Просмотренные публикации

QR-код этой страницы

Для продолжения изучения на мобильном устройстве ПРОСКАНИРУЙТЕ QR-код с помощью спец. программы или фотокамеры мобильного устройства

Случайный выбор

данная функция, случайным образом выбирает информацию для Вашего изучения,
запустите выбор нажав кнопку ниже

Обратная связь
Напишите нам

Поделитесь своими идеями по улучшению нашей работы.
Прикрепить файл или скриншот удалить
Закрытая часть портала предназначена для только для работников здравоохранения. Оставив свой e-mail и специалищацию, Вы подтверждаете, что являетесь работником здравоохранения и что Вы ознакомились с текстом и поняли его.


Сообщение об ошибке
Что улучшить?

Поделитесь своими идеями по улучшению нашей работы.
Прикрепить файл или скриншот удалить
Закрытая часть портала предназначена для только для работников здравоохранения. Оставив свой e-mail и специалищацию, Вы подтверждаете, что являетесь работником здравоохранения и что Вы ознакомились с текстом и поняли его.


Главная Клинические случаи Клапанная бронхоблокация у пациентки с деструктивной пневмонией

Клинические случаи: Клапанная бронхоблокация у пациентки с деструктивной пневмонией

1 / 168
Оцените материал:

Полный текст статьи:

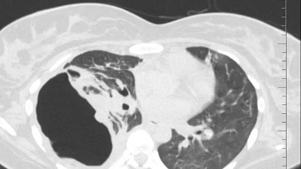
Пациентка переведена к нам в отделение торакальной хирургии из родильного отделения. Будучи беременной на 9 месяце COVID-19 с возникновением двухсторонней вирусно-бактериальной пневмонии с деструкцией в нижней доле правого легкого, эмпиемой плевры и бронхоплевральным свищем. По данным Р-КТ органов грудной клетки: полость деструкции в нижней доле правого легкого. Выполнено дренирование плевральной полости справа. У пациентки – утечка воздуха по дренажу из плевральной полости. 05.06.2020 выполнена клапанная бронхоблокация промежуточного бронха (блокатор Medlung №12) с хорошим клиническим эффектом (сброс воздуха по прекратился через 6 часов после вмешательства). Но, через 2 дня пациентка откашляла блоктор.

Открыт общий доступ к полному тексту статьи свернуть
Видео
09.08.20 ©
Оцените материал: Рейтинг: 8

Комментарии

Написать

Синдром Бурхаве

Спонтанный разрыв пищевода - характеризуется спонтанным разрывом всех слоев стенки пищевода. Первое описание данного состояния дано голландским врачом Германом Бурхаве (Hermann Boerhaave) в 1724 г.

При эндоскопическом исследовании в случае бронхоэктазов в стадии ремиссии выявляется

частично диффузный бронхит I степени воспаления





Работаем и учимся при поддержке

Партнеры