Просмотренные публикации

QR-код этой страницы

Для продолжения изучения на мобильном устройстве ПРОСКАНИРУЙТЕ QR-код с помощью спец. программы или фотокамеры мобильного устройства

Случайный выбор

данная функция, случайным образом выбирает информацию для Вашего изучения,
запустите выбор нажав кнопку ниже

Обратная связь
Напишите нам

Поделитесь своими идеями по улучшению нашей работы.
Прикрепить файл или скриншот удалить
Закрытая часть портала предназначена для только для работников здравоохранения. Оставив свой e-mail и специалищацию, Вы подтверждаете, что являетесь работником здравоохранения и что Вы ознакомились с текстом и поняли его.


Сообщение об ошибке
Что улучшить?

Поделитесь своими идеями по улучшению нашей работы.
Прикрепить файл или скриншот удалить
Закрытая часть портала предназначена для только для работников здравоохранения. Оставив свой e-mail и специалищацию, Вы подтверждаете, что являетесь работником здравоохранения и что Вы ознакомились с текстом и поняли его.


Главная Клинические случаи Ретроградная холангиопанкреатография при юкстадивертикулярном расположении большого дуоденального сосочка.

Клинические случаи: Ретроградная холангиопанкреатография при юкстадивертикулярном расположении большого дуоденального сосочка.

1 / 168
Оцените материал:

Полный текст статьи:

Сокращения : 

ЮПД-юкстапапиллярный дивертикул. 
 ДПК- двенадцатиперстная кишка 
 БДС- большой дуоденальный сосочек 
 ЭПСТ-эндоскопическая папиллосфинктеротомия 
 ЖКБ-желчнокаменная болезнь. 

 Юкстапапиллярные дивертикулы - дивертикулы двенадцатиперстной кишки (далее-ДПК), располагающиеся в области большого дуоденального сосочка(далее БДС), занимают вторую позицию по частоте возникновения после дивертикулов толстой кишки. 

По происхождению делятся на: 
  • первичные 
  • вторичные. 
Первичные(врожденные) - встречаются значительно реже чем вторичные, стенка таких дивертикулов не отличается отсутствием какого - либо слоя, характерных для нормальной стенки.  
Вторичные ( приобретенные) - являются следствием повышенного внутри просветного давления ДПК и дегенеративных изменений. 

Локализация дивертикулов ДПК как и при пульсионных дивертикулах толстой кишки, это слабые участки стенки кишки, в частности в местах локализации перфорантных сосудов. По разным исследованиям , наличие зависимости выявленных дивертикулов ДПК от возраста пациентов, не вызывает сомнений. Наиболее подверженный контингент пациенты от 40 лет . Возрастной компонент и вызываемые этим дегенеративные изменения в стенке кишки, являются патогенетическим фактором в формировании дивертикулов ДПК. Размеры дивертикула ДПК могут зависеть по некоторым данным от наличия холецистолитиаза , чаще они больше чем у пациентов без конкрементов в желчном пузыре. Механическая желтуха и гнойный холангит, одни из проявлений ЮПД .  

Из классификаций, предложенных специалистами в области патологии гепатобилиарной системы, наибольшее внимание заслуживает внимание классификации предложенные Ю.Г. Старковым и соавт.  
Различают: парапапиллярные и перипапиллярные дивертикулы . 

И.В. Громов и соавт. все варианты расположения БДС и продольной складки ДПК относительно дивертикула условно делят на пять типов: 
1 тип- БДС распологается в полости дивертикула 
 2 тип —БДС распологается между двумя дивертикулами 
3 тип- БДС располагается в области шейки дивертикула или за его пределами , при этом продольная складка ДПК переходит на стенку дивертикула. 
4 тип- БДС в области шейки дивертикула , продольная складка ДПК не переходит на на стенку дивертикула 
5 тип — БДС и продольная ДПК расположены за пределами дивертикула. 

Наличие ЮПД усложняет выполнение селективной канюляции холедоха и проведения ЭПСТ, такие вмешательства по праву считаются трудоемкими и сопряженные с риском. Тем не менее некоторые специалисты с применением некоторых приемов в сочетании с осторожностью имеют успех в адекватном дренировании билиарной системы. 

