Полный текст статьи:
Эндоскопическая семиотика гастроинтестинального амилоидоза
Аникина М.С., ГБУЗ НСО «Государственная Новосибирская областная клиническая больница», 2019 год
Аннотация. В обзоре рассмотрены основные эндоскопические проявления гастроинтестинального амилоидоза.
Амилоидоз — патологический процесс, который характеризуется внеклеточным отложением в органах и тканях аномального фибриллярного белка амилоида, состоящего из нерастворимых фибриллярных протеиновых скоплений с широкой антипараллельной β-складчатой структурой. На сегодняшний день идентифицирован 31 аутологичный белок, который может приводить к формированию локальных или системных амилоидных отложений. Диагностика амилоидоза базируется на гистологическом исследовании биоптатов и обнаружении характерного яблочно-зеленого двойного лучепреломления в очагах амилоидных скоплений при исследовании в поляризованном свете после окрашивания конго красным [1].
С клинических позиций целесообразно разделение амилоидоза на системные (генерализованные) и локальные формы. Среди системных форм выделяют АА-, AL-, АТТR- и Аβ2М-амилоидоз (диализный) [2].
Распространенные причины АА-амилоидоза — хронические воспалительные заболевания и инфекции, в том числе ревматоидный артрит, болезнь Крона и туберкулез. В группу АА-амилоидоза, помимо вторичного реактивного амилоидоза, входят:
· амилоидоз в рамках периодической болезни — средиземноморской лихорадки (заболевание с рецессивным типом наследования, распространенное среди выходцев из района Средиземного моря, армян и евреев, характеризующееся рецидивирующими болями в животе, грудной клетке, суставах, с развитием амилоидоза у 40% больных);
· амилоидоз при синдроме Макла — Уэльса (семейная нефропатия с крапивницей и глухотой);
· амилоидоз при некоторых других редких заболеваниях — TRAPS, гипер-IgD-синдроме и др.
Группа AL-амилоидоза включает:
· первичный (идиопатический) амилоидоз;
· амилоидоз при миеломной болезни и В-клеточных опухолях (болезнь Вальденстрёма и др.) [2, 3].
Группу наследственного АТТR-амилоидоза составляют:
· семейная амилоидная полинейропатия;
· реже кардиопатия и нефропатия, наследуемые по аутосомно-доминантному типу;
· системный старческий амилоидоз [2].
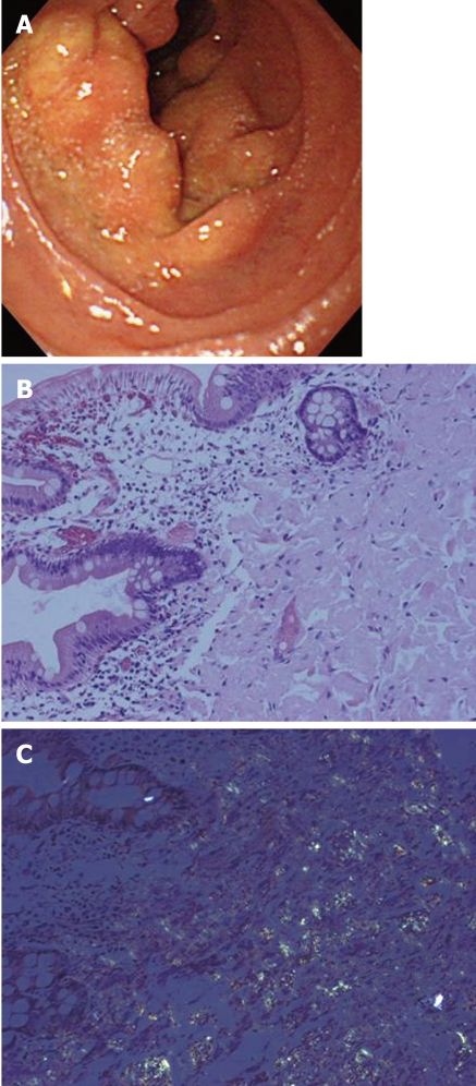
Фактически каждый орган или ткань могут вовлекаться в патологический процесс. Проявления системного амилоидоза включают слабость, потерю веса, нефропатию, кардиопатию, нефропатию и артропатию — все могут быть рефрактерными [4]. Среди больных системным амилоидозом очень распространено поражение желудочно-кишечного тракта. Преимущественно поражается тонкая кишка [5–7]. Симптомы обычно неспецифичны: макроглоссия, дисфагия, боль в животе, кровотечение, запор, диарея и мальабсорбция. Клинические и эндоскопические особенности обусловлены формой отложения амилоида [8, 11]. Отложение амилоида в слизистых оболочках, подслизистой основе и muscularis propria доминирует при AL-амилоидозе, приводя к полиповидным выступам и утолщению складок Керкринга (циркулярных складок тонкой кишки, см. рис. 1, 2), формированию подслизистых гематом и язв. Образование гематом происходит вследствие повышения ломкости сосудов в зонах отложения амилоида. Язвы вторичны по отношению к гематомам (рис. 3–5) [9, 17].

