Просмотренные публикации

QR-код этой страницы

Для продолжения изучения на мобильном устройстве ПРОСКАНИРУЙТЕ QR-код с помощью спец. программы или фотокамеры мобильного устройства

Случайный выбор

данная функция, случайным образом выбирает информацию для Вашего изучения,
запустите выбор нажав кнопку ниже

Обратная связь
Напишите нам

Поделитесь своими идеями по улучшению нашей работы.
Прикрепить файл или скриншот удалить
Закрытая часть портала предназначена для только для работников здравоохранения. Оставив свой e-mail и специалищацию, Вы подтверждаете, что являетесь работником здравоохранения и что Вы ознакомились с текстом и поняли его.


Сообщение об ошибке
Что улучшить?

Поделитесь своими идеями по улучшению нашей работы.
Прикрепить файл или скриншот удалить
Закрытая часть портала предназначена для только для работников здравоохранения. Оставив свой e-mail и специалищацию, Вы подтверждаете, что являетесь работником здравоохранения и что Вы ознакомились с текстом и поняли его.


Главная Статьи Дисфункция сфинктера Одди

Статьи: Дисфункция сфинктера Одди

10 мин
Авторы: Рыжков Е.Ф. 2003г.

Введение:

В данном обзоре я хочу кратко остановиться на редко упоминаемой в отечественной литературе патологии - дисфункции сфинктера Одди. В одной статье практически не возможно полноценно ответить все вопросы природы, диагностики и лечения данной патологии по этому я кратко остановлюсь на ее основных аспектах.

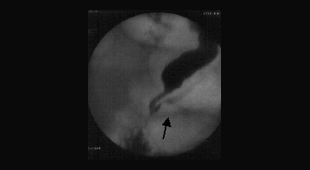
Иллюстрация №1: Cужение в терминальном отделе общего желчного протока
Иллюстрация №2: Выявленный на РХПГ билиарно-панкреатический рефлюкс
1 / 168
Оцените материал:

Полный текст статьи:

Определение 

Итак, дисфункция сфинктера Одди (ДСО) является одним из двух функциональных заболеваний билиарного тракта (второе - расстройство двигательной активности желчного пузыря). Под понятием ДСО подразумеваются моторные расстройства сфинктера Одди приводящие к возникновению интермиттирующей обструкции желчного или панкреатического протоков, основным клиническим проявлением которых является типичный болевой синдром [8]. Существует и другое определение - доброкачественное клиническое состояние некалькулезной этиологии, проявляющееся нарушением тока желчи и панкреатического сока на уровне соединения холедоха и панкреатического протока [1]. Выделяют билиарную и панкреатическую формы ДСО и два вида ДСО - стеноз и дискинезию сфинктера Одди. Мне кажется, что стеноз возникший, например, в результате прохождения через сфинктер Одди конкремента к собственно понятию ДСО относиться не должен. Истинный стеноз, развившийся в результате воспаления и фиброзных изменений, является анатомическим, а не функциональным моторным поражением. С таким же успехом мы могли бы объединить в одну группу заболеваний, например диффузный продольный спазм пищевода и его пептическую стриктуру.

Билиарная ДСО 

Чаще всего данная патология выявляется у людей перенесших холецистэктомию, но с сохраняющимся типичным приступами билиарной боли. Одной из гипотез развития, а точнее проявления этого патологического состояния именно после холецистэктомии является потеря резервуарной функции (позволявшей компенсировать повышения давления в желчных протоках) выполнявшейся желчным пузырем [8]. Так же существует мнение о роли пересечения нервных волокон идущих от желчного пузыря к сфинктеру по пузырному протоку [7]. Вопрос о существовании клинически самостоятельной ДСО до операции является дискутабельным. ДСО встречается у 1-2 % пациентов после холецистэктомии [8]. Типичный пациент с данной патологией это женщина 40-60 лет с перенесенной в последние 5 лет холецистэктомией. Выделяют 3 группы билиарной ДСО, каждая из которых обладает определенными клинико-лабораторными критериями [5].

