Просмотренные публикации

QR-код этой страницы

Для продолжения изучения на мобильном устройстве ПРОСКАНИРУЙТЕ QR-код с помощью спец. программы или фотокамеры мобильного устройства

Случайный выбор

данная функция, случайным образом выбирает информацию для Вашего изучения,
запустите выбор нажав кнопку ниже

Обратная связь
Напишите нам

Поделитесь своими идеями по улучшению нашей работы.
Прикрепить файл или скриншот удалить
Закрытая часть портала предназначена для только для работников здравоохранения. Оставив свой e-mail и специалищацию, Вы подтверждаете, что являетесь работником здравоохранения и что Вы ознакомились с текстом и поняли его.


Сообщение об ошибке
Что улучшить?

Поделитесь своими идеями по улучшению нашей работы.
Прикрепить файл или скриншот удалить
Закрытая часть портала предназначена для только для работников здравоохранения. Оставив свой e-mail и специалищацию, Вы подтверждаете, что являетесь работником здравоохранения и что Вы ознакомились с текстом и поняли его.


Главная Клинические случаи Повторная блокация промежуточного бронха

Клинические случаи: Повторная блокация промежуточного бронха

1 / 168
Оцените материал:

Полный текст статьи:

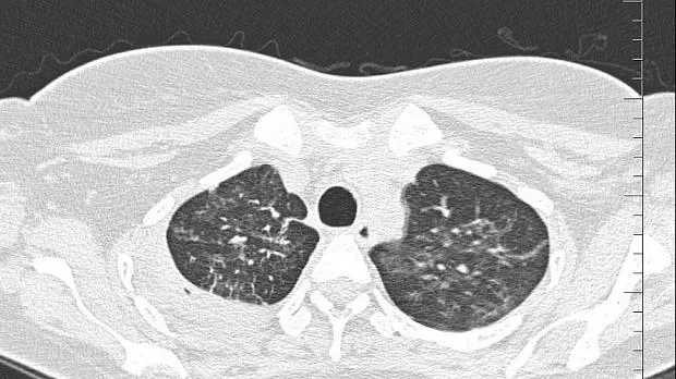
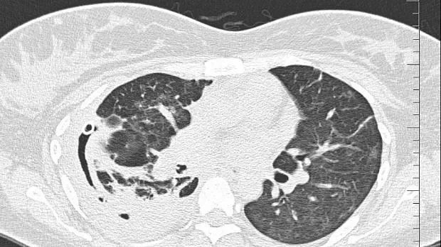
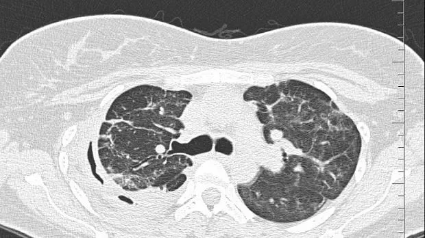
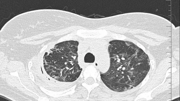
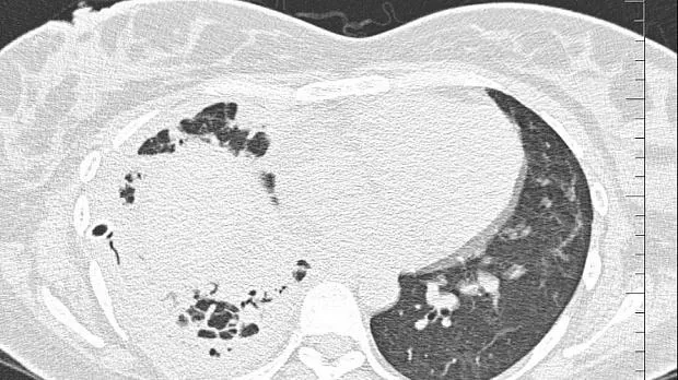
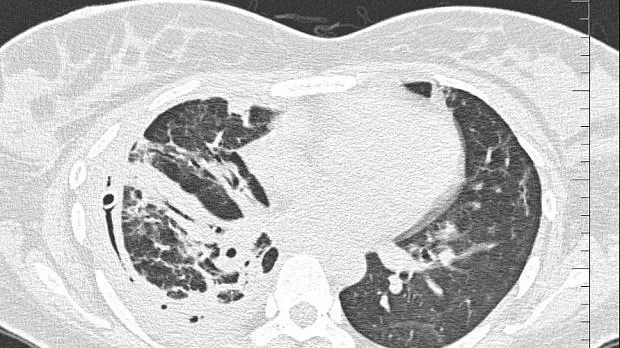
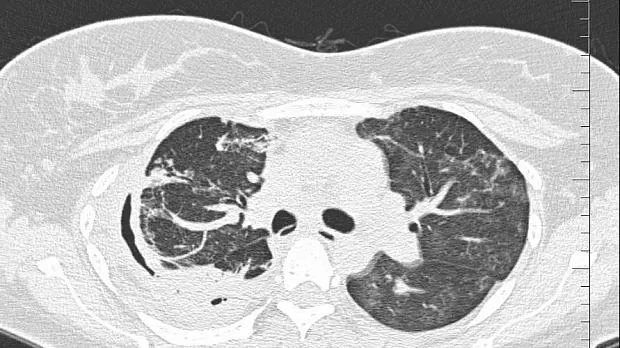
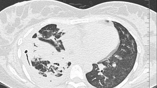
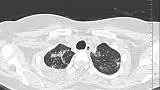
08.06.2020 проведена повторная установка блокатора в промежуточный бронх (блокатор Medlung №13) с хорошим клиническим эффектом (сброс воздуха по плевральному дренажу прекратился через 8 часов после вмешательства). Подтверждено данными Р-КТ органов грудной клетки.


Открыт общий доступ к полному тексту статьи свернуть
Видео
09.08.20 ©
Оцените материал: Рейтинг: 10

Комментарии

Написать

При эндоскопическом исследовании в случае бронхоэктазов в стадии ремиссии выявляется

частично диффузный бронхит I степени воспаления





Работаем и учимся при поддержке

Партнеры