Просмотренные публикации

QR-код этой страницы

Для продолжения изучения на мобильном устройстве ПРОСКАНИРУЙТЕ QR-код с помощью спец. программы или фотокамеры мобильного устройства

Случайный выбор

данная функция, случайным образом выбирает информацию для Вашего изучения,
запустите выбор нажав кнопку ниже

Обратная связь
Напишите нам

Поделитесь своими идеями по улучшению нашей работы.
Прикрепить файл или скриншот удалить
Закрытая часть портала предназначена для только для работников здравоохранения. Оставив свой e-mail и специалищацию, Вы подтверждаете, что являетесь работником здравоохранения и что Вы ознакомились с текстом и поняли его.


Сообщение об ошибке
Что улучшить?

Поделитесь своими идеями по улучшению нашей работы.
Прикрепить файл или скриншот удалить
Закрытая часть портала предназначена для только для работников здравоохранения. Оставив свой e-mail и специалищацию, Вы подтверждаете, что являетесь работником здравоохранения и что Вы ознакомились с текстом и поняли его.


Главная Публикации из социальных сетей Фиброваскулярный полип пищевода.

Публикации из социальных сетей: Фиброваскулярный полип пищевода.

Авторы: Andrzej Supron 2016г.
1 / 168
Оцените материал:

Полный текст статьи:


Пациент 60 лет. Кроме артериальной гипертензии без сопутствующей патологии. Амбулаторная ЭГДС, повод-нарастающая дисфагия( твердая пища) от 2 месяцев. Пациент плохо переносит исследование, гиперактивный рвотный рефлекс,

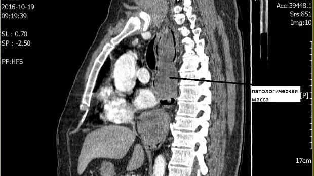
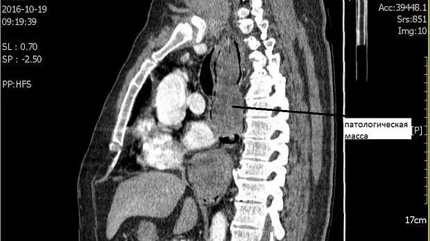
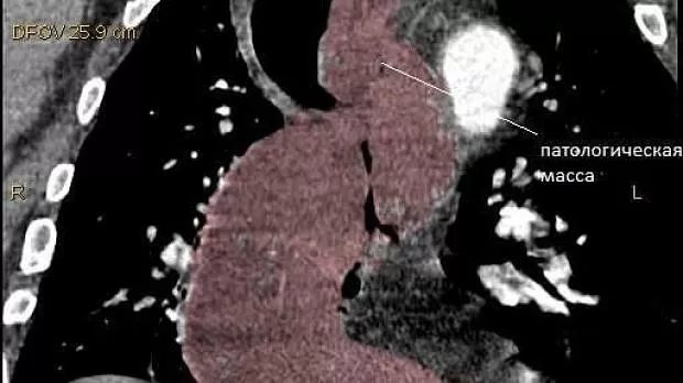
При исследовании- сразу под верхним пищеводным сфинктером начинается гладкое экзофитное (такое впечатление что многокамерное-гроздь сарделек) образование занимающее большую часть просвета значительно расширенного пищевода , тянущееся до кардии и пролабирующее через нее в просвет желудка. Покрыто (визуально) многослойным плоским эпителием- в нижней части с воспалением. Биопсии не брал. Сразу по телефону договорился госпитализировать через пару дней к себе в отделение( дело было в чужой больнице, работал на выезде).

Дословного описания КТ под рукой сейчас нет основной смысл такой: патологическое образование в просвете пищевода длиной до 30 см и толщиной в своей самой толстой части до 6 см. Исходит похоже из задней стенки пищевода т.к. на большем протяжении остальной части образования можно проследить сепарацию от стенок пищевода. Пищевод сильно растянут. Образование солидное. литое. с некоторой неоднородностью. видны небольшие сосуды. Плотность может соответствовать лейомиоме. За пределы пищевода не выходит.

Гистология мало информативна:  К сожалению не удалось прокусить слизистую. ответ гистологии следующий: Фрагменты эпителия параэпидермального обычного вида. Новотворовой ткани не выявлено.

Есть ответ повторной  биопсии (направлял пациента в гастроэнтерологию, там парентерально "кормили" почти 2 недели, сделали ЭУС, взяли глубоко биопсию- со слов коллеги верхушка образования раскололась как грецкий орех)- грануляционная ткань. Пациента направили к торакальным хирургам в Варшаву.

 Около 3 мес. назад был прооперирован торакальным доступом но нерадикально, вроде осталась часть образования, которую затем не смогли удалить эндоскопически. Сейчас опять в торакальную клинику госпитализирован на 2 этап операции.



По теме:

Открыт общий доступ к полному тексту статьи свернуть
21.09.16 ©
Оцените материал: Рейтинг: 5

Комментарии

Написать

Синдром Аддисона - Бирмера

(злокачественное малокровие, пернициозная анемия, в12-дефицитная анемия) B12 анемия, обусловленная аутоимунными механизмами, сопровождается ахилией, отсутствие пепсина и продукцией антител к париетальным клеткам.Гастроскопия выявляет гнездную, ре­же тотальную атрофию слизистой желудкаХарактерным симптомом является наличие так называемых перламутровых бляшек — блестящих зеркальных участков атрофии слизистой, локализующихся главным обра­зом на складках слизистой желудка.

При эндоскопическом исследовании в случае бронхоэктазов в стадии ремиссии выявляется

частично диффузный бронхит I степени воспаления

Популярное

Работаем и учимся при поддержке

Партнеры