  • Первый тип: боль билиарного характера, изменение печеночных функциональных тестов (не менее чем в два раза), расширение общего желчного протока более 12 мм, замедление опорожнения контраста более 45 минут.
  • Второй тип: боль билиарного характера и 1-2 из следующих признаков - изменение печеночных функциональных тестов (не менее чем в два раза), расширение общего желчного протока более 12 мм, замедление опорожнения контраста более 45 минут.
  • Третий тип: только типичный приступ желчных болей.

Следует отметить, что в клинической практике преобладают пациенты 3-й группы.

Панкреатическая ДСО 

Клинически может проявляться рецидивирующим хроническим панкреатитом. Для этой формы ДСО так же выделены 3 ее типа [11].

  • Первый тип: боль панкреатического характера, амилаза или липаза в 1,5-2 раза превышает норму, расширение панкреатического протока более 6 мм в головке и 5 мм в теле поджелудочной железы.
  • Второй тип: боль панкреатического характера и 1 из следующих признаков - амилаза или липаза в 1,5-2 раза превышает норму, расширение панкреатического протока более 6 мм в головке и 5 мм в теле поджелудочной железы.
  • Третий тип: только типичный приступ панкреатических болей.

Диагностика 

Считается, что "золотым стандартом" диагностики ДСО является манометрия сфинктера Одди [13]. Выполняется манометрия во время РХПГ с помощью специального баллона. Определяется базовый тонус сфинктера и его фазовые сокращения. Патологическим считается давление выше 40 мм водного столба. К другим патологическим признакам относят повышенную частоту волновых сокращений, увеличения числа ретроградных перистальтических волн [12]. Отсутствие снижения давления сфинктера при введении гладкомышечных релаксантов (нитраты, блокаторы кальцевых каналов) так же имеет диагностическое значение. Однако повышенное давление в сфинктере Одди выявляется при билиарной форме в 86 % случаев в 1й группе, примерно в 55 % случаев во второй группе и у 28 % больных третьей группы (билиарный тип) и при панкреатической форме ДСО в 92 %, 58 %, 35 % больных соответственно [4]. Таким образом приходиться признать, что хотя бы у части больных с характерной клиникой постоянного гипертонуса сфинктера не наблюдается. К сожалению метод манометрии в нашей стране малодоступен, дорог и кроме того, ее выполнение связанно с определенным риском развития панкреатита. Что мы можем использовать в реальной клинической практике?

УЗИ. Выполнение УЗИ после назначения пациенту завтрака с высоким содержанием жира (что стимулирует выделение желчи) у пациентов с ДСО приводит к дилатации холедоха в результате повышения в нем давления из-за нарушения оттока. Диагностическим считается увеличение диаметра более чем на 2 мм при измерении его через 45 минут после завтрака. Метод легко доступен практически в любом лечебном учреждении. Его специфичность достигает 97 %, однако чувствительность только 21 % (сравнение проводилось с манометрией) [10]. Кстати, вместо завтрака можно использовать стимуляцию холецистокинином, а для исследования панкреатического протока серетином.

Определенную ценность имеет тест Нарди (Nardi). Он заключается во введении веществ вызывающих спазм сфинктера Одди, например, морфина. Результат считается положительным при воспроизведении характерного болевого синдрома и (или) повышения концентрации ACT, щелочной фосфотазы или ГГТ в крови. Однако этот тест весьма не специфичен [1].

Существуют сообщения об успешном использовании синцитографии для диагностики ДСО. Однако методика достаточно сложна, да и специфичность с чувствительностью составляют 78 % и 49 % соответственно [10].

В нашей практике мы в основном используем УЗИ. Кроме того, при выполнении таким больным РХПГ и выявленной стриктуре терминального отдела холедоха или просто замедлении опорожнения желчных путей пациенту даются нитраты. Начало (или ускорение) их опорожнения после введения нитратов по нашему мнению с определенной степенью уверенности позволяет говорить о наличии у больного ДСО. Этот тест в определенной степени помогает дифференцировать анатомические и функциональные изменения сфинктера. В ряде случаев, казалось бы, явные стриктуры терминального отдела холедоха полностью исчезали поле применения нитратов, рубцовые сужения на введение препаратов не реагировали. На рисунках показана типичная для пациентов ДСО картина РХПГ (сужение в терминальном отделе общего желчного протока).

