Просмотренные публикации

QR-код этой страницы

Для продолжения изучения на мобильном устройстве ПРОСКАНИРУЙТЕ QR-код с помощью спец. программы или фотокамеры мобильного устройства

Случайный выбор

данная функция, случайным образом выбирает информацию для Вашего изучения,
запустите выбор нажав кнопку ниже

Обратная связь
Напишите нам

Поделитесь своими идеями по улучшению нашей работы.
Прикрепить файл или скриншот удалить
Закрытая часть портала предназначена для только для работников здравоохранения. Оставив свой e-mail и специалищацию, Вы подтверждаете, что являетесь работником здравоохранения и что Вы ознакомились с текстом и поняли его.


Сообщение об ошибке
Что улучшить?

Поделитесь своими идеями по улучшению нашей работы.
Прикрепить файл или скриншот удалить
Закрытая часть портала предназначена для только для работников здравоохранения. Оставив свой e-mail и специалищацию, Вы подтверждаете, что являетесь работником здравоохранения и что Вы ознакомились с текстом и поняли его.


Главная Статьи Хронический панкреатит

Статьи: Хронический панкреатит

13 мин
Авторы: Julie V. Tsirambidis, et al. 2001г.

Введение:

Хронический панкреатит это хроническое воспалительное заболевание характеризующееся фиброзом с деструкцией экзокринной и, через длительное время, эндокринной ткани поджелудочной железы (рис. 1).
Большинство пациентов с этим заболеванием поступают в клинику с жалобами на боль и нарушение пищеварения. Согласно данным Национального Опроса о состоянии здоровья за 1998 год было зарегистрировано более 530.000 врачебных посещений связанных с этими симптомами общей стоимостью примерно 63,8 миллионов долларов США [1].

Иллюстрация №2: Фиброз поджелудочной железы
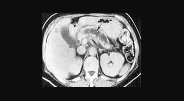
Иллюстрация №3: Компьютерная томография при хроническом панкреатите
Иллюстрация №4: РХПГ при хроническом панкреатите (Изменения по типу "жемчужной нити")
Иллюстрация №5: Диагностика хронического панкреатита
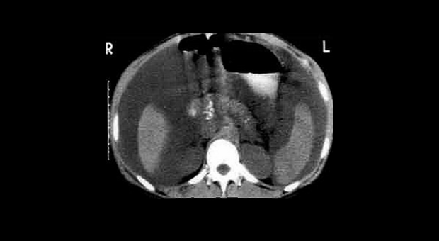
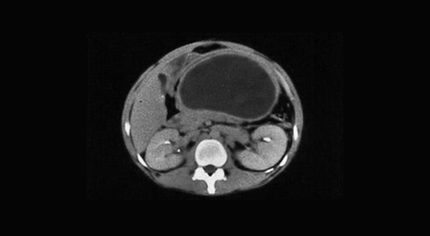
Иллюстрация №6: Псевдокиста при хроническом панкреатите
Иллюстрация №7: Панкреатический асцит при хроническом панкреатите
1 / 168
Оцените материал:

Полный текст статьи:

Частота заболеваемости

Хотя реальная частота заболеваемости хроническим панкреатитом неизвестна, ее оценки варьируют от 0,04 % до 5 % общей популяции. В развитых странах развитие этого заболевания связанно со злоупотреблением алкоголем в примерно 60-70 % случаев. Хронический панкреатит наиболее часто встречается у мужчин с пиком заболеваемости, приходящимся на возраст между 35 и 45 годами. Идиопатический панкреатит, составляющий 30 % всех случаев хронического панкреатита возникает у двух определенных групп пациентов: молодых индивидуумов 15-30 лет и более пожилых лиц 50-70 лет. Более редкая форма заболевания - тропический панкреатит, возникает у детей в некоторых районах Африки и Азии [2].

Анатомия и физиология

Поджелудочная железа это ретроперитониально расположенный орган примерно 12-20 см длинной и весящий 70-120 гр. Головка поджелудочной железы располагается в подкове двенадцатиперстной кишки (ДПК), далее железа расположена в косом направлении пересекает позвоночный столб и ее хвост заканчивается у ворот селезенки. Поджелудочная железа имеет очень богатое кровоснабжение, кровь поступает по ветвям чревного ствола, верхней брыжеечной и селезеночной артерии. Венозный отток от поджелудочной железы идет в систему портальной вены. Как симпатические так и парасимпатические эфферентные нервные волокна от блуждающего нерва и висцеральных нервов иннервируют поджелудочную железу через печеночное и чревное сплетения.

Функциональной единицей поджелудочной железы является ацинус. Ацинус состоит из ацинарных и дуктальных клеток. Ацинарные клетки снабжены богатым и высокоспециализированным внутриклеточным матриксом для синтеза, хранения и секреции большого числа протеинов, в основном в форме неактивных пищеварительных энзимов. Дуктальные клетки в основном секретируют воду и электролиты.

