Просмотренные публикации

QR-код этой страницы

Для продолжения изучения на мобильном устройстве ПРОСКАНИРУЙТЕ QR-код с помощью спец. программы или фотокамеры мобильного устройства

Случайный выбор

данная функция, случайным образом выбирает информацию для Вашего изучения,
запустите выбор нажав кнопку ниже

Обратная связь
Напишите нам

Поделитесь своими идеями по улучшению нашей работы.
Прикрепить файл или скриншот удалить
Закрытая часть портала предназначена для только для работников здравоохранения. Оставив свой e-mail и специалищацию, Вы подтверждаете, что являетесь работником здравоохранения и что Вы ознакомились с текстом и поняли его.


Сообщение об ошибке
Что улучшить?

Поделитесь своими идеями по улучшению нашей работы.
Прикрепить файл или скриншот удалить
Закрытая часть портала предназначена для только для работников здравоохранения. Оставив свой e-mail и специалищацию, Вы подтверждаете, что являетесь работником здравоохранения и что Вы ознакомились с текстом и поняли его.


Главная Статьи Эндоскопическая ультрасонография: эластография в оценке лимфатических узлов.

Статьи: Эндоскопическая ультрасонография: эластография в оценке лимфатических узлов.

Авторы: Christoph F Dietrich 1 2016г.
Об авторах: 1. Department of Medicine, Caritas-Krankenhaus, Uhlandstr, Bad Mergentheim

Введение:

Эластография – метод виртуальной пальпации , разработан относительно недавно и уже доказал свою ценность, как дополнительный метод визуализации, позволяющий дифференцировать злокачественные и доброкачественные поражения лимфоузлов ( ЛУ). 


В данной статье обсуждается эффективность эластографии в диагностике лимфаденопатий, приведен обзор литературы и результатов исследований.

Одним из лучших диагностических инструментов в оценке ЛУ настоящее время является эндоскопическая ультрасонография (ЭУС). Однако , дифференциальный диагноз между злокачественным идоброкачественным  поражением ЛУ на основе ЭУС –изображения иногда вызывает затруднения и требует тонкоигольной аспирационной пункции ( ТИП). Несмотря на то, что специфичность ЭУС-ТИП близка к 100% , она потенциально пропускает начальные стадии инфильтрируюущего роста опухоли в ЛУ. 
Кроме того, требует опыта эндоскописта и связана с рисками, хоть и в очень небольшом % случаев. 
В соответствии с директивами ESGE –ЭУС с контрастированием и ЭУС с эластографией – это новые методики разработанные для увеличения прогностической ценности ЭУС-ТИП.
Недавние исследования показали, что эти методы могут быть потенциально полезными для выбора диагностически значимых ЛУ, в т. ч. участков ЛУ , которые должны быть подвержены пункции.

Эластография –эквивалент формирования изображения пальпации, превосходящий субъективность физического обследования и дающий качественную оценку жесткости ( плотности) очага поражения. Основана на принципе, что более мягкие ткани при сжатии легче деформируются, это позволяет объективно оценить консистенцию ткани, показать различия в плотности между нормальными и патологически измененными тканями. 

Эластография делится на 2 типа: 
  • качественный анализ ткани - « штамм эластография» , основана на реакции ткани к внешней или внутренней генерирующей силе;
  • количественный анализ - основанный на измерении поперечных волн генерирующих push- имульсов низкой частоты ( поперечная волна эластографии SWE).
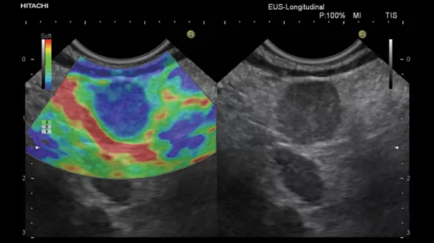
Для оценки лимфоузла изпользуется визуальная цветовая шкала , где : 
  • однородный зеленый цвет – нормальная ткань ЛУ
  • однородный синий рисунок - злокачественная ( жесткая ) ткань
  • красный и желтый – соединительная ткань и сосуды
Функцией эластографии оснащены эндоскопические ультразвуковые станции Hitachi и Olympus EU ME-2. Выполняется при помощи ЭХО-эндоскопов ( эндобронхиальных и гастроинтестинальных). 

Эластография уже доказала свою клиническую ценность в диагностике рака молочной железы, фиброза печени, опухолей поджелудочной железы и диагностики лимфаденопатий брюшной полости и средостения. 

Преимущества ЭУС с эластографией : 
  • в качестве неинвазивного метода дополняет традиционную ЭУС с минимальным увеличением времени обследования, минимальными затратами и осложнениями;
  • значительно повышает специфичность стадирования ЛУ;
  • может быть выполнена в режиме реального времени и дать важную информацию влияющую на выбор тактики лечения;
  • обнаружить минимальные, очень ранние участки поражения ЛУ, улучшить наведение при ТИП;
  • может отвергнуть злокачественное поражение , например при саркоидозе;
  • позволит избежать попадания в участки распада ЛУ.
Отрицательные факторы:
  • изменчивость изображения, артефакты и трудность интрепритации цветовой шкалы
  • неспособность эластографии контролировать сжатие тканей ( коэффициент деформации)
  • нет четких критериев оценки эластографии и они должны быть разработаны
Планируются дальнейшие исследования.

Перевод: Наталья Ли

1 / 168
Оцените материал:
01.02.18 ©
Оцените материал: Рейтинг: 10

Комментарии

Написать

При эндоскопическом исследовании в случае бронхоэктазов в стадии ремиссии выявляется

частично диффузный бронхит I степени воспаления

Популярное

Работаем и учимся при поддержке

Партнеры