Наиболее сложным типом для канюляции и ЭПСТ является 1 тип(И.В. Громов и соавт), ввиду отсутствии полноценной визуализации БДС. 
В таких случаях производится промывание дивертикула и попытка сместить БДС с помощью катетера в просвет кишки. В совокупности с релаксацией такие попытки чаще всего позволяют визуализировать БДС. 

Следующий этап -канюляция БДС, напрямую связан с эффективным выведением устья напротив дистального конца дуоденоскопа. Папилла обладает достаточной мобильностью и после канюляции ее не представляет сложности позиционировать устье напротив оптики дуоденосокопа. В определенных случаях удобнее применить папиллотом pull-type, при натяжении струны которого ,меняется положение дистального конца катетера. При расположении БДС в полости дивертикула терминальный отдел холедоха расположен забрюшинно, что влечет за собой риск повреждения стенки кишки, при рассечении устья холедоха. При выполнении ЭПСТ необходимо уделить внимание на выраженность и направление продольной складки , соответствующей интрамуральной части холедоха и стремиться проводить рассечение со смешением БДС из полости дивертикула. Считается более безопасным проводить вмешательство в 2-3 этапа, с интервалом 3-4 дня. За такой период времени происходит адгезия рассеченных тканей, что понижает степень риска осложнений. 

В заключении стоит отметить, что ЮПД находятся в категории патологий приводящих к вероятному развитию ЖКБ и ее осложнений. Повышающих степень сложности эндоскопических инвазивных манипуляций на БДС, требующие применений определенных навыков и специфического подхода специалиста ,в целях достижения адекватного результата. 

Описание представленного случая: 
Пациент 82 л, доставлен в стационар на машине скорой медицинской помощи с жалобами на боли в верхних этажах брюшной полости, тошноту, рвоту, желтушность кожных покровов и склер. 

Результаты обследования при поступлении: 
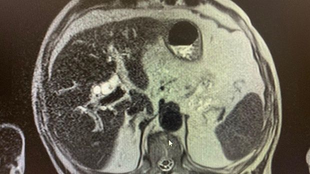
1)УЗИ органов брюшной полости: внутрипеченочные протоки расширены ,общий печеночный проток расширен, холедох до 12 мм, визуализируется фрагментарно. Заключение: Холедолитиаз. Билиарная гипертензия. 
2)Биохимический анализ крови: Билирубин- 82,4 , прямой- 47,5 АЛТ- 92 , АСТ-136 , С-реактивный белок -44,4 скорость клубочковой фильтрации- 45 . МРТ: внутри- и внепеченочные протоки расширены , общий печеночный проток до 18 мм, холедох до 14 мм, в просвете конкременты до 14 мм. Заключение: Холедохолитиаз . Билиарная гипертензия. 
 
На следующий день произведена ретроградная холангиопанкреатография.
Отмечатся юкстапапиллярное расположение большого дуоденального сосочка тип-3. Канюляция папиллотомом pull-type ,контрастирование водорастворимым контрастом . 
Рентгенологическая картина расширенния желчных протоков и наличие конкрментов в холедохе. Произведена эндоскопическая ограниченная папиллосфинктеротомия, отмечалось поступление темной желчи. Ревизия корзиной Дормия дали основания полагать ,что конкременты плотной консистенции. 
Учитывая состояние пациента, большой степени вероятности осложнений и наличие крупных конкрементов в холедохе , принято решение следовать общепринятой тактике лечения при юкстапапиллярном расположении БДС - воздержаться от одноэтапного проведения операции с литэкстракцией. Произведено стентирование холедоха пластиковым стентом типа Pig-tail 10 Fr-130 мм, чем достигнуто адекватное дренирование желчных путей. Послеоперационный период протекал без осложнений. Биохимический анализ крови: билирубин общий-17.0 , билирубин прямой -13.0 , билирубин непрямой - 4, с-реактивный белок -24.3, скорость клубочковой фильтрации-37,4. По представленным результатам обследования в послеоперационом периоде, можно отметить положительную динамику в показателях пигментного обмена. Пациент в удовлетворительном состоянии выписан на амбулаторное лечение . 

Рекомендовано: плановая госпитализация для проведения второго этапа оперативного эндоскопического лечения. 

