Полный текст статьи:
Аспирация инородного тела (ИТ) в дыхательные пути может никак не проявляться, а может вызвать острую и угрожающую жизни ситуацию. В числе последствий аспирации ИТ — полная или частичная обструкция дыхательных путей, дыхательная недостаточность, пневмоторакс и легочное кровотечение. Кроме того, случайная аспирация посторонних предметов при отсутствии симптомов может привести к таким грозным осложнениям, как пневмония, формирование бронхоэктазов или абсцесса легкого.
Группой авторов был описан случай[1] лечения пациента, больного шизофренией, с невосприимчивостью к назначенным ему антипсихотическим препаратам, который аспирировал различные предметы.
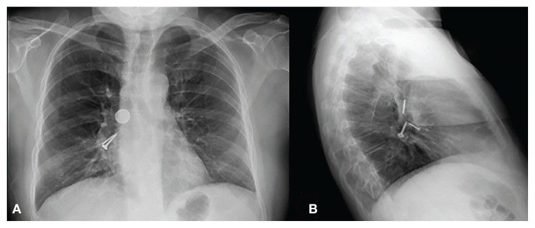
У 55-летнего мужчины в течение месяца были жалобы на кашель, одышку и дисфагию. В связи с ухудшением самочувствия он был доставлен в стационар. При осмотре его состояние было стабильным, а SpO2 — 97%. При аускультации выслушивались двусторонние рассеянные хрипы. В общем анализе крови отмечен лейкоцитоз со сдвигом формулы влево. При рентгенографии органов грудной клетки в проекции правого главного бронха обнаружены три металлических предмета: 1 круглый и 2 плоских — винт и гвоздь (рис. 1).

Рисунок 1 [1].
Пациент утверждал, что не помнит об аспирации. КТ органов грудной клетки подтвердила наличие инородных тел в бронхиальном дереве справа (рис. 2 — А, В) и возможный превертебральный абсцесс, который объяснял дисфагию пациента.

Рисунок 2 [1].
При фибробронхоскопии в условиях местной анестезии выявлено металлическое ИТ — монета, находящаяся в правом главном бронхе, она была извлечена (рис. 3 — А, В).

Рисунок 3 [1].
Также был удален и винт из правого главного бронха, который находился ниже монеты (рис. 4 — А, В).

Рисунок 4 [1].
Третье инородное тело — гвоздь (рис. 5) — визуализировалось максимально дистально в правом главном бронхе и находилось в неудобной для излечения позиции, это потребовало интубации трахеи. После многочисленных попыток ИТ было захвачено и смещено к дистальному краю интубационной трубки. Оказалось, что его невозможно извлечь по просвету трубки — тогда из манжеты трубки был удален воздух, после чего гвоздь был извлечен вместе с трубкой под постоянным визуальным контролем.

Рисунок 5 [1].
После этого выполнена интубация трахеи. При контрольной рентгенограмме органов грудной клетки осложнений не выявлено. После завершения курса антибактериальной терапии пациент был выписан из стационара.
В заключение авторы делают выводы о высокой эффективности применения гибкой бронхоскопии как для диагностики, так и для лечения пациентов с ИТ дыхательных путей, особенно при невозможности использования ригидной бронхоскопии.
Комментарии