Просмотренные публикации

QR-код этой страницы

Для продолжения изучения на мобильном устройстве ПРОСКАНИРУЙТЕ QR-код с помощью спец. программы или фотокамеры мобильного устройства

Случайный выбор

данная функция, случайным образом выбирает информацию для Вашего изучения,
запустите выбор нажав кнопку ниже

Обратная связь
Напишите нам

Поделитесь своими идеями по улучшению нашей работы.
Прикрепить файл или скриншот удалить
Закрытая часть портала предназначена для только для работников здравоохранения. Оставив свой e-mail и специалищацию, Вы подтверждаете, что являетесь работником здравоохранения и что Вы ознакомились с текстом и поняли его.


Сообщение об ошибке
Что улучшить?

Поделитесь своими идеями по улучшению нашей работы.
Прикрепить файл или скриншот удалить
Закрытая часть портала предназначена для только для работников здравоохранения. Оставив свой e-mail и специалищацию, Вы подтверждаете, что являетесь работником здравоохранения и что Вы ознакомились с текстом и поняли его.


Главная Статьи Colonic pseudolipomatosis Псевдолипоматоз толстой кишки

Статьи: Colonic pseudolipomatosis Псевдолипоматоз толстой кишки

1 / 168
Оцените материал:

Полный текст статьи:


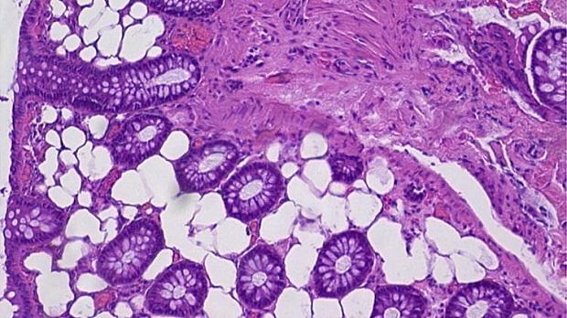
Пациенту 47 лет была сделана колоноскопия для исследования хронической диареи. Он никогда не проходил эндоскопическое обследование желудочно-кишечного тракта и не имел доказательств инфекции, основанных на клинических и патологических критериях. Эндоскопическое исследование показало множественные слегка приподнятые беловатые бляшки на восходящей ободочной кишке ( A , B ). Гистопатологическое исследование выявило оптически пустые сливающиеся вакуоли, напоминающие жир в собственной пластинке между железами, без реакции гигантских клеток на инородное тело, что соответствует псевдолипоматозу толстой кишки ( C ).





Открыт общий доступ к полному тексту статьи свернуть
22.09.19 ©
Оцените материал: Рейтинг: 6

Комментарии

Написать

При эндоскопическом исследовании в случае бронхоэктазов в стадии ремиссии выявляется

частично диффузный бронхит I степени воспаления

Работаем и учимся при поддержке

Партнеры