Просмотренные публикации

QR-код этой страницы

Для продолжения изучения на мобильном устройстве ПРОСКАНИРУЙТЕ QR-код с помощью спец. программы или фотокамеры мобильного устройства

Случайный выбор

данная функция, случайным образом выбирает информацию для Вашего изучения,
запустите выбор нажав кнопку ниже

Обратная связь
Напишите нам

Поделитесь своими идеями по улучшению нашей работы.
Прикрепить файл или скриншот удалить
Закрытая часть портала предназначена для только для работников здравоохранения. Оставив свой e-mail и специалищацию, Вы подтверждаете, что являетесь работником здравоохранения и что Вы ознакомились с текстом и поняли его.


Сообщение об ошибке
Что улучшить?

Поделитесь своими идеями по улучшению нашей работы.
Прикрепить файл или скриншот удалить
Закрытая часть портала предназначена для только для работников здравоохранения. Оставив свой e-mail и специалищацию, Вы подтверждаете, что являетесь работником здравоохранения и что Вы ознакомились с текстом и поняли его.


Главная Статьи Сидероз пищевода: редкое клиническое наблюдение

Статьи: Сидероз пищевода: редкое клиническое наблюдение

Авторы: Минибаева Г.Ф., Юцевич О.К., Ягубова Э.А., Волченко Н.Н., Пирогов С.С., Каприн А.Д. 1 2023г.
Об авторах: 1. Московский научно-исследовательский онкологический институт имени П.А. Герцена – филиал ФГБУ «НМИЦ радиологии» Минздрава России. Отделение эндоскопии. Патологоанатомическое отделение.

Аннотация:

В настоящей публикации рассказывается о редком клиническом случае сидероза пищевода. У пациентки были обнаружены плоские неправильной формы поверхностные рубцы с участками гиперпигментации слизистой оболочки пищевода в темный цвет. Из анамнеза известно, что она долгое время страдает железодефицитной анемией и принимает препараты железа. Было выставлено заключение о поражении слизистой оболочки пищевода препаратами сульфата железа – сидероз пищевода.

Эндоскопическое заключение подтвердилось патоморфологическим исследованием - в субэпителиальной соединительной ткани обнаружены немногочисленные клетки с бурым пигментом в цитоплазме – картина сидероза

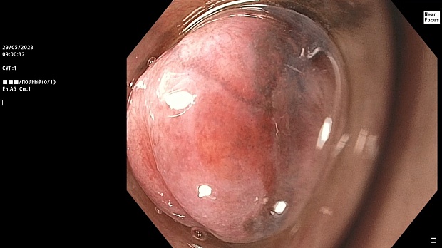
Иллюстрация №1: Эндофото. Сидероз нижней трети пищевода, осмотр в белом свете
Иллюстрация №2: Эндофото. Сидероз нижней трети пищевода, осмотр в белом свете в близкофокусном режиме
Иллюстрация №3: Эндофото. Сидероз нижней трети пищевода, эндоскопическая ультрасонография
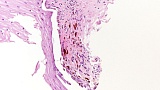
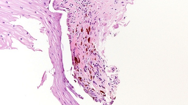
Иллюстрация №4: Микрофото. Г-Э х200. Сидероз пищевода
1 / 168
Оцените материал:

Введение

Лекарственный эзофагит может быть обусловлен широким спектром лекарственных препаратов, и, необходимо отметить, что поражение пищевода при приеме средств, содержащих различные варианты сульфата железа, встречается крайне редко, в мировой литературе описаны единичные клинические наблюдения. Одновременно с этим, по данным патологоанатомов, эрозивные повреждения эпителия пищевода, вероятно, обусловленные приемом препаратов железа, отмечаются в 0,7% всех биопсий слизистой оболочки пищевода [11]. При этом, отдельные авторы отмечают, что, вероятно, развитие сидероза пищевода может происходить в ситуациях, когда пациенты принимают горизонтальное положение непосредственно после приема лекарства, не запивая его достаточным количеством воды [3]. Более того, было доказано, что препараты железа в виде растворов оказывают меньшее местное воздействия на слизистую оболочку пищевода, нежели чем таблетированные формы [6].