Выявленный на РХПГ билиарно-панкреатический рефлюкс так же позволяет заподозрит эту патологию, особенно при наличии у пациента клиники идиопатического рецидивирующего панкреатита. Картина рефлюкса представлена на следующем рисунке.

Лечение

Подход к лечению таких больных должен быть дифференцирован т.к. группа пациентов весьма гетерогенна. Основным клиническим проявлением синдрома является боль и именно по ее уменьшению можно судить об успехи лечения. Т.к. у ряда пациентов с ДСО возникновение болевого синдрома связанно с приемом жирной пищи и алкоголя рациональным является назначение диеты сходной с таковой при ЖКБ. Медикаментозное лечение заключается в назначении нитратов и блокаторов кальцевых каналов. Например нифидепин доказал свою эффективность в исследовании с плацебо контролем [6]. Нитраты снижают тонус сфинктера Одди у людей и животных [2], однако контролируемые исследования эффективности этой группы препаратов при ДСО мне не встречались. В последнее время мы пытаемся шире применять спазмолитики избирательно действующие на сфинктер Одди - дицетел и дюспаталин в стандартных дозировках. Они решены не желательных кардиоваскулярных эффектов присущих первым двум препаратам, однако сведений о степени их эффективности при ДСО недостаточно. По личному опыту препараты приводят к облегчению симптомов "билиарной" и "панкреатической" боли у ряда пациентов с дискинетической формой ДСО. Положительный эффект этих препаратов возможно связан и с их действием и на гладкую мускулатуру кишечника, учитывая, что сочетание ДСО с другими дисмоторными расстройствами функционального характера весьма вероятно [13]. Кроме того, положительный клинический эффект иногда дает назначение лиолитической терапии препаратами урсодезоксихолевой кислоты в дозировке 10 мг/кг массы тела в день на 3-6 месяцев. Одним из возможных объяснений положительного результата применения данного препарата является растворение микролитов, не выявляемых при УЗИ.

Эндоскопическая сфинктеротомия (ПСТ). Это весьма эффективное вмешательство значительно облегчающее жизнь больных при условии правильного отбора пациентов. Она абсолютно показана больным 1й группы и пациентам 2-3 групп, при условии повышенного базального давления сфинктера Одди. Такой вывод был сделан на основании исследования эффективности ПСТ у больных разных групп. Так у пациентов 1-й группы положительный эффект от сфинктеротомии наблюдается в подавляющем большинстве случаев и, что интересно, наблюдался даже у пациентов этой группы с нормальным базальным давлением в сфинктере [9]. У больных 2-й группы и с повышенным базальным давлением в сфинктере Одди ПСТ приводила к положительному клиническому результату в примерно 90 % наблюдений, при отсутствии этого критерия вмешательство было малоэффективно [3]. Geenen J.T. et al., рандомизировал пациентов с повышенным и нормальным давлением в сфинктере на ПСТ и "ложную" ПСТ. Процент пациентов с улучшением после настоящей и ложной ПСТ в группе с нормальным давлением существенно не различались (42 % и 33 % соответственно), тогда как у больных с давлением выше 40 мм водного столба сфинктеротомия приводила к гораздо более высокому проценту клинического улучшения, чем ее имитация (91 % и 25 % соответственно) [3]. У пациентов 3-й группы наблюдается наименьшая результативность ПСТ, даже при условии повышенного давления в сфинктере [13]. Т.к. мы в своей работе возможности измерения давления решены, то во 2-й группах мы выполняем ПСТ при выявлении на РХПГ стриктур или замедлении опорожнения холедоха, а так же пациентам этой группы с неэффективной медикаментозной терапией и выраженным болевым синдромом. Больным 3-й группы ПСТ мы стараемся не выполнять (учитывая, что в этой группе процент случаев повышенного базального давления в сфинктере Одди мал и, следовательно, лишь небольшая часть пациентов выиграет от выполнения ПСТ, кроме того, у них более высок риск развития панкреатита и меньшая эффективность ПСТ). Что касается панкреатической формы ДСО, то ПСТ мы выполняем только в случае выявления билиарно-панкреатического рефлюкса.