 

Открыт общий доступ к полному тексту статьи свернуть
Видео

Список литературы:

1. Алтиев Б.К., Хакимов Х.Х., Хаджибаев Ф.А., Хашимов М.А. Диагностика и тактика лечения холедохолимти-аза при дивертикуклах папиллярной области двенад-цатиперсной кишки. Вестник экстренной медицины 2013; 1: 8-10. 
2. Васильев Ю.В., Беляева В.С. Юкстапапиллярные дивертикулы двенадцатиперстной кишки и панкреатит. Экспер клин гастроэнтерол 2005;4:33-38. 
3. Громова И.В., Кузовлев Н.Ф., Уржумцева Г.А., Гращенко С.А., Котовский А.Е. Эндоскопические диагностические и лечебные вмешательства при парапапилляр-ных дивертикулах. Анналы хир гепатол 2000; 5(1): 109-113. 
4. Старков Ю.Г., Стрекаловский В.П., Вишневский В.А., Григорян Р.С. Эндоскопическая папиллосфинкте-ротомия при дивертикулах папиллярной области двенадцатиперстной кишки. Анналы хир гепатол 1999;4(2):32-37. 
5. Харламов Б.В., Федоров В.Д., Борушко М. В. Хирургическое лечение большого парафатерального дивертикула, осложненного гипертензией желчных путей и холангитом. Хирургия 2007;10:55-57. 
6. Ackermann W. Diverticula and variations of the duode- num. Ann Surg 1943;117(3):403-413. 
7. Ames J.T., Federle M.P., Pealer K.M. Perforated duodenal diverticulum: clinical and imaging findings in eight patients. Abdom Imaging 2009; 34(2): 135-9. 
8. Balci N.C., Akinci A., Akon E., Kler H.V. Juxtapapillary diverticulum: findings on CT and MRI. Clin Imaging 2003;27:82-8. 
9. Boix J., Lorenzo-Zuniga V., Ananos F. et al. Impact of periampullary duodenal diverticula at endoscopic retrograde cholangiopancreatography: a proposed classification of periampullary duodenal diverticula. Surg Laparosc En-dosc Percutan Tech 2006; 16(4): 208-211. 
10. Cattell R.B., Mudge T.J. The surgical significance of duodenal diverticula. New Engl J Med 1952;246(9):317-324. 
11. Cheshire N.J., Glezer G. Diverticula, volvulus, superior mesenteric artery syndrome and foreign bodies. In: Zinner M.J., Schwartz S.I., Ellis H. Maingoats abdominal operation. 10th ed. L: Prentice Hall International (UK) Limited 1997:916-921. 
12. Chiang T.H., Lee Y.C., Chiu H.M., Huang S.P., Lin J.T., Wang H.P. Endoscopic therapeutics for patients with cholangi-tis caused by the juxtapapillary duodenal diverticulum. Hepatogastroenterology 2006;53:501-505. 
13. Chomel J. Report of a case of duodenal diverticulum containing gallstones. Hist Acad R Sci Paris 1710;48-50. 
14. Christoforidis E., Goulimaris I., Kanellos I. et al. The role of juxtaduodenal diverticula in biliary stone disease. Gastro-intest Endosc 2002; 55(4): 543-547. 
15. de Perrot T., Poletti P.A., Becker C.D., Platon A. The complicated duodenal diverticulum: retrospective analysis of 11 cases. Clin Imaging 2012; 36(4): 287-294. 
16. Duarte B., Nagy K.K., Cintron J. Perforated duodenal diverticulum. Brit J Surg 1992;79(9):877-881. 17. Egawa N., Anjiki H., Takuma K., Kamisawa T. Juxtapapillary duodenal diverticula and pancreatobiliary disease. Dig Surg 2010;27:105-109. 
18. Egawa N., Kamisawa T., Tu Y. et al. The role of juxtapap- illary duodenal diverticulum in the formation of gallbladder stones. Hepatogastroenterology 1998;45:917-920. 
19. Eggert A., Teichmann W., Wittmann D.H. The pathologic implication of duodenal diverticula. Surg Gynecol Obstet 1982; 154(1): 62-64. 
20. Hagege H., Berson A., Pelletier G. et al. Association of jux-tapapillary diverticula with choledocholithiasis but not with cholecystolithiasis. Endoscopy 1992;24:248-251. 