Патогенез сидероза пищевода изучен недостаточно, возможно, механизмом его формирования является контактное поражение слизистой оболочки высококонцентрированными препаратами железа, абсорбирующимися через транспортные белки слизистой оболочки или через широкие межклеточные контакты. После абсорбции препаратов железа в слизистой оболочки происходит их трансформация в метаболиты, вызывающие оксидативный стресс и приводящие к повреждению пищевода [3]. Чаще всего, причиной повреждения слизистой оболочки пищевода при воздействии сульфата железа является замедление пищеводного клиренса и фиксация таблетированной формы препарата на слизистой оболочке, как вследствие наличие анатомических сужений и изгибов пищевода, так и нарушений его моторики [11, 12]. В отдельных публикациях высказывается мнение о том, что сульфат железа создает вокруг себя кислую среду, которая приводит к дополнительному эрозированию слизистой оболочки пищевода [7]. Также, не исключено, что наибольшим повреждающим эффектом могут обладать лекарственные средства, содержащие сульфат железа с пролонгированным высвобождением [11].

Достаточно часто поражение пищевода при приеме препаратов железа может быть значительным – вплоть до перфорации его стенки и такие клинические наблюдения превалируют в мировой литературе. Значительно реже отмечаются другие проявления, такие как импрегнация гранулами сульфата железа плоского эпителия, и собственной пластинки слизистой оболочки [3].

Наиболее распространенные клинические проявления включают боль за грудиной, изжогу, одинофагию и дисфагию [12].

Эндоскопическая картина при поражении слизистой оболочки пищевода препаратами железа полиморфна: могут встречаться как эритематзные изменения, так и субэпителиальные кровоизлияния, пигментация в черный и коричневый цвет (истинный сидероз), эрозии, изъязвления и, крайне редко – стриктуры [11, 16]. В одной из публикаций описаны также утолщения слизистой оболочки пищевода в виде «гребней», как результат гиперпролиферации плоского эпителия в ответ на повреждающее воздействие препаратов сульфата железа [16].

Патоморфологически, при поражении слизистой оболочки пищевода препаратами железа обычно в слизистой оболочке обнаруживаются черно-коричневые гранулы, расположенные чаще всего внутриклеточно и, значительно реже - в межклеточных пространствах. Данные депозиты легко обнаруживаются и при применении гематоксилин-эозина, однако специфической окраской на сидероз является использование красителей Гомори-прусский голубой и Перл-прусский голубой [14]. При этом, в окружающих тканях может обнаруживаться воспалительный инфильтрат, грануляционная ткань [2].

Клиническое наблюдение

Пациентка З., 83 лет была направлена в МНИОИ им. П.А. Герцена, филиал ФГБУ «НМИЦ Радиологии» с подозрением на меланому пищевода. Из анамнеза известно, что ранее меланомы с поражением кожи и других злокачественных новообразований у больной не было, по результатам КТ и МРТ увеличенных региональных лимфатических узлов и признаков отдаленного метастазирования выявлено не было. Важно отметить, что у пациентки из сопутствующих заболеваний имелись B-12- и железодефицитная анемия, по поводу которых применялись препараты витамина B12 и железа (железа (II) сульфат). Жалоб активно больная не предъявляла, однако, при детальном сборе анамнеза пациентка сообщила о наличии у нее эпизодов изжоги в течение последних двух месяцев. При этом, данная симптоматика не купировалась нерегулярным приемом омепразола и облегчение наступало только при использовании комплексных антацидов, содержащих бензокаин.

Непосредственно в день обращения пациентке было выполнена эзофагогастродуоденоскопия с использованием оборудования экспертного класса – видеоэндоскопической системы Olympus EVIS Exera III и видеоэндоскопа Olympus GIF-HQ190 с технологией близкофокусной узкоспектральной эндоскопии (Dual Focus).

Согласно полученным данным - в среднегрудном и нижнегрудном отделах пищевода определялась проксимальная граница плоских неправильной формы поверхностных рубцов суммарной протяженностью до 8,0 см. На этом фоне в зонах поверхностных рубцов по задней полуокружности визуализировались участки гиперпигментации в темный цвет (Рис. 1). При исследовании в режиме Dual Focus было отмечено наличие мелких (до 0,001 см) черно-коричневых включений, расположенных субэпителиально - в строме слизистой оболочки, сливания их в единый конгломерат не определялось (Рис. 2). При эндосонографии с применением минидатчика с частотой сканирования 20МГц выявлено, что все слои стенки четко дифференцируются, не утолщены, в слизистой оболочки визуализированы мелких гиперэхогенные включения с эхотенями (Рис. 3).

