Просмотренные публикации

QR-код этой страницы

Для продолжения изучения на мобильном устройстве ПРОСКАНИРУЙТЕ QR-код с помощью спец. программы или фотокамеры мобильного устройства

Случайный выбор

данная функция, случайным образом выбирает информацию для Вашего изучения,
запустите выбор нажав кнопку ниже

Обратная связь
Напишите нам

Поделитесь своими идеями по улучшению нашей работы.
Прикрепить файл или скриншот удалить
Закрытая часть портала предназначена для только для работников здравоохранения. Оставив свой e-mail и специалищацию, Вы подтверждаете, что являетесь работником здравоохранения и что Вы ознакомились с текстом и поняли его.


Сообщение об ошибке
Что улучшить?

Поделитесь своими идеями по улучшению нашей работы.
Прикрепить файл или скриншот удалить
Закрытая часть портала предназначена для только для работников здравоохранения. Оставив свой e-mail и специалищацию, Вы подтверждаете, что являетесь работником здравоохранения и что Вы ознакомились с текстом и поняли его.


Главная Статьи Кандидозный эзофагит (кандидоз пищевода, микоз пищевода, грибковый эзофагит)

Статьи: Кандидозный эзофагит (кандидоз пищевода, микоз пищевода, грибковый эзофагит)

Анонс:

Кандидозный эзофагит входит в группу инфекционных эзофагитов, к которым также относятся цитомегаловирусный и герпетический эзофагиты.
Как правило, большинство случаев эзофагита связано с неинфекционными причинами, в основном с гастроэзофагеальной рефлюксной болезнью. Если выявляется инфекционный эзофагит, то следует прежде всего думать, что у данного пациента имеется то или иное нарушение иммунитета.

1 / 168
Оцените материал:

Полный текст статьи:

Этиология:

Хотя Candida считается представителем нормальной микрофлоры желудочно-кишечного тракта человека, этот микроорганизм может стать причиной эзофагита. Связано это с нарушением защитных сил макроорганизма. В целом многие виды рода Candida могут вызывать развитие клинических синдромов, но чаще всего называют C. albicans. Считается, что следует точно идентифицировать вид Candida, так как существуют межвидовые отличия, заключающиеся в большей или меньшей устойчивости к антигрибковой терапии.

Факторы риска:

Кандидоз пищевода наиболее часто диагностируется у больных

  • · с гемобластозами,
  • · со СПИДом,
  • · после трансплантации органов,
  • · у получающих стероидную терапию [4, 11].

Кандидозный эзофагит встречается

  • · у больных общего профиля в 1–2% случаев,
  • · у страдающих сахарным диабетом 1-го типа — в 5–10%,
  • · у больных СПИДом — в 15–30% [2].

Клиническая картина:

Наиболее характерным симптомом кандидоза пищевода является одинофагия, т. е. боль по ходу пищевода при проглатывании пищи.

Диагностика:

Эндоскопическая диагностика:

  • · Диагноз кандидозного эзофагита устанавливается, как правило, при эзофагоскопии, когда выявляются белые и белесовато-желтые бляшки и бляшкоподобные налеты на слизистой оболочке пищевода. Зачастую участки белесоватого налета носят диффузный характер, и покрывают всю поверхность слизистой оболочки пищевода.
  • · Патогномоничным признаком кандидозного эзофагита является тот факт, что налет с трудом снимается биопсийными щипцами и после его удаления остаются участки осаднения слизистой оболочки.

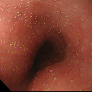
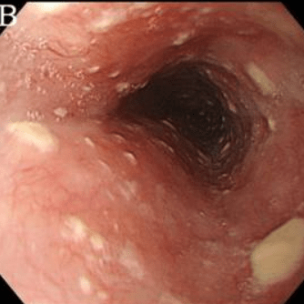
Эндоскопическая классификация кандидозного эзофагита по Kodsi

kandidoznyy_ezofagit.png   kandidoznyy_ezofagit.png

Степень I: Несколько приподнятых белесоватых бляшек размерами до 2 мм в диаметре, с гиперемией, но без отека или язв.

kandidoznyy_ezofagit.png   kandidoznyy_ezofagit.png

Степень II: Множественные приподнятые белесоватые бляшки размерами более чем 2 мм в диаметре с гиперемией вокруг, но без отека или язв

kandidoznyy_ezofagit.png   kandidoznyy_ezofagit.png

Степень III: Сливные линейные и узловатые приподнятые бляшки, с гиперемией и язвами

kandidoznyy_ezofagit.png   kandidoznyy_ezofagit.png

Степень IV: Те же изменения, что и при III степени, плюс контактная кровоточивость слизистой оболочки и иногда сужение просвета пищевода

Патоморфологическая диагностика:

При гистологическом исследовании биопсийного материала из пораженных участков видны дрожжевые грибы с псевдогифами, проникающими в эпителиальный слой слизистой оболочки. Иногда отмечается проникновение микроорганизма в глубокие слои стенки органа.

