Полный текст статьи:
Эпидемиология. Распространенность диверсионного колита у стомированных пациентов чрезвычайно высока и составляет 74–91% [1, 3, 9]. Считается, что у пациентов с предшествующим хроническим воспалительным заболеванием кишечника (ХВЗК) частота развития диверсионного колита выше, но, согласно результатам исследования Son и соавторов о диверсионном колите у пациентов, оперированных по поводу рака прямой кишки, частота развития составила 100% [7, 8]. Связи между диверсионным колитом, возрастом, полом, типом стомы или способом выполненного оперативного вмешательства нет [3, 9].
Патогенез. Основные механизмы, лежащие в основе диверсионного колита, по-прежнему до конца не ясны. Главное звено в патогенезе этого заболевания — бактериальный дисбаланс, развивающийся вследствие нарушения нормального пассажа кала, который приводит к нарушению защитной функции слизистой оболочки и снижению количества короткоцепочечных жирных кислот (КЦЖК). КЦЖК участвуют в метаболизме колоноцитов, покрывая около 70% их энергетических потребностей, и недостаток этих кислот приводит к нарушению энергетического обмена в эпителии толстой кишки [1]. С другой стороны, КЦЖК расслабляют гладкие мышцы сосудов — и их дефицит может вызывать повышение тонуса сосудов, что приводит к относительной ишемии слизистой и стенки толстой кишки (ишемическая теория) [9]. Основные теории патогенеза диверсионного колита представлены на рис. 1.

Рис. 1. Основные теории патогенеза диверсионного колита [9].
Клиническая картина. Клинические проявления возникают примерно у 30% больных без ХВЗК, но у пациентов с болезнью Крона встречаются в 33% случаев, а при язвенном колите — 87%.[Оэ2] Симптомы диверсионного колита возникают в течение 1–36 месяцев после наложения колостомы [3, 9]. Пациенты с диверсионным колитом жалуются на выделение слизи и/или крови, тенезмы, боли в животе, чувство тяжести или боль в прямой кишке [1, 7]. Патологические выделения из прямой кишки — наиболее распространенный симптом (40%), на втором месте по встречаемости — боли в животе и тенезмы (15%) [9]. Наиболее информативный в этом случае диагностический метод — ректороманоскопия и колоноскопия с гистологическим исследованием биоптата слизистой и удаленных операционных препаратов из отключенных отделов ободочной и прямой кишки [1].
Эндоскопическая картина. Макроскопические изменения в отключенной толстой кишке могут носить как непрерывный, так и сегментарный характер [9]. Диверсионный колит представлен отеком, зернистостью, петехиальными кровоизлияниями, контактной кровоточивостью слизистой, смазанностью сосудистого рисунка и напоминает эндоскопическую картину язвенного колита с умеренной степенью активности [1].
Пристеночно отмечаются налеты слизи. Son с соавторами в своей работе оценивали по эндоскопической картине в отдельности выраженность отека (0–3 балла), внутрислизистых кровоизлияний (0–3 балла) и контактную кровоточивость (0–1 балл). Впоследствии баллы суммировались (0–7 баллов). По общему баллу диверсионный колит был разделен на слабый (0–2 балла), умеренный (3–5 баллов) и тяжелый (6–7 баллов) (рис. 2) [8].
Рисунок 2. Эндоскопические проявления диверсионного колита [8].
Пример основных эндоскопических результатов при диверсионном колите в зависимости от относительной тяжести.
A, B, C. Петехиальные кровоизлияния (A — 1 балл; B — 2 балла; C — 3 балла).
D, E, F. Отек (D — 1 балл; E — 2 балла; F — 3 балла).