21. Harford W.V. Diverticula of the hypopharynx and esophagus, the stomach and small bowel. In: Feldman M., Scharschmidt B.F., Sleisenger M.H. Sleisenger and Fordtran's gastrointestinal and liver diseases. 6th ed. Philadelphia WB Saunders; 1998:313-316. 
22. Jones T.W., Merendino K.A. The perplexing duodenal diverticulum. Surgery 1960;48:1068-1084. 
23. Katsinelos P., Dimiropoulos S., Pilpilidis I. et al. Endoscopic sphincterotomy in patients with "acalculus" cholangitis associated with juxtapapillary diverticula. Hepatogastroenterology 2004;51:649-651. 
24. Kim D.I., Kim M.H., Lee S.K. et al. Risk factors for recurrence of primary bile duct stones after endoscopic biliary sphincterotomy. Gastrointest Endosc 2001;54:42-48. 
25. Kim M.H., Myung S.J., Seo D.W. et al. Association of periampullary diverticula with primary choledocholithiasis but not with secondary choledocholithiasis. Endoscopy 1998;30:601-604. 
26. Kimura W., Nagai H., Kuroda A., Muto T. No significant correlation between histologic changes of the papilla of Vater and juxtapapillary diverticulum. Scand J Gastroenterol 1992;27:951-956. 
27. Ko K.S., Kim S.H., Kim H.C. et al. Juxtapapillary duodenal diverticula risk development and recurrence of biliary stone. J Korean Med Sci 2012;27(7):772-776. 
28. Lane J.E., Ajjan M., Sedghi S. GI bleeding from duodenal diverticula. Amer J Gastroenterol 2001;96:2799-2800. 
29. Leinkram C., Roberts-Thomson I.C., Kune G.A. Juxtapapillary duodenal diverticula. Med J Aust 1980;1:209-210. 30. Leivonen M.K., Halttunen J.A., Kivilaakso E.O. Duodenal diverticulum at endoscopic retrograde cholangiopancreatography, analysis of 123 patients. Hepatogastroenterology 1996;43:961-966. 
31. Lobo D.N., Balfour T.W., Iftikhar S.Y., Rowlands B.J. Periampullary diverticula and pancreaticobiliary disease. Brit J Surg 1999;86:588-597. 
32. López Zárraga F., Saenz De Ormijana J., Diez Orive M. et al. Abdominal pain in a young woman (2009: 8b). Europ Radiol. 2009;19(11):2783-2786. 
33. Lotveit T., Osnes M., Larsen S. Recurrent biliary calculi: duodenal diverticula as a predisposing factor. Ann Surg 1982;196:30-32. 
34. Matsumoto J., Shibue T., Hashimoto S. Relationship between perivaterian diverticulum and biliary tract disease. Gastroenterol Jpn 1985;20:577-581. 35. Miyazaki S., Sakamoto T., Miyata M. et al. Function of the sphincter of Oddi in patients with juxtapapillary duodenal diverticula: evaluation by intraoperative biliary manometry under a duodenal pressure load. World J Surg 1995;19:307-312. 36. Naranjo-Chavez J., Schwarz M., Leder G., Beger H.G. Ampullary but not periampullary duodenal diverticula are an etiologic factor for chronic pancreatitis. Dig Surg 2000;17:358-363. 
37. Osnes M., Lotveit T., Larsen S., Aune S. Duodenal diverticula and their relationship to age, sex, and biliary calculi. Scand J Gastroenterol 1981;16:103-107. 38. Pereira-Lima J.C., Jakobs R., Winter U.H.et al. Long-term results (7 to 10 years) of endoscopic papillotomy for choledocholithiasis. Multivariate analysis of prognostic factors for the recurrence of biliary symptoms. Gastroin-test Endosc 1998;48:457-464. 
39. Pimparkar B.D. Diverticulosis of the small intestine. In: Bokus H.L., Berd J.E. Gastroenterology. 3rd ed. Philadelphia WB Saunders; 1976:437-458. 
40. Shemesh E., Friedman E., Czerniak A., Bat L. The association of biliary and pancreatic anomalies with periampullary duodenal diverticula. Arch Surg 1987;122:1055-1057. 
