Просмотренные публикации

QR-код этой страницы

Для продолжения изучения на мобильном устройстве ПРОСКАНИРУЙТЕ QR-код с помощью спец. программы или фотокамеры мобильного устройства

Случайный выбор

данная функция, случайным образом выбирает информацию для Вашего изучения,
запустите выбор нажав кнопку ниже

Обратная связь
Напишите нам

Поделитесь своими идеями по улучшению нашей работы.
Прикрепить файл или скриншот удалить
Закрытая часть портала предназначена для только для работников здравоохранения. Оставив свой e-mail и специалищацию, Вы подтверждаете, что являетесь работником здравоохранения и что Вы ознакомились с текстом и поняли его.


Сообщение об ошибке
Что улучшить?

Поделитесь своими идеями по улучшению нашей работы.
Прикрепить файл или скриншот удалить
Закрытая часть портала предназначена для только для работников здравоохранения. Оставив свой e-mail и специалищацию, Вы подтверждаете, что являетесь работником здравоохранения и что Вы ознакомились с текстом и поняли его.


Главная Статьи ПОВРЕЖДЕНИЕ СЕЛЕЗЕНКИ КАК ОСЛОЖНЕНИЕ ПОСЛЕ КОЛОНОСКОПИИ

Статьи: ПОВРЕЖДЕНИЕ СЕЛЕЗЕНКИ КАК ОСЛОЖНЕНИЕ ПОСЛЕ КОЛОНОСКОПИИ

1 / 168
Оцените материал:

Полный текст статьи:

Скрининговая колоноскопия — это стандартная процедура, которая проводится как в стационаре, так и в специализированных амбулаторных отделениях. Частота серьезных осложнений невысока и составляет не более 3 случаев на 1000 обследований. Наиболее частые осложнения после процедуры — перфорация и кровотечение. Повреждение селезенки — редкое осложнение с неизвестной частотой возникновения.

Повреждение селезенки после колоноскопии впервые было зарегистрировано и описано в 1974 году. Это жизнеугрожающее состояние, чаще всего требующее оперативного вмешательства — спленэктомии.

Американские врачи сообщают[1] о травме селезенки у здоровой 59-летней женщины в результате скрининговой колоноскопии после стандартной подготовки в условиях седации.

Ранее женщина перенесла несколько операций — холецистэктомию, два кесаревых сечения и гистерэктомию. В ходе колоноскопии патологий не было обнаружено, процедура прошла без особенностей. Приблизительно через 3 часа после исследования у пациентки появились острые боли в левом подреберье с иррадиацией в левое плечо. Боли в течение дня усиливались, возникло головокружение, общее состояние было предобморочным, что потребовало ее госпитализации.

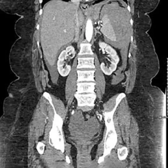
При поступлении в стационар у пациентки отмечена гипотония — АД 73/38 мм рт. ст., ЧСС 75 ударов в минуту, уровень гемоглобина составлял 101 г/л. При РКТ органов брюшной полости выявлена гематома в области селезенки размером до 4 см (рис. 1). Поскольку экстравазация отсутствовала, было принято решение о консервативной терапии. В ходе лечения отмечалось снижение уровня гемоглобина до 73 г/л, что потребовало гемотрансфузии. Через 7 суток пациентка была выписана из стационара.

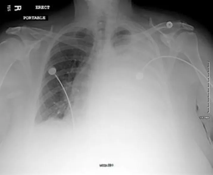
Еще через месяц женщина снова была госпитализирована с жалобами на одышку и боли в грудной клетке слева. Симптомы возникли через 2 недели после выписки из стационара. При рентгенографии (рис. 2) и РКТ органов грудной клетки обнаружен гидроторакс слева с явлениями ателектаза левого легкого. При повторной РКТ органов грудной брюшной полости отмечено увеличение периспленической гематомы до 8 × 8 × 6 см. С целью разрешения гидроторакса и ателектаза выполнено дренирование плевральной полости. В общей сложности удалено 1,35 л серозной жидкости соломенного цвета. По анализу выпота — экссудат. Через 4 суток пациентка была выписана, в течение 1 года наблюдения ее состояние не ухудшилось.

В заключение авторы указывают на возможность возникновения этого осложнения и анализируют его причины. Предполагаемые факторы — спленомегалия, предшествующие хирургические вмешательства, опухоли, дивертикулит, заболевания артерий. Потенциальным механизмом повреждения может стать тракция связочного аппарата селезенки, разрывы спаек в проекции селезенки или непосредственно травма.

image001.jpg
Рисунок 1 [1].

image003.jpg
Рисунок 2 [1].



[1] Suliman I., Guirguis J., Chyshkevych I., Dabage N.F. Splenic Injury with subsequent pleural effusion: an underreported complication of colonoscopy. Case Rep Gastroenterol. 2019. Jan 10; 13 (1): 6–11. DOI: 10.1159/000494917. eCollection 2019 Jan-Apr.




Открыт общий доступ к полному тексту статьи свернуть
24.10.19 ©
Оцените материал: Рейтинг: 8

Комментарии

Написать

Эластография при эндосонографии (ЭУС или эндоУЗИ)

Эластография (эластосонография) – метод виртуальной пальпации (технология улучшенной визуализации при ЭУС диагностике), позволяющий дифференцировать злокачественные и доброкачественные поражения лимфоузлов. Основана на принципе, что более мягкие ткани при сжатии легче деформируются, это позволяет объективно оценить консистенцию ткани, показать различия в плотности между нормальными и патологически измененными тканями.

При эндоскопическом исследовании в случае бронхоэктазов в стадии ремиссии выявляется

частично диффузный бронхит I степени воспаления

Популярное

Работаем и учимся при поддержке

Партнеры