасправляющимся стентом (длина 6 см, диаметр 20 мм), в другом после предварительного бужирования суженного участка трахеи тубусами ригидного бронхоскопа Friedel был установлен силиконовый стент 10х16 мм типа Dumon, длиной 6 см. Осложнений в процессе проведения вмешательства не было.

При проведении имплантации стента в трахею предпочтение отдавалось вмешательствам на самостоятельном дыхании под эндоскопическим контролем (7 пациентов) с применением внутривенной и местной анестезии. Такой способ установки стента сложнее технически, но проще для пациента, особенно при сдавлении трахеи извне, когда существует риск возникновения асфиксии при использовании тотальной внутривенной анестезии с введением миорелаксантов. Во всех случаях при использовании этого способа у половины пациентов была II степень сужения (от 1/2 до 2/3 от ее нормального диаметра), у второй половину сужение носило критический характер (III степень – более 2/3 от ее нормального диаметра). Несмотря на это, фибробронхоскоп с умеренным сопротивлением или свободно проводился ниже участка сужения. После этого по металлической струне-проводнику в зону сужения заводился стент в доставочном устройстве с его постепенным раскрытием. Во всех 7 наблюдениях стенты были установлены в правильную позицию. Практически сразу же после установки (через 5-10 минут) происходило уменьшение одышки и восстановление дыхания. Полное раскрытие стента происходило в течение 10-12 часов, что контролировалось томографией трахеи и фибротрахеобронхоскопией.

Дополнительное установка трахеального стента проведена через 6 месяцев после первого стентирования трахеи из-за продолжения роста опухоли, обрастании верхнего края стента и сдавлении трахеи извне. Вмешательство выполнено по типу «стент в стент» (длина 6 см, диаметр 20 мм).

Все пациенты были успешно выписаны из стационара для продолжения лечения онколога. В четырех случаях проводилась конформная лучевая терапия на проекцию опухоли. Срок жизни с момента выполнения второго вмешательства составил от 8 до 10 месяцев.

Выводы. Комбинированное стентирование позволяет эффективно восстановить проходимость трахеи и пищевода для продолжения дальнейшего лечения, но последовательность проведения вмешательств является индивидуальной и определяется выраженностью дисфагии и дыхательной недостаточности (интервал между вмешательствами зависит от их выраженности). Наблюдение в динамике является обязательным у данной категории пациентов для купирования осложнений или проведения вмешательств по типу «стент в стент». Оптимальным видом анестезии при установке трахеального стента можно считать комбинацию местной анестезии и нейролептаналгезии.


Открыт общий доступ к полному тексту статьи свернуть

Список литературы:

  1. Isohata N, Naritaka Y, Asaka S, Shimakawa T, Miyaki A, Yamaguchi K, Murayama M, Katsube T, Ogawa K. Three cases of the malignant esophageal stenosis successfully treated with the Niti-S™ esophageal stent. Gan To Kagaku Ryoho. 2011;38(12):2417-2419.
  2. Nasir BS, Tahiri M, Kazakov J, Thiffault V, Ferraro P, Liberman M. Palliation of concomitant tracheobronchial and esophageal disease using a combined airway and esophageal approach. Ann Thorac Surg. 2016;102(2):400-406. https://doi.org/10.1093/icvts/ivt466
  3. Nam DH, Shin JH, Song HY, Jung GS, Han YM. Malignant esophageal-tracheobronchial strictures: parallel placement of covered retrievable expandable nitinol stents. Acta Radiol. 2006;47(1):3-9.
  4. Schweigert M, Posada-González M, Dubecz A, Ofner D, Muschwerk H, Stein HJ. Recurrent oesophageal cancer complicated by tracheo-oesophageal fistula: improved palliation by means of parallel tracheal and oesophageal stenting. Interact Cardiovasc Thorac Surg. 2014;18(2):190-106. https://doi.org/10.1093/icts/ivt466
  5. Hürtgen M, Herber SC. Treatment of malignant tracheoesophageal fistula. Thorac Surg Clin. 2014;24(1):117-127. https://doi.org/10.1016/j.thorsurg.2013.09.006
  6. Wang H, Li D, Zhang N, Zou H, Luo L, Ma H, Zhou Y, Li J, Liang S. Sealing of airway fistulas for metallic covered z-type stents. Zhongguo Fei Ai Za Zhi. 2011;14(8):679-684. https://doi.org/10.3779/j.issn.1009-3419.2011.08.08
  7. Hamai Y, Hihara J, Emi M, Okita R, Shimizu K, Okada M. Successful management of multiple esophagorespiratory fistulas using two types of stent: report of a case. Surg Today. 2011;41(4):560-562. https://doi.org/10.1007/s00595-009-4298-9
  8. Nomori H, Horio H, Imazu Y, Suemasu K. Double stenting for esophageal and tracheobronchial stenosis. Ann Thorac Surg. 2000;70(6):1803-1807.
  9. Lee P, Kupeli E, Mehta AC. Airway stents. Clin Chest Med. 2010;31(1):141-150. https://doi.org/10.1016/j.ccm.2009.08.002
  10. Paganin F, Schouler L, Cuissard L, Noel JB, Becquart JP, Besnard M, Verdier L, Rousseau D, Arvin-Berod C, Bourdin A. Airway and esophageal stenting in patients with advanced esophageal cancer and pulmonary involvement. PLoS One. 2008;3(8):e3101. https://doi.org/10.1371/journal.pone.0003101
05.10.20 ©
Оцените материал: Рейтинг: 6.5

Комментарии

Написать

При эндоскопическом исследовании в случае бронхоэктазов в стадии ремиссии выявляется

частично диффузный бронхит I степени воспаления

Популярное

Работаем и учимся при поддержке

Партнеры