Просмотренные публикации

QR-код этой страницы

Для продолжения изучения на мобильном устройстве ПРОСКАНИРУЙТЕ QR-код с помощью спец. программы или фотокамеры мобильного устройства

Случайный выбор

данная функция, случайным образом выбирает информацию для Вашего изучения,
запустите выбор нажав кнопку ниже

Обратная связь
Напишите нам

Поделитесь своими идеями по улучшению нашей работы.
Прикрепить файл или скриншот удалить
Закрытая часть портала предназначена для только для работников здравоохранения. Оставив свой e-mail и специалищацию, Вы подтверждаете, что являетесь работником здравоохранения и что Вы ознакомились с текстом и поняли его.


Сообщение об ошибке
Что улучшить?

Поделитесь своими идеями по улучшению нашей работы.
Прикрепить файл или скриншот удалить
Закрытая часть портала предназначена для только для работников здравоохранения. Оставив свой e-mail и специалищацию, Вы подтверждаете, что являетесь работником здравоохранения и что Вы ознакомились с текстом и поняли его.


Главная Публикации из социальных сетей Клиническое наблюдение: Аденокарцинома Барретта

Публикации из социальных сетей: Клиническое наблюдение: Аденокарцинома Барретта

3 мин
Авторы: Ольга Букач 2019г.
1 / 168
Оцените материал:

Полный текст статьи:

Пациент, 40 лет, жалоб на изжогу, отрыжку, загрудинные боли, боли в эпигастрии не предъявляет. Обратился по поводу болей в подреберье и для исключения "гепатита", выполнены УЗИ органов брюшной полости, затем КТ ОБП и лёгких, где обнаружены множественные метастазы в печень и лёгкие.
И только после этого пациент попадает на ЭГДС.
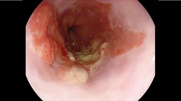
Исследование выполняется впервые... процессор Pentax 7010i: 
На фоне цилиндроклеточной метаплазии с циркулярным сегментов протяжённостью приблизительно 1 см( С1) и зубцами, максимальная длина которых приблизительно 2 см (М2) визуализируется площадка с чёткими границами ткани со стёртым паттерном, переходящая в изъязвление. Suspicio инфильтративно-язвенный c-r на фоне цилиндроклеточной метаплазии(С1М2).
Возможно, картинки не идеальные, но случай, мне кажется, заслуживает внимания.
Вопрос возраста и необходимости выполнения 1 ЭГДС остаётся открытым.

 
   

Открыт общий доступ к полному тексту статьи свернуть
Видео
28.11.25 © Дмитриенко ..
Оцените материал: Рейтинг: 0

Комментарии

Написать

При эндоскопическом исследовании в случае бронхоэктазов в стадии ремиссии выявляется

частично диффузный бронхит I степени воспаления

Работаем и учимся при поддержке

Партнеры