Существуют три фазы панкреатической секреции: центральная, желудочная и интестинальная. Центральная фаза стимулируется мыслями о, видом, вкусом или запахом пищи через холинэргическую иннервацию блуждающего нерва. Желудочная фаза наступает в ответ на расширение желудка и также производится через вагальный холинэргический рефлекс. Основной период панкреатической секреции после приема пищи происходит в интестинальную фазу. Эта фаза отвечает за 70-80 % панкреатической секреции и регулируется путем выброса секретина или холецистокинина (ХК). Секретин, поступающий в циркуляцию из ДПК, отвечает за секрецию бикарбоната и воды дуктальными клетками поджелудочной железы. ХК в основном отвечает за секрецию энзимов (протеаз) в ацинарных клетках [3].

Этиология

Употребление алкоголя является наиболее частой причиной развития хронического панкреатита в США. Факторы предрасполагающие некоторых (но не всех) много пьющих к развитию хронического панкреатита остаются неясны. Диета богатая жиром и протеином может служить предрасполагающим фактором. Курение видимо не играет важной роли в развитии алкогольного панкреатита, но может увеличивать риск развития кальцификатов при хроническом панкреатите [4]. Примерно в 20 % случаев хронического панкреатита он по своей природе идеопатический, а в остальных случаях он связан с различными другими причинами, включая тропический панкреатит, кистозный фиброз, гиперпаратириодизм и наследственный панкреатит[5].

Специфические гистологические маркеры для различных этиологических видов панкреатита отсутствуют. Следовательно, для морфолога сложно различить алкогольный и неалкогольный хронический панкреатит при исследовании биоптатов [2].

Патофизиология

Патофизиология хронического панкреатита остается неясной и существуют отдельные теории его развития при разных этиологических факторах. Наследственный панкреатит и кистозный фиброз, ведущие к хроническому панкреатиту, развиваются в раннем возрасте и характеризуются выраженной кальцификацией. Обструктивный хронический панкреатит развивается в результате врожденной или приобретенной стриктуры панкреатического протока, например как при раздвоении поджелудочной железы. Последняя ведет к сдавлению просвета дорсального протока. Приобретенная стриктура, с другой стороны, может быть результатом травмы, псевдокисты, некротизирующего панкреатита или опухоли. При устранении обструкции расширение протока может исчезать. В основе патофизиологии хронического панкреатита лежит базальная гиперсекреция панкреатических протеинов с одновременным уменьшением ингибиторов протеаз. Последнее изменяет биохимическую структуру панкреатического сока и предрасполагает индивидуумов к формированию протеиновых пробок и формированию панкреатических камней. Блокада мелких протоков вызывает преждевременную активацию панкреатических энзимов, что приводит к развитию острого панкреатита, который, через определенное время, вызывает перманентные структурные повреждения желез [6].

Большое внимание было направлено на механизм воздействия алкоголя на развитие хронического панкреатита. Одна из теорий говорит, что его хроническое употребление ведет к секреции панкреатического сока богатого протеином. Считается, что диета богатая протеином и липидами облегчает гиперсекрецию протеина (который включает пищеварительные ферменты) и, в конце концов, блокаду протоков и образование протеиновых пробок. Обнаружение генетического кода наследственного панкреатита внесло вклад в наше понимание патогенеза хронического панкреатита [7].

Клинические проявления

Боль в животе и потеря веса является двумя наиболее частыми клиническими проявлениями хронического панкреатита. Боль снижает аппетит пациентов и ведет к ограничению приема пищи, приводя к потери веса и недостаточности питания. Боль в животе является наиболее частым показанием к выполнению хирургического вмешательства при хроническом панкреатите. Обычно боль характеризуется как диффузная и с локализацией в верхней части живота. Абдоминальная боль усиливается после еды, присутствует она и ночью. Точные механизмы лежащие в основе появления болей остаются предметом дискуссий, но в ее основе могут лежать воспаление поджелудочной железы, увеличение внутри панкреатического давления, нейровоспаление или внепанкреатические причины, как стеноз общего желчного протока или ДПК. Потеря веса вначале происходит из-за уменьшения количества принимаемых калорий в результате страха и ожидания появления абдоминальной боли. Позже, при прогрессировании панкреатита, у пациента развивается мальабсорбция в результате панкреатической недостаточности. Сахарный диабет развивается, когда разрушается 80 % желез [8]. Стеаторея возникает при потере 90 % функции поджелудочной железы.

Физикальное обследование во время обострения может выявить болезненность в эпигастрии. При легком хроническом панкреатите исследование живота может не выявить патологии. В далеко зашедших случаях можно выявить пальпируемые образования (псевдокисты или рак поджелудочной железы) или спленомегалию в результате тромбоза селезеночной вены.