Подготовка к колоноскопии пациентов, перенесших операцию на толстой кишке. Мною найдено небольшое количество ресурсов, посвященных проблеме подготовки данной группы пациентов. В отечественной литературе эта проблема освещена крайне скудно.
Пациентам с разгрузочными илеостомами прием пероральных препаратов для очистки кишечника не показан. Таким больным проводят промывание толстой кишки через илеостому, которое может быть дополнено очистительными клизмами, это обычно требует госпитализации в хирургическое отделение [12]. На сайте gnck.ru уточняется, что специальная подготовка пациентам с разгрузочной илеостомой не показана [13]. Однако в нашей практике мы довольно часто наблюдаем неадекватную подготовку толстой кишки к исследованию даже после проведения очистительных клизм. Для пациентов с петлевой колостомой рекомендуется проведение стандартной подготовки пероральными препаратами для очистки кишечника в комбинации с промыванием отключенных отделов через колостому. Пациенты с концевыми колостомами (после операций типа Гартмана) должны проходить стандартную подготовку пероральными препаратами для очистки кишечника в комбинации с очистительными клизмами. Пациентам после субтотальной резекции рекомендована одноэтапная быстрая подготовка с последующей очистительной клизмой — как для сигмоскопии. Нестомированным пациентам после различных вариантов резекции толстой и прямой кишки и брюшно-анальной резекции показана стандартная пероральная подготовка [12].
На сегодняшний день стандартной считается двухэтапная подготовка или одноэтапная в день исследования полным объемом полиэтиленгликоля. Исследование Liu и соавторов показало, что уменьшение стандартного объема ПЭГ с 4 л до 2 л в сплит-режиме у пациентов с оперированной толстой кишкой приводит к снижению качества подготовки (89,4% против 66,7%, P < 0,001) [6].
Действенная альтернатива полнообъемным препаратам ПЭГ — применение малообъемного препарата ПЭГ с аскорбатным комплексом («МОВИПРЕП®»). Применение препарата «МОВИПРЕП®» предпочтительнее для амбулаторных пациентов, сопряжено с меньшим количеством таких нежелательных явлений, как тошнота и рвота, а также с большей приверженностью пациентов [2, 4, 5, 10, 11]. В проведенном многоцентровом рандомизированном клиническим исследовании в России по оценке подготовки пациентов по утренней и двухэтапной схеме применения препарата МОВИПРЕП®, показано, что обоих схемах наблюдается почти в 100% случаях эффективная подготовка кишечника, включая правые отделы [14].
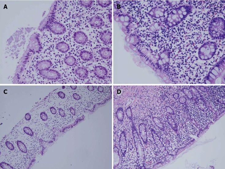
Гистологическая картина. Гистологические изменения в отключенной кишке присутствуют у всех стомированных пациентов [1, 8, 9]. В биоптатах слизистой при диверсионном колите выявляются признаки острого или хронического воспаления, эозинофильная инфильтрация, нарушение архитектоники крипт, фолликулярная лимфоидная гиперплазия и крипта-абсцессы [1, 8, 9]. Son и соавторы [8] также использовали шкалу оценки тяжести диверсионного колита, оценивая эти признаки по отдельности: острое воспаление (0–1 балл); хроническое воспаление (0–2 балла); эозинофильная инфильтрация (0–2 балла); нарушение архитектоники крипт (0–1 балл); фолликулярная гиперплазия (0–1 балл); крипта-абсцессы (0–1 балл) — с возможной суммой общего балла от 0 до 8. По общему баллу диверсионный колит был разделен на слабый (1–3 балла), умеренный (4–6 баллов) и тяжелый (7–8 баллов) (см. рис. 3).
Рисунок 3. Гистологическая картина диверсионного колита [8].
Пример основных гистологических результатов при диверсионном колите в зависимости от относительной тяжести.
А, B. Эозинофильная инфильтрация (A — 1 балл; B — 2 балла; окраска гематоксилином и эозином, увеличение 400x).
C, D. Хроническое воспаление с мононуклеарными макрофагами, лимфоцитами и плазматическими клетками (C — 1 балл; D — 2 балла; окраска гематоксилином и эозином, увеличение 200x).

Лечение. Цель лечения — уменьшение или устранение симптомов [3, 9]. Ликвидация коло- либо илеостомы приводит к излечению, однако Son с соавторами указывают, что у пациентов с тяжелым диверсионным колитом после ликвидации стомы может возникнуть диарея [8]. Фармакологические методы лечения необходимы для симптомных пациентов с постоянными стомами и пациентов, у которых ликвидация стомы не может быть проведена по причинам технических трудностей, плохой функции анального сфинктера или стойкого перианального сепсиса. На сегодняшний день не существует единых подходов к терапии диверсионного колита у таких пациентов. Используются препараты КЦЖК, 5-аминосалициловой кислоты, клизмы с кортикостероидами или волокнами [1, 3, 9]. Существуют единичные сообщения о применении фекотрансплантации [9] и спрея декстрозы [7, 9].
Выводы
Диверсионный колит – неспецифическое воспаление, возникающее в отключенной кишке после наложения стомы. Данное состояние развивается у всех стомированных пациентов, но при этом симптомы (выделение слизи и/или крови, тенезмы, боли в животе, чувство тяжести или боль в прямой кишке) возникают только у 30% человек. Диагностика диверсионного колита основана на данных колоноскопии с гистологическим исследованием биоптата. Эндоскопические признаки диверсионного колита: отек, зернистость, петехиальные кровоизлияния, контактная кровоточивость слизистой, смазанность сосудистого рисунка. Гистологическая картина представлена признаками острого или хронического воспаления, эозинофильной инфильтрацией, нарушением архитектоники крипт, фолликулярной лимфоидной гиперплазией и крипта-абсцессами. Основной метод лечения диверсионного колита – ликвидация стомы. Единых подходов к медикаментозному лечению на сегодняшний день нет.
[Оэ2] ХВЗК представлены болезнью Крона и язвенным колитом. У пациентов с данными заболеваниями клинические проявления бывают чаще, чем у пациентов с другой патологией.
Комментарии