Полный текст статьи:
Cамые распространенные инородные тела в верхних отделах ЖКТ у детей — монеты, однако растет и количество обращений в стационар по поводу проглоченных батареек. Попадание батареи в желудочно-кишечный тракт очень опасно из-за риска возникновения свищей, в том числе пищеводно-аортальных, которые, как правило, фатальны.
В публикации приводится пример[1] успешного лечения пациентки 3 лет, проглотившей батарейку, что привело к возникновению пищеводно-аортального соустья.
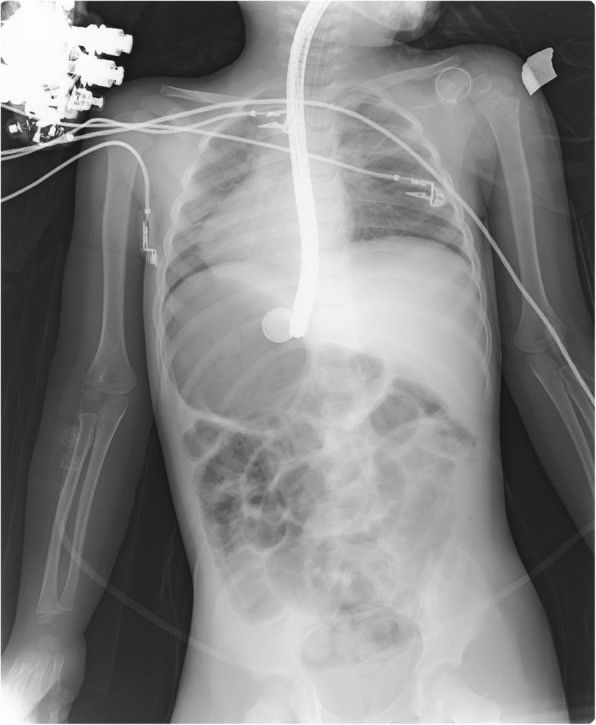
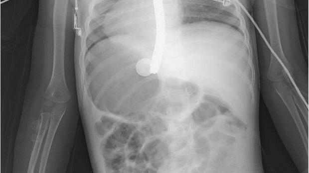
Девочка была госпитализирована с жалобами на боли в животе. При рентгенографии органов брюшной полости в области дна желудка выявлена литиевая батарея (CR 2025, рис. 1).

Рисунок 1 [1].
Через 6 часов у пациентки возникла массивная рвота кровью и тяжелый гиповолемический шок. Попытка проведения эзофагогастроскопии оказалась неудачной из-за большого количества крови и сгустков в пищеводе и желудке. Потребовалась лапаротомия, в ходе которой батарея была извлечена, но, несмотря на это, кровотечение продолжалось, состояние пациентки оставалось крайне тяжелым. С гемостатической целью девочке был установлен зонд Сенгстакена — Блэкмора. Но при повторном эндоскопическом исследовании выявлено, что источник кровотечения расположен в средней трети пищевода (рис. 2 — A).
Рисунок 2 [1].
Зонд был удален, установлен баллонный дилататор диаметром 20 мм (CRE PRO, Boston Scientific) — это позволило выполнить аортографию, которая показала экстравазацию контраста, подтверждая подозрение на повреждение аорты несколько выше диафрагмы (рис. 3).
Рисунок 3 [1].
После установки стента в аорту (Advanta™ V12; Atrium Medical Corporation, США; рис. 4) кровотечение было остановлено, достигнута стабильность гемодинамики. Дополнительно проведен эндоскопический гемостаз (Hemospray®; Cook Medical, Ireland). При дальнейших обследованиях рецидива кровотечения не отмечено.
Рисунок 4 [1].
Эндоскопическое исследование через год показало полную реэпителизацию на месте кровотечения из пищевода (рис. 2 — B). Наблюдение в течение трех лет не выявило каких-либо осложнений.
Комментарии