Диагностика

Диагноз основывается на анамнезе и подтверждается визуализирующими исследованиями и лабораторными тестами, оценивающими структуру и функцию поджелудочной железы (рис. 2, 3) [9].

Амилаза и липаза сыворотки может соответствовать норме или быть незначительно повышена. У 5-10 % пациентов с хроническим панкреатитом компрессия дистальной части общего желчного протока ведет к увеличению билирубина сыворотки и щелочной фосфотазы. Мальабсорбция жира ведет к увеличению его экскреции с калом (более 7 грамм в день). Выявление панкреатических кальцификатов при рентгенографии, УЗИ или компьютерной томографии является диагностическим критерием хронического панкреатита. Эти кальцификаты обнаруживаются в примерно 25-60 % всех случаев хронического алкогольного панкреатита и у 35-80 % пациентов с панкреатитом другой этиологии. Компьютерная томография может также выявить локальное увеличение размеров поджелудочной железы, ее атрофию, расширение панкреатического протока или псевдокисту. РХПГ является наиболее чувствительным и специфическим визуализирующим исследованием в диагностике хронического панкреатита (рис. 3).

Из-за риска развития панкреатита в результате выполнения РХПГ эта диагностическая процедура должна применяться только когда неинвазивные исследования являются малоинформативными. Новые, более современные виды исследований, как ядерно-резонансная холангиопанкреатография и эндоскопическое ультразвуковое исследование становятся все более популярными. Если с использованием всех этих визуализирующих исследований не удается подтвердить диагноз, то может быть выполнено тестирование функции поджелудочной железы со стимуляцией секретином или ХК [10]. Диагностический алгоритм приведен на рисунке 4.

Дифференциальный диагноз

Хронический панкреатит должен дифференцироваться с несколькими клиническими состояниями. Обследование должно проводиться с целью исключения других причин абдоминальной боли как пептическая язва, заболевания билиарного тракта, мезентериальные сосудистые заболевания или онкозаболевания.

Лечение

Дифференцированная нервная блокада помогает идентифицировать пациентов с болью в результате панкреатита и позволяет лучше подобрать терапию [11]. Блокада чревного сплетения под контролем эндоскопического УЗИ или компьютерной томографии эффективна при поражении малых протоков, но не дает длительное облегчение боли [11]. Хирургическое лечение включает латеральную панкреатоеюностомию (модифицированную операцию Пуэстоу), резекцию поджелудочной железы и торакоскопическую спланхникэктомию. Назначение панкреатических ферментов вызывает ингибирование панкреатической секреции по принципу обратной связи и снижает давление в протоке/паренхиме поджелудочной железы и, в конце концов, облегчает боль [12]. Эндоскопическое лечение включает сфинктеротомию, литотрипсию и стентирование панкреатического протока. Лечение боли при хроническом панкреатите является сложной проблемой из-за гетерогенности популяции пациентов, субъективной природы боли и плохого понимания ее патофизиологии [13]. В клинике Кливленда был разработан мультидисциплинарный подход к лечению боли при хроническом панкреатите с участием анестезиологов и психологов [14]. Недавно получены свидетельства, что диагностическая блокада может предсказать вероятность положительного ответа на терапию [11].

Лечение стеатореи включает назначение панкреатической липазы, по крайней мере, в 30.000 единиц на каждый прием пищи. При неэффективности доза может быть увеличена. Другие методики включают частое питание небольшими порциями, прием Н2 блокаторов или блокаторов протонной помпы для снижения кислотности желудка, добавление триглицеридов со средней длинной цепи или ограничение приема жира в 50-75 грамм в день. Алгоритм лечения стеатореи (каждый последующий шаг предпринимается при неэффективности предыдущего):

  • Терапия панкреатическими ферментами (30.000 единиц липазы на каждый прием пищи)
  • Диета с ограничением жира/триглицериды с средней длинной цепи 50-75 грамм в день
  • Антагонисты Н2 рецепторов
  • Ингибиторы протонной помпы
  • Возможными причинами отсутствия результата являются: ошибка в диагнозе, сопутствующие состояния (целиакия), неправильный прием препаратов больным, потеря энзимами препарата активности, ингибирование энзимов кислотой желудочного сока

Осложнения

Наиболее частым осложнением хронического панкреатита являются псевдокисты (рис. 5), асцит (рис. 6) или тромбоз селезеночной вены. Панкреатические псевдокисты имеют место у 25 % пациентов. Они могут вызывать абдоминальную боль, тошноту, рвоту или желтуху. Примерно в 10 % случаев псевдокисты связанны с псевдоаневризмами, которые могут давать опасные для жизни кровотечения. Могут наблюдаться и бессимптомным псевдокисты. При наличии симптомов псевдокисты должны быть дренированы с использованием хирургической, эндоскопической или радиологической техники.

