Просмотренные публикации

QR-код этой страницы

Для продолжения изучения на мобильном устройстве ПРОСКАНИРУЙТЕ QR-код с помощью спец. программы или фотокамеры мобильного устройства

Случайный выбор

данная функция, случайным образом выбирает информацию для Вашего изучения,
запустите выбор нажав кнопку ниже

Обратная связь
Напишите нам

Поделитесь своими идеями по улучшению нашей работы.
Прикрепить файл или скриншот удалить
Закрытая часть портала предназначена для только для работников здравоохранения. Оставив свой e-mail и специалищацию, Вы подтверждаете, что являетесь работником здравоохранения и что Вы ознакомились с текстом и поняли его.


Сообщение об ошибке
Что улучшить?

Поделитесь своими идеями по улучшению нашей работы.
Прикрепить файл или скриншот удалить
Закрытая часть портала предназначена для только для работников здравоохранения. Оставив свой e-mail и специалищацию, Вы подтверждаете, что являетесь работником здравоохранения и что Вы ознакомились с текстом и поняли его.


Главная Публикации из социальных сетей Образование в области верхнего дуоденального изгиба

Публикации из социальных сетей: Образование в области верхнего дуоденального изгиба

1 мин
Авторы: Владимир Захаров 2019г.
1 / 168
Оцените материал:

Полный текст статьи:

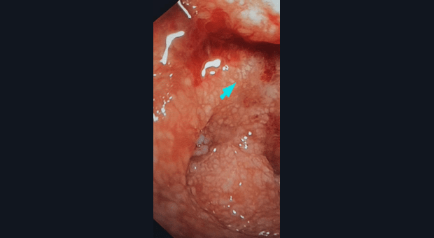
Девушка 1985 года рождения, в анамнезе роды 5 месяцев назад, лактация. ЛХЭ в 2015г. Жалобы на дискомфорт в эпигастрии, вздутие, не температурит. Данное образование в области верхнего дуоденального изгиба, выполнена биопсия, при взятии биопсии, из центра образования, выделилось мутное содержимое в скудном количестве (гной?). Коллеги, ваше мнение. Спасибо.

Открыт общий доступ к полному тексту статьи свернуть
14.12.25 © Дмитриенко ..
Оцените материал: Рейтинг: 9.5

Комментарии

Написать

При эндоскопическом исследовании в случае бронхоэктазов в стадии ремиссии выявляется

частично диффузный бронхит I степени воспаления

Работаем и учимся при поддержке

Партнеры