Просмотренные публикации

QR-код этой страницы

Для продолжения изучения на мобильном устройстве ПРОСКАНИРУЙТЕ QR-код с помощью спец. программы или фотокамеры мобильного устройства

Случайный выбор

данная функция, случайным образом выбирает информацию для Вашего изучения,
запустите выбор нажав кнопку ниже

Обратная связь
Напишите нам

Поделитесь своими идеями по улучшению нашей работы.
Прикрепить файл или скриншот удалить
Закрытая часть портала предназначена для только для работников здравоохранения. Оставив свой e-mail и специалищацию, Вы подтверждаете, что являетесь работником здравоохранения и что Вы ознакомились с текстом и поняли его.


Сообщение об ошибке
Что улучшить?

Поделитесь своими идеями по улучшению нашей работы.
Прикрепить файл или скриншот удалить
Закрытая часть портала предназначена для только для работников здравоохранения. Оставив свой e-mail и специалищацию, Вы подтверждаете, что являетесь работником здравоохранения и что Вы ознакомились с текстом и поняли его.


Главная Публикации из социальных сетей Клинический случай Пластический линит Linitis Plastica FB

Публикации из социальных сетей: Клинический случай Пластический линит Linitis Plastica FB

Авторы: Канат Батырбеков
1 / 168
Оцените материал:

Полный текст статьи:

Linitis Plastica - это диффузный тип рака желудка, который характеризуется утолщением и ригидностью стенки желудка. Он печально известен своей неспособностью вызывать ранние симптомы, и диагностируется, как правило на поздних стадиях. Впервые описан в 1859 г. доктором У. Бринтоном как доброкачественное заболевание. В 1953 г. доктор Артур Стаут прояснил этот вопрос, предложив linitis plastica как специфический тип рака желудка, характеризующийся избыточным образованием волокнистой рубцовой ткани, с рассеянными раковыми клетками. 

Linitis plastica обозначает диффузный тип карциномы, на долю которого приходится 8-17%(Yifan Luo, et all, 2016) аденокарцином желудка и характеризуется ригидностью большей части или всего желудка при отсутствии дефекта наполнения или обширных язв. Из-за богатого лимфатического снабжения рак быстро распространяется за пределы хирургической резекции.

Особенности течения:
*Не связан с Хеликобактер пилори,
*Не связан с хроническим гастритом,
*Чаще выявляется у представителей азиатской расы,
*Чаще болеют женщины, чем мужчины,
*Чаще выявляется в возрасте старше 50 лет,
*Быстро дает перитонеальную и лимфатическую диссеминацию,
*Диагностируется в поздних стадиях ,
*Частые рецидивы после хирургического лечения.
Эндоскопическая диагностика:
*Эндоскопически негативная фаза-нет изменений эндоскопической картины.
*Эндоскопически позитивная фаза- утолщение складок, сглаженность складок, ригидность стенок, ослабление или отсутствие перистальтики.
*EUS -утолщение 2,3 и 4 эхослоя стенки желудка , особенно утолщение 4-го эхослоя в области крупных желудочных складок.
Эндоскопическая щипковая биопсия- зачастую неэффективна и неуспешна, так как идет выраженный фиброз стенки желудка , в толще которого располагаются атипические клетки.
EUS с FNA –чувствительность ниже 30 %, так как клетки располагаются в толще фиброза как в цепочку, так и в одиночку.
Расширенная биопсия( петлевая резекция) и взятие биопсии со дна резецированного участка( J.Rohl, 2013) Гистологически злокачественные клетки в основном слабо распределены в фиброзной строме. Часто слизистая оболочка желудка избавлена от злокачественной инвазии, и скиррозная карцинома затрагивает исключительно подслизистую оболочку. Поэтому стандартные эндоскопические биоптаты, которые обычно содержат только слизистую оболочку, часто не могут обосновать подозрение на ЛП. Для улучшения точности диагностики рекомендуется использовать диатермическую петлю, которая позволяет получать более крупные и глубокие гистологические образцы или сонографическую игольчатую биопсию.

Дифференциальная диагностика:
Болезнь Менетрие
Гипертрофический гастрит
Лимфома желудка
Гранулематозное поражение желудка (саркоидоз)
Амилоидоз
Метастатическое поражение желудка при раке молочной железы
Лечение:
Оперативное лечение- гастрэктомия
Химиотерапия

Прогноз :Желудочный ЛП имеет очень плохой прогноз из-за частого возникновения перитонеальной диссеминации, лимфатической инвазии и распространения на соседние органы. 5-летняя выживаемость составляет около 10-20% в Японии и Европе.
Средняя продолжительность до 6 месяцев без резекции и 14 месяцев с резекцией органа.
Clinical case;

Для экспертной диагностики к нам на гастроскопию направлен пациент( молодая женщина ,33 года) . При предыдущей первичной гастроскопии диагностирован эрозивный гастрит и морфология дала эрозивный эзофагит, при повторной гастроскопии через некоторое время диагностирована язва антрального отдела с малигнизацией- морфология дала язвенный дефект. К нам же обратилась уже через месяц после первичной эндоскопии. На КТ брюшной полости- лимфоаденопатия парагастральных, в области ворот печени , мезентериальных и выпот в малом тазу.

При гастроскопии субтотальное поражение желудка от в/3 до антрума со значительным сужением просвета на уровне антрума, ямочный рисунок местами отсутствует, местами сглажен, имеются изъязвления, слизистая при пальпации эластичная, перистальтика отсутствует, кровоточивость повышена.
Взята ступенчатая и политопная биопсия щипцами типа "Аллигатор", также проведена биопсия по J.Rohl(2013.
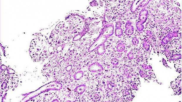
Морфология-субэпителиально, местами на разной глубине гистологических срезов, определяются разрастание опухолевой ткани в виде отдельных фокусов, цепочек, иногда изолированно расположенных клеток(местами в виде россыпи). Клетки с выраженным полиморфизмом:разного размера,с довольно крупными гиперхромными ядрами,с обилием патологических митозов в ядрах, часть клеток со смещенным к периферии ядром(перстни), цитоплазма их вакуолизирована, в части выглядит оптически пустой. Заключение-перстневидно-клеточный рак с изъязвлением.

Наш 5-й пациент с успешной биопсией и морфологически подтвержденным диагнозом Перстневидно-клеточного рака. Все 5 пациентов женщины, из них 4 в возрасте 30-33 лет, 2 пациента старше 50 лет, по национальному признаку-4 казашки и 1 русская.

Гастроскоп -Olympus HQ190
Водоструйная помпа-Endostars Endomate pump

Открыт общий доступ к полному тексту статьи свернуть
27.05.21 ©
Оцените материал: Рейтинг: 6.5

Комментарии

Написать

При эндоскопическом исследовании в случае бронхоэктазов в стадии ремиссии выявляется

частично диффузный бронхит I степени воспаления

Работаем и учимся при поддержке

Партнеры