Просмотренные публикации

QR-код этой страницы

Для продолжения изучения на мобильном устройстве ПРОСКАНИРУЙТЕ QR-код с помощью спец. программы или фотокамеры мобильного устройства

Случайный выбор

данная функция, случайным образом выбирает информацию для Вашего изучения,
запустите выбор нажав кнопку ниже

Обратная связь
Напишите нам

Поделитесь своими идеями по улучшению нашей работы.
Прикрепить файл или скриншот удалить
Закрытая часть портала предназначена для только для работников здравоохранения. Оставив свой e-mail и специалищацию, Вы подтверждаете, что являетесь работником здравоохранения и что Вы ознакомились с текстом и поняли его.


Сообщение об ошибке
Что улучшить?

Поделитесь своими идеями по улучшению нашей работы.
Прикрепить файл или скриншот удалить
Закрытая часть портала предназначена для только для работников здравоохранения. Оставив свой e-mail и специалищацию, Вы подтверждаете, что являетесь работником здравоохранения и что Вы ознакомились с текстом и поняли его.


Главная Статьи АСПИРАЦИЯ ТАБЛЕТКИ

Статьи: АСПИРАЦИЯ ТАБЛЕТКИ

1 / 168
Оцените материал:

Полный текст статьи:

Аспирация инородного тела (ИТ) зачастую влечет за собой гипоксию, кашель и одышку, при этом нередко она не рассматривается как причина этих явлений, если пациент не рассказал о самом факте аспирации. Между тем попадание в трахею и бронхи таблеток, особенно содержащих железо или хлорид кальция, может вызвать сильное воспаление дыхательных путей.

Авторами описан случай[1] обнаружения таблетки в бронхиальном дереве у пациентки 70 лет с хроническим кашлем и одышкой.

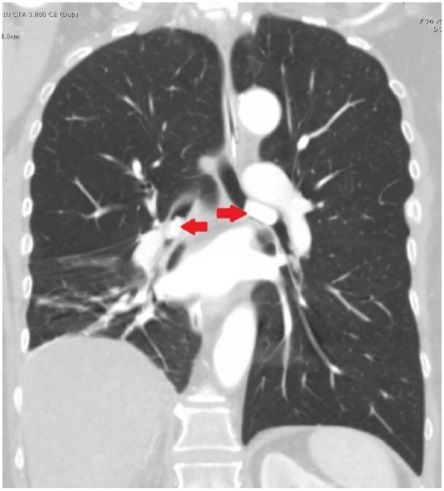
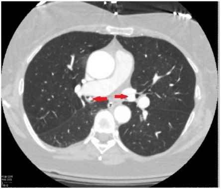
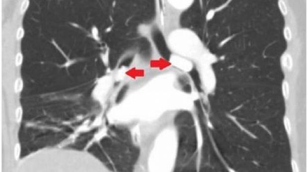
Пациентка обратилась с жалобами на прогрессирующую одышку и кашель в течение месяца. Рентгенография органов грудной клетки показала изменения в правом легком с небольшим количеством жидкости в правой плевральной полости. Но при компьютерной томографии грудной клетки инфильтрации или других изменений легочной ткани не обнаружено. Пациентке назначена эмпирическая антибактериальная терапия. При исследовании мокроты выявлен рост непатогенной флоры. Состояние пациентки продолжало ухудшаться, что потребовало интубации трахеи и искусственной вентиляции легких. При повторной КТ грудной клетки выявлены гиперденсные образования в просвете левого главного (размер 2,2 см) и промежуточного бронхов (размер 1,5 см), обтурирующие их (рис. 1, 2).

image001.jpg

Рисунок 1 [1].

image002.jpg

Рисунок 2 [1].

При фибробронхоскопии обнаружены фрагменты таблетки в левом главном и в правом промежуточном бронхах, эти фрагменты были удалены с применением криотерапии (рис. 3).

image004.jpg

Рисунок 3 [1].

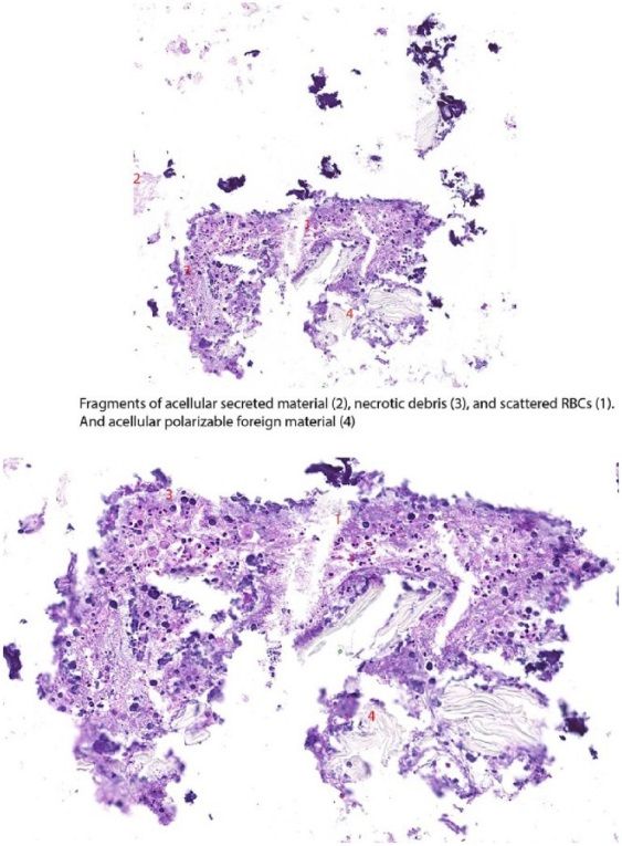
Патоморфологическое исследование тканей бронхов выявило фрагменты ИТ (рис. 4).

image005.jpg

Рисунок 4 [1].

После удаления инородного тела состояние пациентки улучшилось, она стала дышать самостоятельно, была экстубирована и выписана через несколько дней. Она вспомнила, что первый эпизод кашля возник при глотании таблетки кальция для лечения остеопороза.



[1] Poudel P., Chu A., Mirchia K., Paul M. A Patient with a chronic cough: an unexpected case of calcium pill aspiration. J Investig Med High Impact Case Rep. 2019. Jan Dec; 7. DOI: 10.1177/2324709619828771.

Открыт общий доступ к полному тексту статьи свернуть
26.11.25 ©
Оцените материал: Рейтинг: 7

Комментарии

Написать

При эндоскопическом исследовании в случае бронхоэктазов в стадии ремиссии выявляется

частично диффузный бронхит I степени воспаления

Популярное

Работаем и учимся при поддержке

Партнеры