Просмотренные публикации

QR-код этой страницы

Для продолжения изучения на мобильном устройстве ПРОСКАНИРУЙТЕ QR-код с помощью спец. программы или фотокамеры мобильного устройства

Случайный выбор

данная функция, случайным образом выбирает информацию для Вашего изучения,
запустите выбор нажав кнопку ниже

Обратная связь
Напишите нам

Поделитесь своими идеями по улучшению нашей работы.
Прикрепить файл или скриншот удалить
Закрытая часть портала предназначена для только для работников здравоохранения. Оставив свой e-mail и специалищацию, Вы подтверждаете, что являетесь работником здравоохранения и что Вы ознакомились с текстом и поняли его.


Сообщение об ошибке
Что улучшить?

Поделитесь своими идеями по улучшению нашей работы.
Прикрепить файл или скриншот удалить
Закрытая часть портала предназначена для только для работников здравоохранения. Оставив свой e-mail и специалищацию, Вы подтверждаете, что являетесь работником здравоохранения и что Вы ознакомились с текстом и поняли его.


Главная Статьи Эндоскопическая классификация новообразований большого сосочка двенадцатиперстной кишки БСДК (Старков Ю. Г. и соавторы, 2022 г.)

Статьи: Эндоскопическая классификация новообразований большого сосочка двенадцатиперстной кишки БСДК (Старков Ю. Г. и соавторы, 2022 г.)

1 / 168
Оцените материал:

Полный текст статьи:


Эндоскопическое типирование аденом БСДК основывается на данных предоперационной дуоденоскопии и эндосонографии (Старков Ю. Г. и соавторы, 2022 г.). 

Выделяют 4 типа опухолей БСДК: 

  • I тип (ЕP) – экстрапапиллярный рост опухоли в пределах БСДК без распространения на протоки
  • II тип (ЕPD) – также экстрапапиллярный рост опухоли, но с распространением на стенку ДПК
  • III тип (ID) – внутрипротоковый рост с распространением на протоки
  • IV тип (EP+ID) – смешанный тип.

Старков Ю. Г., Джантуханова С. В., Замолодчиков Р. Д., Вагапов А. И. Эндоскопическая классификация новообразований большого сосочка двенадцатиперстной кишки. Поволжский онкологический вестник. 2022; 13(4): 25–30. doi: 10.32000/2078–1466–2022–4–25–30.



В классификации мы выделяем 4 типа новообразований БСДК в зависимости от их размеров, характера роста в пределах БСДК, а также в зависимости от распространения на стенки ДПК и терминальные отделы ОЖП и ГПП.

I (EA) тип: опухоль с экстраампулярным ростом (рис. 1). Новообразование данного типа локализуется в пределах БСДК, без признаков распространения на ДПК и терминальные отделы ОЖП и ГПП. Выбор оперативного вмешательства при таком типе зависит от размеров новообразования. Наиболее эффективным эндоскопическим вмешательством при размерах опухоли менее 3 см является удаление методом резекции БСДК единым блоком. В случае если размер новообразования превышает 3 см, его следует удалять методом пофрагментной резекции БСДК.

II (ЕАD) тип: опухоль с экстраампулярным ростом и распространением на стенку ДПК (рис. 2). В зависимости от направления распространения новообразования по отношению к БСДК выделяются 5 подтипов: А — проксимальнее БСДК, В — вправо от БСДК, С — дистальнее БСДК, D — влево от БСДК, а также подтип Р, когда имеет место распространение опухоли на стенки пара- или перипапиллярного дивертикула. У новообразований II типа не отмечается внутрипротоковой инвазии. При данном типе оптимальным эндоскопическим вмешательством при размерах опухоли менее 2 см и протяженности латерально распространяющегося компонента менее 0,5 см является удаление новообразования методом резекции БСДК с резекцией слизистой ДПК единым блоком. В случае, когда размер опухоли превышает 2 см, а протяженность латерально стелящегося компонента более 0,5 см, резекцию БСДК и резекцию слизистой ДПК следует проводить пофрагментно.

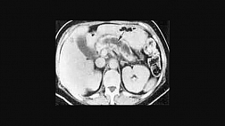
III (IA) тип: опухоль с интраампулярным (внитрипротоковым) ростом (рис. 3). В зависимости от вовлечения в опухолевый процесс терминальных отделов ОЖП и ГПП новообразования данного типа разделятся на 4 подтипа: А (Ampula) — опухоль локализуется внутри БСДК и представлена исключительно интраампулярным компонентом, СBD (Common bile duct) — интраампулярная опухоль распространяется на терминальный отдел ОЖП, 3 MPD (Main pancreatic duct) — распространение на ГПП, а также подтип CBD+MPD, когда имеет место вовлечение обоих протоков. Для удаления новообразования III типа могут применяться как эндоскопические, так и хирургические вмешательства. Наиболее адекватным методом лечения новообразований типа IIIA является эндоскопическая папиллэктомия. При опухолях типа IIICBD/MPD/CBD+MPD с распространением на терминальные отделы протоков менее 1 см выполняется эндоскопическая папиллэктомия с предварительной ЭПСТ и последующей абляцией внутрипротокового компонента. При внутрипротоковом распространении опухоли более 1 см эндоскопическая операция не показана и следует рассмотреть тот или иной вид хирургического вмешательства.

IV (EA+IA): опухоль со смешанным экстра-интраампулярным ростом (рис. 4). Новообразования данного типа характеризуются экстраампулярным ростом (с или без распространения на стенки ДПК) и распространением на ампулу БСДК или терминальные отделы протоков и в целом представляют собой комбинацию I и III типов, или II и III типов. Удаление смешанных экстра-интраампулярных опухолей возможно как эндоскопическими, так и хирургическими методиками. При выполнении эндоскопических вмешательств в зависимости от размеров новообразования, распространения на стенки ДПК и терминальные отделы протоков возможно применение как пофрагментной резекции БСДК, так и папиллэктомии единым блоком, при необходимости дополненных ЭПСТ и внутропротоковой абляцией. В случаях внутрипротоковой инвазии более 1 см эндоскопические операции не оправданы, необходимо использовать хирургические методики.






Открыт общий доступ к полному тексту статьи свернуть
10.04.24 ©
Оцените материал: Рейтинг: 7.5

Комментарии

Написать

Синдром Аддисона - Бирмера

(злокачественное малокровие, пернициозная анемия, в12-дефицитная анемия) B12 анемия, обусловленная аутоимунными механизмами, сопровождается ахилией, отсутствие пепсина и продукцией антител к париетальным клеткам.Гастроскопия выявляет гнездную, ре­же тотальную атрофию слизистой желудкаХарактерным симптомом является наличие так называемых перламутровых бляшек — блестящих зеркальных участков атрофии слизистой, локализующихся главным обра­зом на складках слизистой желудка.

При эндоскопическом исследовании в случае бронхоэктазов в стадии ремиссии выявляется

частично диффузный бронхит I степени воспаления

Работаем и учимся при поддержке

Партнеры