Панкреатический асцит диагностируется по высокому уровню амилазы в асцитической жидкости. Это обычно связанно с разрывом протока и может курироваться полным парентеральным питанием, установлением панкреатического стента и инъекциями октреотида. Хирургическое лечение может потребоваться при отсутствии адекватного ответа на вышеперечисленные меры.

Тромбоз селезеночной вены развивается у 2-4 % пациентов с хроническим панкреатитом. Это событие ведет к появлению изолированных варикозно-расширенных вен желудка и гастроинтестинальному кровотечению. Диагноз подтверждается мезентериальной ангиографией. В случае кровотечения спленэктомия приводит к его остановке.

Другие осложнения включают рак поджелудочной железы, обструкцию общего желчного протока и образование панкреатической фистулы.

Открыт общий доступ к полному тексту статьи свернуть

Вывод:

Качество жизни пациентов с хроническим панкреатитом алкогольной этиологии обычно плохое, с большим процентом безработицы и незапланированным ранним выходом на пенсию. Результаты лечения боли при хроническом панкреатите неудовлетворительны. Большинство пациентов продолжают испытывать боль. Операции на поджелудочной железе ведут к облегчению боли на различные промежутки времени. Уровень смертности при хроническом алкогольном панкреатите достигает 50 % в течение 20-25 лет [15]. Прогноз при тропическом и идиопатическом панкреатитах обычно более благоприятный, чем при алкогольном панкреатите. Рак поджелудочной железы развивается у примерно 4 % пациентов в пределах 20 лет от диагностики хронического панкреатита. Лечение хронического панкреатита является сложной проблемой. Мультидисциплинарный подход оказался наиболее эффективным для обеспечения полноценной медицинской помощи и удовлетворяет пациента в наибольшей степени.

Список литературы:

  1. The Burden of Gastrointestinal Disease, AGA Publication, 2001.
  2. Banks PA. Acute and chronic pancreatitis, In: Gastrointestinal and Liver Disease. 6th ed. Philadelphia: W.B. Saunders Co; 1998.
  3. Owyang C, Williams J. Pancreatic Secretion. In: Yamada T, ed. Textbook of Gastroenterology. New York: J. B. Lippincott Company; 1991:294-314.
  4. Levy P, Mathurin P, Roqueplo A, et al. A multidimensional case-control study of dietary, alcohol, and tobacco habits in alcoholic men with chronic pancreatitis. Pancreas. 1995;10:231-238.
  5. Steer ML, Waxman I, Freedman S. Chronic pancreatitis. N Engl J Med. 1995;332:1482-1490.
  6. Malagelada JR. The pathophysiology of alcoholic pancreatitis. Pancreas. 1986;1:270-278.
  7. Whitcomb DC. Hereditary pancreatitis: a model for understanding the genetic basis of acute and chronic pancreatitis. Pancreatology. 2001;1:565-570.
  8. DiMagno EP. Chronic pancreatitis. In:, Go V L W, Gardner, et al The Exocr. Pancr.: biology, pathobiology, and diseases . New York: Raven Press; 1986:541-575.
  9. Niederau C, Grendell JH. Diagnosis of chronic pancreatitis. Gastroenterology. 1985;88:1973-1975.
  10. Conwell DL, Zuccaro G. A screening endoscopic pancreatic function test for patients with chronic pancreatic pain. Am J Gastroenterol. 2001;96(S83):A262.
  11. Conwell DL, Vargo JJ, Dews TE, et al. The role of differential neuroaxial blockade in the evaluation and management of pain in chronic pancreatitis. Am J Gastroenterol. 2001;96:431-436.
  12. Conwell DL, Zuccaro G. Pain management in chronic pancreatitis. Curr Treat Options Gastroenterol. 1999;0:295-304.
  13. Warshaw AL, Banks PA, Fernandez-Del Castillo C. AGA technical review; treatment of pain in chronic pancreatitis. Gastroenterology. 1998;115:765-776.
  14. Conwell DL. 2001. Acute and chronic pancreatitis. In: Thota P N, Conwell DL. Pancreatic Disorders.
  15. Ammann RW, Akovbiantz A, Largiader F, et al. Course and outcome of chronic pancreatitis: a longitudinal study of a mixed medical - surgical series of 245 patients. Gastroenterology. 1984;86:820-828.

23.11.19 © Липская ..
Оцените материал: Рейтинг: 8.5

Комментарии

Написать

При эндоскопическом исследовании в случае бронхоэктазов в стадии ремиссии выявляется

частично диффузный бронхит I степени воспаления

Работаем и учимся при поддержке

Партнеры