Рисунок 1. AL-амилоидоз [3].
A — при ЭГДС в нисходящей ветви двенадцатиперстной кишки визуализируются характерные множественные желтовато-белые полиповидные выпячивания и утолщения.
B — гистологическое исследование (окраска гематоксилином и эозином, увеличение × 40): выраженное гомогенное эозинофильное отложение в слизистой и подслизистой оболочках.
C — при исследовании в поляризованном свете после окрашивания конго красным выявлено характерное яблочно-зеленое двойное лучепреломление в очагах амилоидных скоплений.

Рисунок 2. AL-амилоидоз толстой кишки у женщины 80 лет [3].
A — на колоноскопии выявлена округлая язва в слепой кишке.
B — пятнистое желтовато бляшкообразное инфильтративное поражение (указано стрелками) на фоне неизмененной слизистой в поперечной ободочной кишке.
C — мелкая подслизистая гематома в пределах бляшкообразной эритемы в сигмовидной кишке.
D — биопсия поражения толстой кишки, демонстрирующая аморфное эозинофильное отложение в слизистой и подслизистой оболочке (HE, × 100).
E — окрашивание конго красным с амилоидным отложением, × 100.

Рисунок 3. AL-амилоидоз у 80-летнего мужчины [17].
Экстренная колоноскопия, проведенная пациенту 80 лет с гематохезией и поражением сердца, выявила множественные подслизистые гематомы толстой кишки.

Рисунок 4. AL-амилоидоз у 80-летнего мужчины, повторная колоноскопия [17].
Повторная колоноскопия, проведенная через неделю после прекращения антикоагулянтной терапии, показала более мелкие и плоские подслизистые гематомы и развитие неглубоких язв (желтые стрелки).

Рисунок 5. AL-амилоидоз [9].
Колоноскопия выявила два типа язвенных поражений в поперечной ободочной кишке: язву неправильной формы с подслизистой гематомой (A, B) и резко очерченную язву с небольшой подслизистой гематомой (C, D). Предполагают, что такой полиморфизм изменений отражает время возникновения дефектов слизистой толстой кишки при AL-амилоидозе. Следует считать гематому первичной по отношению к язве (B, D — хромоскопия с индигокармином). ##это подрисуночная подпись##
Для AA-амилоидоза характерны зернистые отложения амилоида в слизистых оболочках, которые приводят к зернистости и хрупкости слизистой оболочки и эрозиям (рис. 6–8).

