Просмотренные публикации

QR-код этой страницы

Для продолжения изучения на мобильном устройстве ПРОСКАНИРУЙТЕ QR-код с помощью спец. программы или фотокамеры мобильного устройства

Случайный выбор

данная функция, случайным образом выбирает информацию для Вашего изучения,
запустите выбор нажав кнопку ниже

Обратная связь
Напишите нам

Поделитесь своими идеями по улучшению нашей работы.
Прикрепить файл или скриншот удалить
Закрытая часть портала предназначена для только для работников здравоохранения. Оставив свой e-mail и специалищацию, Вы подтверждаете, что являетесь работником здравоохранения и что Вы ознакомились с текстом и поняли его.


Сообщение об ошибке
Что улучшить?

Поделитесь своими идеями по улучшению нашей работы.
Прикрепить файл или скриншот удалить
Закрытая часть портала предназначена для только для работников здравоохранения. Оставив свой e-mail и специалищацию, Вы подтверждаете, что являетесь работником здравоохранения и что Вы ознакомились с текстом и поняли его.


Главная Статьи Классификация язвенного колита по Schroeder в зависимости от эндоскопической активности

Статьи: Классификация язвенного колита по Schroeder в зависимости от эндоскопической активности

Анонс:

  • Всем пациентам с подозрением на ЯК рекомендовано проведение колоноскопии с илеоскопией для определения локализации, протяженности, степени активности воспалительного процесса [41].
  • Эндоскопическое исследование толстой кишки является основным методом диагностики ЯК, однако, специфичные эндоскопические признаки отсутствуют. Наиболее характерными являются непрерывное воспаление, ограниченное слизистой оболочкой, начинающееся в прямой кишке и распространяющееся проксимальнее, с четкой границей воспаления.
  • Всем пациентам с подозрением на ЯК при первичной постановке диагноза, при сомнениях в правильности ранее выставленного диагноза, рекомендовано выполнение биопсии слизистой оболочки толстой кишки [41,42].

1 / 168
Оцените материал:

Полный текст статьи:

Классификация язвенного колита в зависимости от эндоскопической активности (по Schroeder)

0 баллов

Норма или неактивное заболевание

Минимальная активность

1 балл

Легкая гиперемия, смазанный сосудистый рисунок. Легкая контактная ранимость

Умеренная активность

2 балла

Выраженная гиперемия, отсутствие сосудистого рисунка, умеренная контактная ранимость, эрозии

Выраженная активность

3 балла

Спонтанная ранимость, изъязвления


Ремиссия:

yazvennyi_kolit.png

Неактивное заболевание

Гиперемия и отек

-

Зернистость

-

Сосудистый рисунок

перестроен

Кровоточивость

-

Эрозии

-

Язвы

-



Минимальная активность воспалительного процесса:

yazvennyi_kolit.png

ЯК миним акт-min.png

Минимальная активность

Гиперемия и отек

диффузные

Зернистость

нет

Сосудистый рисунок

смазанный

Кровоточивость

субэпителиальные геморрагии

Эрозии

единичные

Язвы

отсутствуют


Умеренная активность воспалительного процесса:

yazvennyi_kolit.png

ЯК умер акт-min.png

Умеренная активность

Гиперемия и отек

диффузные

Зернистость

есть

Сосудистый рисунок

отсутствует

Кровоточивость

субэпителиальные геморрагии + умеренно выраженная контактная ранимость

Эрозии

множественные

Язвы

единичные


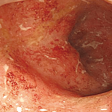
Выраженная активность воспалительного процесса:

yazvennyi_kolit.png

yazvennyi_kolit.png

Выраженная активность

Гиперемия и отек

диффузные

Зернистость

выражена

Сосудистый рисунок

отсутствует

Кровоточивость

субэпителиальные геморрагии + выраженная спонтанная ранимость

Эрозии

множественные

Язвы

множественные


В клинической практике нередко встречается так называемая «сверхтяжелая» или «крайне тяжелая» атака ЯК, характеризующаяся

  • · диареей более 10-15 раз в сутки,
  • · нарастающим падением гемоглобина,
  • · лихорадкой выше 38°С,
  • · тяжелой гипопротеинемией и электролитными сдвигами,
  • · высоким уровнем СРБ [8,9].

