Полный текст статьи:
Варикозное расширение вен толстой кишки — редкая, связанная с портальной гипертензией клиническая ситуация, которая может стать причиной тяжелых желудочно-кишечных кровотечений. Частота встречаемости — около 0,07. Всего описано 40 случаев идиопатического варикозного расширения вен в некоторых сегментах толстой кишки.
Случай варикозного расширения вен толстой и тонкой кишки на всем их протяжении у 31-летнего пациента описан[1] Liptak P. с соавторами. Больной был госпитализирован с эпизодами желудочно-кишечных кровотечений, каких-либо вмешательств на органах брюшной полости ему не проводилось.
При колоноскопии выявлены обширные варикозные изменения во всей толстой кишке и терминальной подвздошной кишке со стигматами возможного кровотечения. Допплерография не выявила изменений со стороны вен печени, максимальный диаметр воротной вены составлял 12 мм.
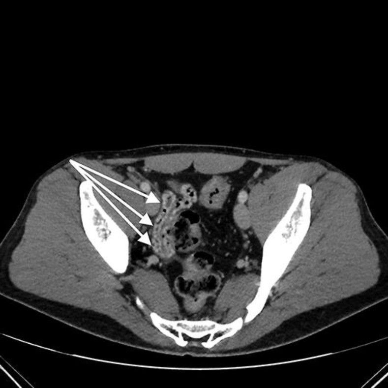
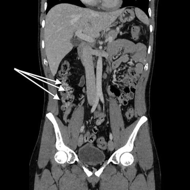
Гастродуоденоскопия с максимальным осмотром двенадцатиперстной кишки ничего не выявила. При компьютерной томографии с болюсным усилением признаков портальной гипертензиии и тромбозов в селезеночной вене не обнаружено, но были очевидны варикозные изменения в ветвях верхней брыжеечной вены в левой эпи- и мезогастральной областях. Обнаружены также признаки варикозного расширения вен в стенке тощей кишки (рис. 1), подвздошной кишке (рис. 2) и ободочной кишке (рис. 3).

Рисунок 1 [1].

Рисунок 2 [1].

Рисунок 3 [1].
При селективной ангиографии признаков артериовенозных мальформаций не выявлено. Капсульная эндоскопия подтвердила все вышеизложенные результаты и дополнительно показала варикозные расширения во всей тонкой кишке с максимальной выраженностью в подвздошной (рис. 4). На основании всех этих обследований были исключены любые причины варикозного расширения вен тонкой и толстой кишок, вызванные изменениями магистральных сосудов.

Рисунок 4 [1].
Также была исключена тромбофилия: генетический анализ не выявил мутаций MTHFR C667T, A1298C или фактора V Лейден. Для лечения пациента применены венотоники и небольшие дозы бетаблокаторов (карведилол 12,5 мг два раза в день). В течение года с начала лечения у пациента не было рецидивов кровотечения.
Комментарии