Полный текст статьи:
#EndoQuiz - это один из самых интересных форматов для образования и мозгового штурма!

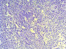
#EndoQuiz 12п.кишка
Эта структура была обнаружена в ходе эндоскопия двенадцатиперстной кишки. Это может быть:
-
Е-мне нужно больше информации!
Эндозагадка подготовленна:Serhii Polishchuk вместе с Irina Korytko май.2017
- гистофото - Дополнительная информация
Ответ на загадку (раскрыть закрытый текст)
#EndoQuiz duodenum
This structure was found during endoscopy in duodenum. It can be:
a-polyp with HGD
b-submucosal lesion
c-metastasis
d-adenocarcinoma
e-I need more information!
EndoCase from:Serhii Polishchuk вместе с Irina Korytko may.2017
Комментарии 10