Сверхтяжелая форма ЯК может быть молниеносной (развивается у пациента без предварительного анамнеза язвенного колита) и внезапной (развивается после длительного анамнеза язвенного колита).

yazvennyi_kolit.pngyazvennyi_kolit.pngyazvennyi_kolit.png

Эндоскопически сверхтяжелая форма язвенного колита характеризуется глубокими (до мышечного слоя) обширными язвенными дефектами, окруженными инфильтрированной слизистой оболочкой. Воспалительный процесс может быть настолько выраженным, что слизистая оболочка может быть представлена сплошной язвенной поверхностью с островками инфильтрированной слизистой оболочки. 



ТЯЖЕСТЬ АТАКИ СОГЛАСНО ИНДЕКСУ АКТИВНОСТИ ЯЗВЕННОГО КОЛИТА

(ИНДЕКС МЕЙО, DAI; SCHROEDER K.W., 1987)

ЗНАЧЕНИЕ ИНДЕКСА

0

1

2

3

Частота стула

Обычная

На 1–2 в день больше обычной

На 3–4 в день больше обычной

На 5 и более в день больше обычной

Примесь крови в стуле

Нет

Прожилки

Видимая кровь

Преимущественно кровь

Состояние слизистой оболочки

Норма

1 балл по шкале

Schroeder

2 балла по шкале

Schroeder

3 балла по шкале

Schroeder

Общая оценка состояния пациента врачом

Норма

Удовлетворительное

Средней тяжести

Тяжелое

*Примечание. Тяжесть атаки язвенного колита устанавливается по сумме баллов: 0–2 – ремиссия (при этом оценка параметров ректального кровотечения и эндоскопического состояния слизистой = 0 баллов); 3–5 – легкая атака ЯК; 6–9 – среднетяжелая атака ЯК; 10–12 – тяжелая атака ЯК. Парциальный индекс без данных эндоскопии: 0–1 балл – клиническая ремиссия (при этом параметр

«ректальное кровотечение» = 0 баллов; 1–2 балла – легкая атака; 3–5 баллов – среднетяжелая атака;

≥6 баллов – тяжелая атака ЯК.

ПО ЭНДОСКОПИЧЕСКОЙ АКТИВНОСТИ

(ПО SCHROEDER K.W., 1987)

0

1

(минимальная активность)

2

(умеренная активность)

3

(выраженная активность)

Норма или неактивное заболевание

Легкая гиперемия, смазанный сосудистый рисунок, контактная ранимость отсутствует

Выраженная гиперемия, отсутствие сосудистого рисунка, контактная ранимость, эрозии

Спонтанная ранимость, изъязвления







MSbf-NOE1VM-min.jpg
Вам может быть интересно:

Открыт общий доступ к полному тексту статьи свернуть

Список литературы:

Schroeder KW, Tremaine WJ., et al. N Engl J Med 1987
29.04.20 ©
Оцените материал: Рейтинг: 7.5

Комментарии 1

Написать
Ольга
Материал отличный, на чёрном фоне очень тяжело воспринимается информация. Спасибо.
Ответить
Написать

Эластография при эндосонографии (ЭУС или эндоУЗИ)

Эластография (эластосонография) – метод виртуальной пальпации (технология улучшенной визуализации при ЭУС диагностике), позволяющий дифференцировать злокачественные и доброкачественные поражения лимфоузлов. Основана на принципе, что более мягкие ткани при сжатии легче деформируются, это позволяет объективно оценить консистенцию ткани, показать различия в плотности между нормальными и патологически измененными тканями.

При эндоскопическом исследовании в случае бронхоэктазов в стадии ремиссии выявляется

частично диффузный бронхит I степени воспаления

Популярное

Работаем и учимся при поддержке

Партнеры