41. Shocket E., Simon S.A. Small bowel obstruction due to enterolith (bezoar) formed in a duodenal diverticulum: a case report and review of the literature. Amer J Gastroenterol 1982;77:621-624. 
42.Skar V., Skar A.G., Bratlie J., Osnes M. Beta-glucuroni-dase activity in the bile of gallstone patients both with and without duodenal diverticula. Scand J Gastroenterol 1989;24:205-212. 
43.. Skar V., Skar A.G., Osnes M. The duodenal bacterial flora in the region of papilla of Vater in patients with and without duodenal diverticula. Scand J Gastroenterol 1989;24:649-656. 44. Sugiyama M., Atomi Y. Periampullary diverticula cause pancreatobiliary reflux. Scand J Gastroenterol 2001;36:994-997. 
45. Takaaki J., Kodama T., Akaki H. et al. Relationship between juxtapapillary duodenal diverticulum and bilio-pancreatic disease. Evaluation by endoscopic biliary ma-nometry (in Japanese). Nippon Shokakibyo Gakkai Zasshi 1992;89:1270-1278. 
46. Tham T.C., Kelly M. Association of periampullary duodenal diverticula with bile duct stones and with technical success of endoscopic retrograde cholangiopancreatog-raphy. Endoscopy 2004;36:1050-1053. 
47. Uomo G., Manes G., Ragozzino A. et al. Periampullary ex-traluminal duodenal diverticula and acute pancreatitis: an underestimated etiological association. Amer J Gastroenterol 1996;91:1186-1188. 
48. van Basten J.P., Stockbrugger R. Relationship between duodenal diverticuli, gallstones and duodenal and pancreaticobiliary disorders. Ned Tijdschr Geneeskd 1996;140:1122-1125. 
49. Van Beers B., Trigaux J.P., De Ronde T., Melange M. CT findings of perforated duodenal diverticulitis. J Comput Assist Tomogr 1989;13(3):528-530. 
50. van der Spuy S. The relationship between juxtapapillary diverticula and biliary calculi. An endoscopic study. Endoscopy 1979;11:197-202. 
51. van Nieuwkoop C., Boere I., Rosekrans P.A., Bac DJ. Recurrent bacterial cholangitis due to a juxtapapillary diverticulum. Europ J Gastroenterol Hepatol 2002;14:189-190. 
52. Wiesner W., Beglinger Ch., Oertli D., Steinbrich W. Juxtapapillary duodenal diverticula: MDCT findings in 1010 patients and proposal for a new classification. JBR-BTR 2009;92(4):191-194. 
53. Yoneyama F., Miyata K., Ohta H. et al. Excision of a juxtapapillary duodenal diverticulum causing biliary obstruc- tion: report of three cases. J Hepatobiliary Pancreat Surg 2004;11:69-72. 
54. Zoepf T., Zoepf D.S., Arnold J.C. et al. The relationship be- tween juxtapapillary duodenal diverticula and disorders of the biliopancreatic system: analysis of 350 patients. Gastrointest Endosc 2001;54:56-61.
16.02.20 © Вахаев ..
Оцените материал: Рейтинг: 8

Комментарии 5

Написать
Аноним
Спасибо! Очень отличная работа.
Ответить
Аноним
Отличная работа!
Ответить
Валид Вахаев Валид Вахаев
спасибо!
Ответить
Валид Вахаев Валид Вахаев
Буду рад ответить на вопросы.
Ответить
Георгий Дмитриенко<span class='sub_user_pic_block'><img class='sub_user_pic' src='/upload/resize_cache/webp/local/img/sub_user_icon.webp'></span> Георгий Дмитриенко
Спасибо. Очень интересно.
Ответить
Написать

Эозинофильный эзофагит

— хроническое, медленно прогрессирующее иммуноопосредованное заболевание пищевода, характеризующееся выраженным эозинофильным воспалением слизистой оболочки пищевода, развитием подслизистого фиброза, клинически проявляющееся нарушением глотания (дисфагия, обтурация пищевода пищевым комком, рвота проглоченной пищей и др.)

При эндоскопическом исследовании в случае бронхоэктазов в стадии ремиссии выявляется

частично диффузный бронхит I степени воспаления





Работаем и учимся при поддержке

Партнеры