На основании результатов эндоскопическом исследовании данных – наличие мелких черно-коричневых включений, расположенных субэпителиально, отсутствие специфической опухолевой инфильтрации, а также – данных анамнеза, было выставлено заключение о поражении слизистой оболочки пищевода препаратами сульфата железа – сидероз пищевода.

Эндоскопическое заключение было подтверждено данными патоморфологического исследования, согласно которому, в биоптате слизистой оболочки пищевода были обнаружены фрагменты поверхностных отделов слизистой оболочки, в субэпителиальной соединительной ткани которых обнаруживаются немногочисленные клетки с бурым пигментом в цитоплазме – картина сидероза (Рис.4)

Обсуждение

Во всех случаях темно-коричневой пигментации слизистой оболочки пищевода необходимо соблюдать онкологическую настороженность и дифференцировать первичную и метастатическую меланому пищевода, меланоз, сидероз и антракоз.

В настоящем клиническом наблюдении мы исключили диагноз первичной меланомы пищевода, так как эти опухоли, обычно, при эндоскопическом исследовании выглядят как бугристые экзофитные образования черного цвета и пигмент в них распределен диффузно, а не в виде гранул [5]. В 90% случаев такая опухоль имеет полиповидную форму, четкие контуры и хорошо пигментирована, но, даже в случаях плоских новообразований – должны наблюдаться признаки неоангиогенеза – нерегулярные резко расширенные разнокалиберные внутрисосочковые капиллярные петли (IPCL) слизистой оболочки [9, 13].

Полученные данные не характеризовали и метастатическое поражение пищевода при меланоме кожи, вследствие того, что у пациентки отсутствовали типичные его признаки: асимметрия формы и нерегулярность цвета образований, а также – обязательное наличие метастатического поражения не только пищевода, но и других органов желудочно-кишечного тракта [15].

Отличить меланоз и сидероз пищевода достаточно трудно [4]. Причины его развития малоизучены, меланоз может встречаться при рефлюкс-эзофагите, также есть данные о возникновении меланоза у пациентов с хроническим употреблением алкоголя [1, 8]. Пигментация при этом патологическом состоянии локализуется обычно в средней и нижней трети пищевода и обычно имеет черную окраску, но может быть серой, коричневой или синей. Важным дифференциально-диагностическим признаком при меланозе пищевода, отличающим его от сидероза, является пигментация изолированно вокруг неизмененных капиллярных петель, а не диффузно[13].

Диагноз антракоза пищевода нами был также исключен, так как пигментнация, обусловленная угольной пылью, в пищеводе в подавляющем большинстве случаев обнаруживается в центрах тракционных дивертикулов, сформировавшихся в результате поражения лимфатических узлов при туберкулезе и ряде других заболеваний легких [10].

Конфликт интересов

Представленное клиническое наблюдение показывает важность проведения эндоскопического исследования на экспертном уровне, включающем не только детальный осмотр слизистой оболочки пищевода с использованием современных уточняющих эндоскопических методик, но и сбор анамнеза. Такой подход может обеспечить верную трактовку патологических изменений при пигментном поражении слизистой оболочки пищевода уже на этапе эндоскопического исследования. Более того, грамотно составленное эндоскопическое заключение может помочь врачу-патологоанатому в правильной постановке заключительного диагноза

Полный текст статьи:



Протокол ЭГДС


В пищеводе в шейном его отделе на уровне 16 см от резцов циркулярно визуализированы единичные синюшные флебоэктазии размерами до 0.5 см. Дистальнее пищевод визуально не изменен до уровня 28 см от резцов, где определяется проксимальная граница плоских неправильной формы поверхностных рубцов, распространяющихся до уровня 36 см от резцов. На этом фоне в зонах поверхностных рубцов по задней полуокружности визуализированы участки гиперпигментации в черно-коричнеый цвет. При осмотре в режиме Near Focus с увеличением - между зон пигментации определяются расширенные капилляры типа II по Inoue-классификации. При биопсии отмечена десквамация плоского эпителия, визуализированы мелкие черно-коричневые включения в строме слизистой оболочки, размеры их до 0,001 см, сливания их в единый конгломерат не отмечается. При эндосонографии с датчиком 20Мгц в исследуемой зоне в слизистой оболочке определяются гиперэхогенные включения, в то время как в подслизистом слое - зоны со сниженной эхогенностью. При биопсии отмечается уплотнение ткани, однако истинной фрагментации не определяется. Уровень Z-линии совпадает с уровнем анатомического кардиоэзофагеального перехода. Розетка кардии эластичная, смыкается не полностью, расположена на уровне пищеводного отверстия диафрагмы.