Рисунок 6. АА-амилоидоз у женщины с ревматоидным артритом [3].
A — ЭГДС: в антральном отделе желудка выявлена язва округлой формы, окруженная венчиком гиперемии. Гистологическое исследование подтвердило отложение амилоида.
B — ЭГДС: мелкозернистая слизистая оболочка в нисходящей ветви двенадцатиперстной кишки.
C — биопсия из двенадцатиперстной кишки выявила выраженные аморфные эозинофильные отложения в слизистой оболочке (HE, × 100).
D — отложение амилоида (окрашивание конго красным, × 100).

Рисунок 7. АА-амилоидоз у 45-летнего мужчины с семейной средиземноморской лихорадкой [3].
A — рыхлая зернистая слизистая оболочка в нисходящей ветви двенадцатиперстной кишкой.
B — более близкий фокус, демонстрирующий белесоватые расширенные ворсинки с множественными красноватыми эрозиями.

Рисунок 8. АА-амилоидоз у мужчины 55 лет с семейной средиземноморской лихорадкой. [3].
Очаговая гиперемия по ходу подслизистых вен. Гистопатологическое исследование подтвердило отложение амилоида.
В результате AL-амилоидоз обычно проявляется констипацией, в то время как для АА-амилоидоза больше характерны диарея и мальабсорбция [8, 9].
В середине шестидесятых годов биопсия прямой кишки была введена в диагностический алгоритм выявления амилоидоза [11]. Благодаря широкому внедрению гастроинтестинальной эндоскопии стало известно, что амилоидные отложения могут обнаруживаться также и локально в различных отделах желудочно-кишечного тракта, следовательно, ректальная биопсия не является абсолютно достоверным способом диагностики амилоидоза [1]. Таким образом, для его диагностики необходим не только осмотр прямой кишки с обязательным забором биопсии, но и качественная тотальная колоноскопия. Подготовка толстой кишки к исследованию у пациентов с подозрением на амилоидоз — непростая задача. Поражение почек служит основным проявлением АА-амилоидоза, при AL-амилоидозе нефропатия отмечается не менее часто, чем поражение сердца [1].
Действенная альтернатива полнообъемным препаратам ПЭГ — применение малообъемного препарата ПЭГ с аскорбатным комплексом (МОВИПРЕП®) [12–15]. Недавнее исследование показало, что применение полиэтиленгликоля с аскорбатным комплексом (МОВИПРЕП®) не влияет на скорость клубочковой фильтрации, при этом обладает значительно лучшей переносимостью и приемлемостью. Таким образом, полиэтиленгликоль с аскорбатным комплексом (МОВИПРЕП®) — безопасный выбор для подготовки кишечника перед колоноскопией у пациентов с нарушениями функции почек [16].
Выводы
Амилоидоз — патологический процесс, который характеризуется внеклеточным отложением в органах и тканях аномального фибриллярного белка амилоида. Фактически каждый орган или ткань могут вовлекаться в патологический процесс. Среди больных системным амилоидозом очень распространено поражение желудочно-кишечного тракта. Клинические и эндоскопические особенности обусловлены формой отложения амилоида. Отложение амилоида в слизистых оболочках, подслизистой основе и muscularis propria доминирует при AL-амилоидозе, приводя к полиповидным выпячиваниям и утолщению складок Керкринга, формированию подслизистых гематом и язв. Образование гематом происходит вследствие повышения ломкости сосудов в зонах отложения амилоида. Язвы вторичны по отношению к гематомам. Для AA-амилоидоза характерны зернистые отложения амилоида в слизистых оболочках — это приводит к зернистости и хрупкости слизистой оболочки и эрозиям. Для диагностики амилоидоза необходим не только осмотр прямой кишки с обязательным забором биопсии, но и качественная тотальная колоноскопия. Подготовка толстой кишки к исследованию у пациентов с подозрением на амилоидоз непроста из-за проявлений нефропатии. Для подготовки к колоноскопии возможно использовать малолитражный ПЭГ с раствором электролитов и аскорбатным комплексом (МОВИПРЕП®).
Комментарии 1