Просмотренные публикации

QR-код этой страницы

Для продолжения изучения на мобильном устройстве ПРОСКАНИРУЙТЕ QR-код с помощью спец. программы или фотокамеры мобильного устройства

Случайный выбор

данная функция, случайным образом выбирает информацию для Вашего изучения,
запустите выбор нажав кнопку ниже

Обратная связь
Напишите нам

Поделитесь своими идеями по улучшению нашей работы.
Прикрепить файл или скриншот удалить
Закрытая часть портала предназначена для только для работников здравоохранения. Оставив свой e-mail и специалищацию, Вы подтверждаете, что являетесь работником здравоохранения и что Вы ознакомились с текстом и поняли его.


Сообщение об ошибке
Что улучшить?

Поделитесь своими идеями по улучшению нашей работы.
Прикрепить файл или скриншот удалить
Закрытая часть портала предназначена для только для работников здравоохранения. Оставив свой e-mail и специалищацию, Вы подтверждаете, что являетесь работником здравоохранения и что Вы ознакомились с текстом и поняли его.


Главная Клинические случаи Де-Нол-ассоциированная гастропатия

Клинические случаи: Де-Нол-ассоциированная гастропатия

1 / 168
Оцените материал:

Полный текст статьи:

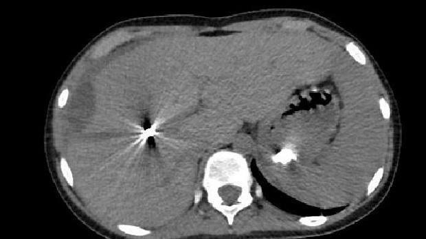
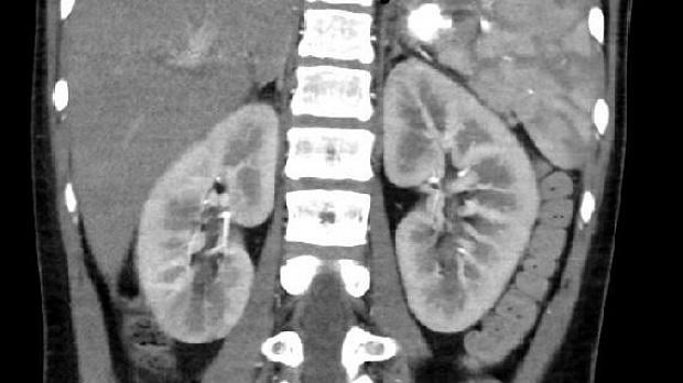
Пациент К. 13 лет с тяжелой травмой печени. В фундальном отделе по задней стенке определяется четко ограниченный участок гиперемированной, отечной, неровной слизистой оболочки с белесоватым налетом. Локализация процесса объясняется тем, что пациент длительное время находился на лечении в отделении ОРИТ (в горизонтальном положении), получал эрадикационную терапию (в том числе Де-Нол) в рамках комплексного лечения. При КТ ОБП в паренхиме правой доли печени - две металлические клипсы (результат эмболизации). А в просвете желудка определяется включение металлической плотности. У врачей возникло подозрение на проглоченное инородное тело, однако это было исключено предшествующей ЭГДС, на которой, кроме локального участка инфильтрации, инородных тел выявлено не было.

Открыт общий доступ к полному тексту статьи свернуть
15.03.21 ©
Оцените материал: Рейтинг: 6.5

Комментарии

Написать

При эндоскопическом исследовании в случае бронхоэктазов в стадии ремиссии выявляется

частично диффузный бронхит I степени воспаления

Популярное





Работаем и учимся при поддержке

Партнеры