Просмотренные публикации

QR-код этой страницы

Для продолжения изучения на мобильном устройстве ПРОСКАНИРУЙТЕ QR-код с помощью спец. программы или фотокамеры мобильного устройства

Случайный выбор

данная функция, случайным образом выбирает информацию для Вашего изучения,
запустите выбор нажав кнопку ниже

Обратная связь
Напишите нам

Поделитесь своими идеями по улучшению нашей работы.
Прикрепить файл или скриншот удалить
Закрытая часть портала предназначена для только для работников здравоохранения. Оставив свой e-mail и специалищацию, Вы подтверждаете, что являетесь работником здравоохранения и что Вы ознакомились с текстом и поняли его.


Сообщение об ошибке
Что улучшить?

Поделитесь своими идеями по улучшению нашей работы.
Прикрепить файл или скриншот удалить
Закрытая часть портала предназначена для только для работников здравоохранения. Оставив свой e-mail и специалищацию, Вы подтверждаете, что являетесь работником здравоохранения и что Вы ознакомились с текстом и поняли его.


Главная Клинические случаи Стенозирующая опухоль сигмовидной кишки

Клинические случаи: Стенозирующая опухоль сигмовидной кишки

1 / 168
Оцените материал:

Полный текст статьи:

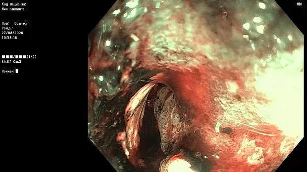
Краткое описание эндоскопической картины.
В проксимальной части сигмовидной кишки имеется асимметричное циркулярное сужение за счет плотной бугристой ткани, с признаками ригидности, структура поверхности и сосуды не визуализируются.
Просвет опухолевого канала 1 см, определенная протяженность — около 10 см. Патогистологическое исследование № 1455-62 от 28.08.2020 г.

Макроскопическое описание: Серовато — коричневых кусочков размером 0,1 — 0,2 см.

Микроскопическое описание: фрагменты представлены соединительнотканной стромой, в которой определяется рост криброзных и железистых структур, сформированных анаплазированным эпителием с крупными гиперхромными ядрами с выраженным полиморфизмом, отмечаются фигуры митозов; местами с поверхности кусочков сохранена выстилка типичным кишечным эпителием

Открыт общий доступ к полному тексту статьи свернуть
Видео
15.09.20 ©
Оцените материал: Рейтинг: 8

Комментарии

Написать

При эндоскопическом исследовании в случае бронхоэктазов в стадии ремиссии выявляется

частично диффузный бронхит I степени воспаления

Популярное





Работаем и учимся при поддержке

Партнеры