Хирургическую сфинктеротомию, сфинктеропласику и иссечение сфинктера, описанные в качестве лечения ДСО мы в своей практике не применяли. В любом случае, только манометрические данные, точно верифицирующие ДСО и неэффективность всех вышеописанных методов могут оправдывать такие высоко инвазивные вмешательства.

Введение ботулинового токсина в сфинктер может быть результативным у ряда пациентов [14]. Однако вопрос степени и продолжительности положительного эффекта остается пока открытым.

Заключение

Конечно, проблема ДСО весьма сложна и далека от своего решения. Необходимо разработать неинвазивные, простые, дешевые и достоверные методы диагностики, эффективное медикаментозное лечение. Здесь были изложены как общемировые подходы к диагностике и лечению данной патологии, так и наши собственные мысли по решению данной проблемы (о правильности последних судить Вам).


Открыт общий доступ к полному тексту статьи свернуть

Список литературы:

  1. МакНелли П.Р. Секреты гастроэнтерологии. Москва. "Издательство БИНОМ". 1999. С. 359.
  2. Brandstatter G, Schinzel S, Wurzer H. Influence of spasmolytic analgesics on motility of sphincter of Oddi. Dig Dis Sci 1996;41:1814-8.
  3. Geenen JT, Hogan J, Dodds WJ, et al. The efficacy of endoscopic sphincterotomy in post-cholecystectomy patients with sphincter of Oddi dysfunction: Results of a four year prospective study. N Engl J Med 1989 320 82-87.
  4. Hogan WJ. Clinical manifestations and diagnosis of sphincter of Oddi dysfunction. UpToDate.com, 1999.
  5. Hogan WJ, Geenen JE. Biliary dyskinesia. Endoscopy 1988;20(Suppl.1):179-83.
  6. Khuroo MS, Zargar SA, Yattoo GN. Efficacy of nifedipine therapy in patients with sphincter of Oddi dysfunction: a prospective, double-blind, randomized, placebo-controlled, cross-over trial. Br J Clin Pharmacol 1992;33:477-85.
  7. Luman W, Williams AJ, Pryde A, et al. Influence of cholecystectomy on sphincter of Oddimotility. Gut 1997;41:371-4.
  8. Prajapati N.D., Hogan W.J. Sphincter of Oddi dysfunction and other functional biliary disorders: evaluation and treatment. Gastroenterol Clin N Am 32 (2003) 601-618.
  9. Rolny P, Geenen JE, Hogan WJ. Post-cholecystectomy patients with 'objective signs' of partial bile outflow obstruction: clinical characteristics, sphincter of Oddi manometry findings, and results of therapy. Gastrointest Endosc 1993;39:778- 81.
  10. Rosenblatt ML, Catalano MF, Alcocer E, et al. Comparison of sphincter of Oddi manometry, fatty meal sonography, and hepatobiliary scintigraphy in the diagnosis of sphincter of Oddi dysfunction. Gastrointest Endosc 2001;54:697-704.
  11. Sherman S, Troiano FP, Hawes RH, et al. Frequency of abnormal sphincter of Oddi manometry compared with the clinical suspicion of sphincter of Oddi dysfunction. Am J Gastroenterol 1991;86:586-90.
  12. Toouli J, Roberts-Thomson IC, Dent J, et al. Manometric disorders in patients with suspected sphincter of Oddi dysfunction. Gastroenterology 1985;88:1243-50.
  13. Varadarajulu S., Hawes R. Key issues in sphincter of Oddi dysfunction Gastrointest Endoscopy Clin N Am 13 (2003) 671- 694.
  14. Wehrmann T, Seifert H, Seipp M, et al. Endoscopic injection of botulinum toxin for biliary sphincter of Oddi dysfunction. Endoscopy 1998;30:702-7.
30.09.17 © Дмитриенко ..
Оцените материал: Рейтинг: 5.5

Комментарии

Написать

Болезнь (синдром) Байлера

прогрессирующий внутрипеченочный семейный холестаз, обусловленный патологией гена на хромосоме XVIII, характеризуется фатальным течением с ранним формированием билиарного цирроза печени и летальным исходом

При эндоскопическом исследовании в случае бронхоэктазов в стадии ремиссии выявляется

частично диффузный бронхит I степени воспаления

Работаем и учимся при поддержке

Партнеры