Полный текст статьи:
Острое инородное тело (ИТ) в ЖКТ — серьезная проблема для врача. Особую трудность создают длинные булавки из-за чрезвычайно высокого риска перфорации, аспирации и кровотечения. Раннее обращение в стационар позволяет уменьшить риски осложнений.
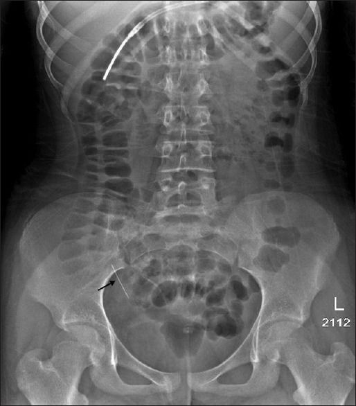
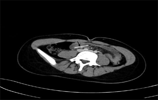
В публикации[1] доктора из Саудовской Аравии представлен опыт диагностики и лечения 13-летней пациентки, которая была госпитализирована через 48 часов после того, как случайно проглотила булавку для платка. Она жаловалась на жар и умеренную боль в животе, тошноту. При обследовании зафиксированы: температура тела — 38,6 °С, артериальное давление — 102/60 мм рт. ст., частота сердечных сокращений в покое — 118 ударов в минуту, частота дыхания — 20 дыхательных движений в минуту. При пальпации живот мягкий, не напряжен. Результаты анализа крови: гемоглобин — 125 г/л, лейкоциты — 7,4 × 109 клеток/л. При рентгенографии органов брюшной полости в тонкой кишке обнаружена булавка, это подтвердила и КТ живота (рис. 1). В ходе динамического наблюдения отмечено продвижение булавки в толстую кишку (рис. 2). В течение 4 дней, пока ИТ оставалось в восходящей ободочной кишке, пациентка продолжала жаловаться на боли в животе. В связи с этим ей была назначена колоноскопия, которая обнаружила булавку в восходящей ободочной кишке, в нескольких сантиметрах от слепой кишки. Повреждений слизистой оболочки зафиксировано не было, булавка была успешно извлечена с помощью щипцов «крысиный зуб» (рис. 3).
Лечение прошло без осложнений.
Рисунок 1.

Рисунок 2.

Рисунок 3.
Комментарии