Заключение: Эндоскопическая и эндосонографическая картина трудна для трактовки: следует дифференцировать сидероз слизистой оболочки пищевода на фоне постэрозивных рубцов и меланоз пищевода

.

Патолого-гистологическое заключение


В препарате мелкие фрагменты поверхностных отделов слизистой оболочки пищевода, в субэпителиальной соединительной ткани которых обнаруживаются немногочисленные клетки с бурым пигментом в цитоплазме. Опухолевого роста в пределах данного материала нет.

.






Открыт общий доступ к полному тексту статьи свернуть
Видео

Список литературы:

1. Agarwal S A. [и др.]. Esophageal Melanosis: An Unknown Entity // Cureus. 2022. № 9 (14). C. e29064.

2. Chen Z., Scudiere J. R., Montgomery E. Medication-induced upper gastrointestinal tract injury // Journal of Clinical Pathology. 2009. № 2 (62). C. 113–119.

3. Chonmaitree P. Complete Recovery from Iron-Induced Esophageal Ulcer While Continuing Pill Ingestion // Siriraj Medical Journal. 2016. № 6 (68). C. 377–380.

4. Dubail A. [и др.]. Esophageal Melanocytosis: report of two cases and review of a rare and misunderstood entity // Acta Gastro-Enterologica Belgica. 2022. № 2 (85). C. 390–392.

5. Karapiperis D. [и др.]. Primary malignant melanoma of the esophagus // Clinical Case Reports. 2022. № 4 (10). C. e05660.

6. Kaye P. [и др.]. Iron-induced mucosal pathology of the upper gastrointestinal tract: a common finding in patients on oral iron therapy // Histopathology. 2008. № 3 (53). C. 311–317.

7. Kikendall J. W. [и др.]. Pill-induced esophageal injury. Case reports and review of the medical literature // Digestive Diseases and Sciences. 1983. № 2 (28). C. 174–182.

8. Kuo P. [и др.]. Education and imaging. Gastrointestinal: esophageal melanocytosis--the esophagus that seemed «off-color» // Journal of Gastroenterology and Hepatology. 2011. № 9 (26). C. 1463.

9. Liu H., Yan Y., Jiang C.-M. Primary Malignant Melanoma of the Esophagus With Unusual Endoscopic Findings: A Case Report and Literature Review // Medicine. 2016. № 17 (95). C. e3479.

10. Murata T. [и др.]. Esophageal anthracosis: Lesion mimicking malignant melanoma // Pathology International. 2002. № 7 (52). C. 488–491.

11. Nandini C. L. [и др.]. Iron-induced oesophageal injury and pigmentation // Histopathology. 2001. № 6 (39). C. 643–645.

12. Nasir U. M. [и др.]. Ferrous Sulfate-Induced Esophageal Injury Leading to Esophagitis Dissecans Superficialis // Case Reports in Gastroenterology. 2020. № 1 (14). C. 172–177.

13. Ohnuma H. [и др.]. Cases of primary malignant melanoma and melanocytosis of the esophagus observed by magnifying endoscopy: Application to differential diagnosis: case series // Medicine. 2017. № 17 (96). C. e6701.

14. Roquero L. [и др.]. Esophageal Mucosal Siderosis // American Journal of Clinical Pathology. 2012. № suppl_1 (138). C. A234–A234.

15. Sanchez A. A. [и др.]. Comparison of primary and metastatic malignant melanoma of the esophagus: clinicopathologic review of 10 cases // Archives of Pathology & Laboratory Medicine. 2008. № 10 (132). C. 1623–1629.

16. Sharma V. [и др.]. Esophageal ridges: an unusual complication of oral iron therapy // Annals of Gastroenterology. 2017. № 2 (30). C. 250.

29.11.23 ©
Оцените материал: Рейтинг: 7.5

Комментарии

Написать

От редакции EndoExpert.ru

Благодарим Авторов статьи за возможность размещения интересного наблюдения для коллег в общем доступе и доп.материалами в хорошем качестве!




При эндоскопическом исследовании в случае бронхоэктазов в стадии ремиссии выявляется

частично диффузный бронхит I степени воспаления

Работаем и учимся при поддержке

Партнеры