Дифференциальная диагностика:

  • · Герпетический эзофагит,
  • · Цитомегаловирусный эзофагит,
  • · Лекарственный эзофагит,
  • · Эозинофильный эзофагит.

Лечение:

  • · Данный вид эзофагита требует системной противогрибковой терапии.
  • · У пациентов с перечисленными выше факторами риска и с симптомами одинофагии или дисфагии уместна эмпирическая противогрибковая терапия.
  • · Эзофагогастродуоденоскопия (ЭГДС) может быть выполнена, если симптомы не стихают примерно после 3 дней лечения, его продолжительность составляет 2–3 недели.
  • · Внутривенная терапия может оказаться необходимой у пациентов с тяжелой формой заболевания, которые не могут принимать препараты перорально [2].

Рекомендуемый пероральный препарат флуконазол следует назначать с начальной дозы 400 мг, затем по 200–400 мг один раз в день в течение 2–3 недель, но в упорных случаях применяют и другие азолы, такие как позаконазол, вориконазол или итраконазол в виде раствора. Иные лекарства, в том числе эхинокандины или амфотерицин B, также весьма эффективны [2, 5].

Особенности лечения беременных:

  • · Амфотерицин может использоваться для лечения кандидозного эзофагита в период беременности, что специально отражено в показаниях к клиническому применению препарата.
  • · Надо подчеркнуть, что азолы являются тератогенными и не должны использоваться особенно в течение первого триместра беременности.
  • · К сожалению, нет данных относительно применения эхинокандинов во время беременности.


MSbf-NOE1VM-min.jpgВам может быть интересно:

Открыт общий доступ к полному тексту статьи свернуть

Список литературы:

1. Ивашкин В.Т., Трухманов А.С. Болезни пищевода, М., Триада-Х, 2000:111-22. 1. Ivashkin V.T., Trukhmanov A.S. Esophageal Diseases, 2000: 111-22. 2. Маев И. В., Бусарова Г.А. Кандидоз пищевода. Лечащий врач 2002; 6:44-50. 2. Mayev I.V., Busarova G.A. Esophageal Candidiasis. Lechaschi vrach 2002; 6:44-50. 3. Трухманов А.С., и др. Кандидамикозный эзофагит, симулирующий ахалазию кардии. СПб:1 РГН, 1995: с. 237. 3. Trukhmanov A.S., et al. Candidal esophagitis, mimicking cardiac achalasia. SPb: 1 RGN, 1995: с. 237. 4. Шевяков М.А. Кандидоз слизистых оболочек пищеварительного тракта. Проблемы мед микологии 2000; 2(2):6-10. 4. Shevyakov M.A. Candidiasis of gastrointestinal mucosa. Problemy med mikologii 2000; 2 (2): 6-10. 5. Ющук Н.Д., Венгеров Ю.Я. Лекции по инфекционным болезням. М.: Медицина, 1986. 5. Yuschuk N.D., Vengerov Yu.Ya. The lecture on infectious diseases. M.: Medicine, 1986. 6. Ющук Н.Д., Маев И.В., Бусарова Г.А. Герпесвирусные эзофагиты Тер арх 2003; 11:79-83. 6. Yuschuk N.D., Mayev I.V., Busarova G.A. Herpes virus esophagites. Ter arkh 2003; 11: 79-83. 7. Baroco A.L., Oldfield E.C. Gastrointestinal cytomegalovirus disease in the immunocompromised patient. Curr Gastroenterol Rep 2008; 10(4):409-16. 8. Bate S.L., Dollard S.C., Cannon M.J. Cytomegalovirus seroprevalence in the United States: the national health and nutrition examination surveys, 1988-2004. Clin Infect Dis 2010; 50:1439-47. 9. Forrest G. Gastrointestinal infections in immunocompromised hosts. Curr Opin Gastroenterol 2004; 20(1):16-21. 10. Lemonovich T.L., Watkins R.R. Update on cytomegalovirus infections of the gastrointestinal system in solid organ transplant recipients. Curr Infect Dis Rep 2012; 14:33-40. 11. Mönkemüller K.E., Wilcox C.M. Diagnosis and treatment of esophagitis in AIDS. Compr Ther 2000; 26(3):163-8. 12. Mulhall B.P., Wong R.K. Infectious esophagitis. Curr Treat Options Gastroenterol 2003; 6(1):55-70. 13. Wilcox C.M., Rodgers W., Lazenby A. Prospective comparison of brush cytology, viral culture, and histology for the diagnosis of ulcerative esophagitis in AIDS. Clin Gastroenterol Hepatol 2004; 2(7):564-7.
06.05.20 ©
Оцените материал: Рейтинг: 7.5

Комментарии

Написать

Гематохезия

наличие неизмененной крови в стуле

При эндоскопическом исследовании в случае бронхоэктазов в стадии ремиссии выявляется

частично диффузный бронхит I степени воспаления

Работаем и учимся при поддержке

Партнеры